Suppr超能文献

改良内膜下斑块修饰改善慢性完全闭塞性经皮冠状动脉介入治疗的未来再通情况。

Modified subintimal plaque modification improving future recanalization of chronic total occlusion percutaneous coronary intervention.

作者信息

Jia Ruo-Fei, Li Long, Zhu Yong, Yang Cheng-Zhi, Meng Shuai, Ruan Yang, Cao Xiao-Jing, Hu Hong-Yu, Chen Wei, Nan Jing, Xiong Xiao-Wei, Li Jing-Jin, Wang Jia-Yu, Jin Ze-Ning

机构信息

Department of Cardiology and Macrovascular Disease, Beijing Tiantan Hospital, Capital Medical University, Beijing, China.

Department of Cardiology, Beijing Anzhen Hospital, Capital Medical University, Beijing, China.

出版信息

J Geriatr Cardiol. 2020 Jul 28;17(7):393-399. doi: 10.11909/j.issn.1671-5411.2020.07.009.

Abstract

BACKGROUND

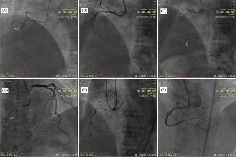
Subintimal plaque modification (SPM) is often performed to restore antegrade flow and facilitate subsequent lesion recanalization. This study aimed to compare the safety and efficacy of modified SPM with traditional SPM.

METHODS

A total of 1454 consecutive patients who failed a chronic total occlusion percutaneous coronary intervention (CTO PCI) attempt and underwent SPM from January 2015 to December 2019 at our hospital were reviewed retrospectively. Fifty-four patients who underwent SPM finally were included in this study. We analyzed the outcomes of all the patients, and the primary endpoint was recanalization rate, which was defined as Thrombolysis in Myocardial Infarction (TIMI) grades 2-3 flow on angiography 30 to 90 days post-procedure.

RESULTS

The baseline characteristics were similar between the two groups. In the follow-up, the recanalization rate was noticeably higher in the modified SPM group compared with the traditional SPM group (90.9% 62.5%, < 0.05). The proposed strategy in the modified group was more aggressive, including a larger balloon size (1.83 ± 0.30 2.48 ± 0.26 mm, < 0.05) and longer subintimal angioplasty (0.59 ± 0.16 0.92 ± 0.12 mm, < 0.05). Also, the common use of a Stingray balloon and guide catheter extension resulted in improvement of patients in the modified SMP group (12.5% 100%, < 0.05).

CONCLUSION

Modified SPM, which is associated with a high likelihood of successful recanalization, is an effective and safe CTO PCI bail out strategy.

摘要

背景

常进行内膜下斑块修饰(SPM)以恢复正向血流并促进后续病变再通。本研究旨在比较改良SPM与传统SPM的安全性和有效性。

方法

回顾性分析2015年1月至2019年12月在我院连续1454例慢性完全闭塞经皮冠状动脉介入治疗(CTO PCI)尝试失败并接受SPM的患者。最终纳入54例接受SPM的患者。我们分析了所有患者的结局,主要终点为再通率,定义为术后30至90天血管造影显示心肌梗死溶栓(TIMI)2 - 3级血流。

结果

两组的基线特征相似。随访中,改良SPM组的再通率明显高于传统SPM组(90.9%对62.5%,P<0.05)。改良组采用的策略更积极,包括更大的球囊尺寸(1.83±0.30对2.48±0.26mm,P<0.05)和更长的内膜下血管成形术(0.59±0.16对0.92±0.12mm,P<0.05)。此外,改良SMP组中常用的Stingray球囊和导引导管延长术使患者情况得到改善(12.5%对100%,P<0.05)。

结论

改良SPM与再通成功的高可能性相关,是一种有效且安全的CTO PCI补救策略。

https://cdn.ncbi.nlm.nih.gov/pmc/blobs/26f0/7416063/944b96baa795/jgc-17-7-393-1.jpg

文献AI研究员

20分钟写一篇综述,助力文献阅读效率提升50倍。

立即体验

用中文搜PubMed

大模型驱动的PubMed中文搜索引擎

马上搜索

文档翻译

学术文献翻译模型,支持多种主流文档格式。

立即体验