Suppr超能文献

上颌骨侵袭性骨化性纤维瘤

Aggressive Ossifying Fibroma of the Maxilla.

作者信息

Shetty Sujeeth Kumar, Dasukil Saubhik, Arora Geetanjali

机构信息

Department of Oral and Maxillofacial Surgery, JSS Dental College and Hospital, Mysore, Karnataka, India.

出版信息

Ann Maxillofac Surg. 2020 Jan-Jun;10(1):262-266. doi: 10.4103/ams.ams_121_18. Epub 2020 Jun 8.

Abstract

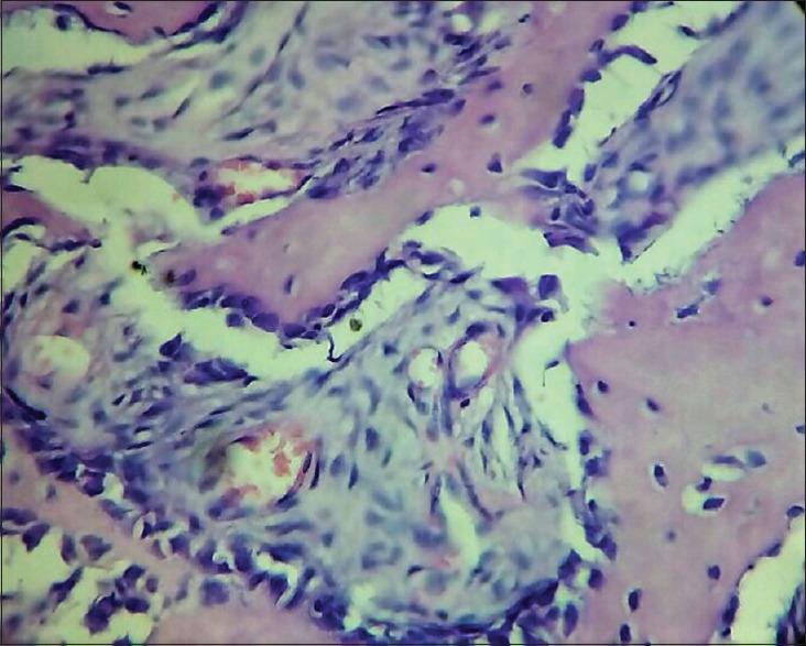
The aggressive ossifying fibroma is an uncommon benign fibro-osseous lesion which has been described in the literature under a variety of terms. This tumor is distinguished from standard ossifying fibroma based on its more clinically aggressive biological behavior, occurrence in children and young adults, and tendency to occur in different anatomic sites. We report a case of a 45-year-old female who presented with a unilateral swelling of the right middle face for 5 months. Clinical examination showed a mass extended over the right maxilla. Orthopantomogram and computed tomography scan were performed. Biopsy suggests a fibro-osseous lesion. The complete surgical excision of tumor was performed under local anesthesia. The histopathological examination revealed the diagnosis of an aggressive ossifying fibroma-trabeculae type. No recurrence was noted. Because of its aggressive and compressive nature, aggressive ossifying fibroma requires an early complete surgical excision. A long-term clinical and radiological surveillance is necessary to prevent recurrence.

摘要

侵袭性骨化性纤维瘤是一种罕见的良性纤维-骨病变,文献中曾用多种术语描述过它。该肿瘤与标准骨化性纤维瘤的区别在于其更具临床侵袭性的生物学行为、好发于儿童和年轻人以及倾向于发生在不同的解剖部位。我们报告一例45岁女性,右侧中面部单侧肿胀5个月。临床检查发现肿块累及右上颌骨。进行了全景曲面断层片和计算机断层扫描。活检提示为纤维-骨病变。在局部麻醉下对肿瘤进行了完整的手术切除。组织病理学检查确诊为小梁型侵袭性骨化性纤维瘤。未发现复发。由于其侵袭性和压迫性,侵袭性骨化性纤维瘤需要早期完整手术切除。进行长期的临床和影像学监测以预防复发是必要的。

https://cdn.ncbi.nlm.nih.gov/pmc/blobs/bcd2/7433956/9206d897f4fe/AMS-10-262-g001.jpg

文献AI研究员

20分钟写一篇综述,助力文献阅读效率提升50倍。

立即体验

用中文搜PubMed

大模型驱动的PubMed中文搜索引擎

马上搜索

文档翻译

学术文献翻译模型,支持多种主流文档格式。

立即体验