Suppr超能文献

经网膜孔对升结肠疝进行腹腔镜治疗。

Laparoscopic management of an ascending colon hernia through the foramen of Winslow.

作者信息

Buisset Cyrille, Postillon Agathe, Aziz Sandrine, Bilbault Florian, Hoch Guillaume, Nesseler Jean-Philippe, Johann Marc

机构信息

Department of Digestive, Endocrine and Metabolic Surgery, Hôpital Robert Schuman - Hôpitaux Privés de Metz, Metz, France.

Department of Digestive, Hepato-Biliary and Endocrine Surgery, University Hospital of Nancy, Vandoeuvre-les-Nancy, France.

出版信息

J Surg Case Rep. 2020 Sep 8;2020(9):rjaa283. doi: 10.1093/jscr/rjaa283. eCollection 2020 Sep.

Abstract

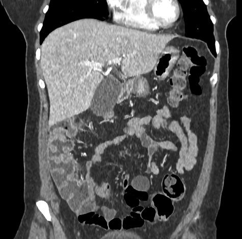
Herniation through the foramen of Winslow is rare, with a non-specific clinical presentation and his diagnosis may be difficult. A 44-year-old female was admitted with an acute epigastric abdominal pain. A computed tomography showed an internal hernia of the colon in the lesser sac. Laparoscopic reduction of the herniated contents and the fixation of the ascending colon with several non-absorbable sutures were performed. Twenty months after surgery, the patient has not experienced any recurrence. Computed tomography helps practitioners to the preoperative diagnosis of herniation through the foramen of Winslow, to the viability of the herniated contents and presence of occlusion. In case of herniation through the foramen of Winslow favored by a mobile ascending colon with a misapposition of the right Told fascia, the fixation of the colon with a non-absorbable suture was safe and may prevent the risk of recurrent internal hernia and colonic volvulus.

摘要

通过网膜孔的疝出很少见,临床表现不具特异性,其诊断可能困难。一名44岁女性因急性上腹部腹痛入院。计算机断层扫描显示小网膜囊内有结肠内疝。进行了腹腔镜下疝内容物还纳及用数根不可吸收缝线固定升结肠。术后20个月,患者未出现任何复发。计算机断层扫描有助于医生对通过网膜孔的疝出进行术前诊断,判断疝内容物的活力及有无梗阻。对于因活动度大的升结肠伴右侧Toldt筋膜错位而导致的通过网膜孔的疝出,用不可吸收缝线固定结肠是安全的,且可预防复发性内疝和结肠扭转的风险。

https://cdn.ncbi.nlm.nih.gov/pmc/blobs/cad4/7476804/503112c880c9/rjaa283f1.jpg

文献AI研究员

20分钟写一篇综述,助力文献阅读效率提升50倍。

立即体验

用中文搜PubMed

大模型驱动的PubMed中文搜索引擎

马上搜索

文档翻译

学术文献翻译模型,支持多种主流文档格式。

立即体验