Suppr超能文献

取出Essure装置的挑战。

Challenges in Removing the Essure Device.

作者信息

van Gastel Daniëlle M, Maassen Liselotte W, Koks Carolien A M, Veersema Sebastiaan, Bongers Marlies Y

机构信息

Máxima Medical Center Veldhoven, De Run 4600, 5504 DB Veldhoven, Netherlands.

Meander Medisch Centrum, Amersfoort Maatweg 3, 3813 TZ Amersfoort, Netherlands.

出版信息

Case Rep Obstet Gynecol. 2020 Aug 24;2020:8823606. doi: 10.1155/2020/8823606. eCollection 2020.

Abstract

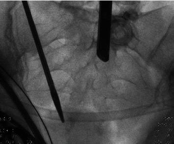
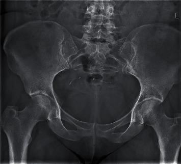
We present a case about Essure removal surgery in which the third markers of the device have torn off. The woman needed a second surgery for complete removal of the devices. Fluoroscopy during surgery is a good method to visualize the lost fragments. With fluoroscopy, a hysterectomy is not needed for complete removal. It is important to understand the structure of the device and to be aware of the four radiopaque markers during surgery and their removal.

摘要

我们介绍了一例关于取出Essure装置的手术病例,该装置的第三个标记物已脱落。该女性需要进行第二次手术以完全取出该装置。手术中的荧光透视是可视化丢失碎片的好方法。借助荧光透视,无需进行子宫切除术即可完全取出。了解该装置的结构并在手术过程中知晓四个不透射线的标记物及其取出情况非常重要。

https://cdn.ncbi.nlm.nih.gov/pmc/blobs/ff0c/7468664/fb6ac9b9749f/CRIOG2020-8823606.001.jpg

文献AI研究员

20分钟写一篇综述,助力文献阅读效率提升50倍。

立即体验

用中文搜PubMed

大模型驱动的PubMed中文搜索引擎

马上搜索

文档翻译

学术文献翻译模型,支持多种主流文档格式。

立即体验