Suppr超能文献

一名21个月大患有主动脉下隔膜修复术后的儿童发生致命性复发性霉菌性升主动脉假性动脉瘤。

Lethal recurrent mycotic ascending aortic pseudoaneurysm in a 21-month-old child with repaired subaortic membrane.

作者信息

Alhawri Khaled A, Elsaedy Usama H, Alahdal Sami A, Albahlooli Nabil S, Al Qwaee Abdullah A, Alakhfash Ali A

机构信息

Prince Sultan Cardiac Center, Qassim, Saudi Arabia.

PhD Researcher, La Sapienza University Rome, Italy.

出版信息

Ann Pediatr Cardiol. 2020 Jul-Sep;13(3):252-255. doi: 10.4103/apc.APC_1_20. Epub 2020 Jun 19.

Abstract

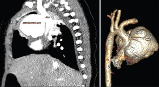
Mycotic pseudoaneurysm of the aorta is a rare and lethal complication of pediatric congenital heart surgery. We report the lethal consequences of recurrent mycotic pseudoaneurysm in an 18-month-old baby, early after subaortic membrane resection. We managed to repair the pseudoaneurysm successfully by replacing the infected ascending aorta using bovine jugular vein graft, but unfortunately, the patient developed new pseudoaneurysm at the site of anastomosis which led to his death. Although prompt diagnosis and surgical management can save the patient life, uncontrolled infection can lead to the recurrence of the problem and lethal results.

摘要

主动脉霉菌性假性动脉瘤是小儿先天性心脏手术罕见且致命的并发症。我们报告了一名18个月大婴儿在主动脉下膜切除术后早期复发性霉菌性假性动脉瘤的致命后果。我们通过使用牛颈静脉移植物替换感染的升主动脉成功修复了假性动脉瘤,但不幸的是,患者在吻合部位出现了新的假性动脉瘤,最终导致死亡。尽管及时诊断和手术治疗可以挽救患者生命,但感染控制不佳会导致问题复发并产生致命后果。

https://cdn.ncbi.nlm.nih.gov/pmc/blobs/3416/7437621/44ba3c8ac5f1/APC-13-252-g001.jpg

文献AI研究员

20分钟写一篇综述,助力文献阅读效率提升50倍。

立即体验

用中文搜PubMed

大模型驱动的PubMed中文搜索引擎

马上搜索

文档翻译

学术文献翻译模型,支持多种主流文档格式。

立即体验