Suppr超能文献

急诊科直肠异物取出术:一例报告

Rectal Foreign Body Removal in the Emergency Department: A Case Report.

作者信息

Nesemann Samuel, Hubbard Kimberly A, Siddiqui Mehdi I, Fernandez William G

机构信息

University of Texas Health San Antonio, Department of Emergency Medicine, San Antonio, Texas.

University of Texas Health San Antonio Long School of Medicine, Department of Emergency Medicine, San Antonio, Texas.

出版信息

Clin Pract Cases Emerg Med. 2020 Aug;4(3):450-453. doi: 10.5811/cpcem.2020.7.47237.

Abstract

INTRODUCTION

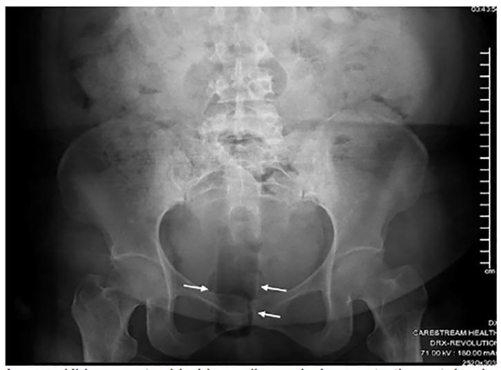
Rectal foreign bodies (RFB) pose a challenge to emergency physicians. Patients are not often forthcoming, which can lead to delays to intervention. Thus, RFBs require a heightened clinical suspicion. In the emergency department (ED), extraction may require creative methods to prevent need for surgical intervention.

CASE REPORT

The authors present a case of a successful extraction of a RFB in the ED and review of the literature.

CONCLUSION

Retained RFBs are an unusually problematic reason for an ED visit. Thus, it is important for emergency physicians to be comfortable managing such cases appropriately.

摘要

引言

直肠异物对急诊医生来说是一项挑战。患者往往不会主动说出情况,这可能导致干预延迟。因此,对于直肠异物需要提高临床怀疑度。在急诊科,取出异物可能需要采用创造性的方法以避免手术干预的必要性。

病例报告

作者介绍了一例在急诊科成功取出直肠异物的病例并进行文献回顾。

结论

直肠异物残留是急诊就诊的一个异常棘手的原因。因此,急诊医生能够妥善处理此类病例非常重要。

https://cdn.ncbi.nlm.nih.gov/pmc/blobs/5fb3/7434246/c44f0bc927a0/cpcem-04-450-g001.jpg

文献AI研究员

20分钟写一篇综述,助力文献阅读效率提升50倍。

立即体验

用中文搜PubMed

大模型驱动的PubMed中文搜索引擎

马上搜索

文档翻译

学术文献翻译模型,支持多种主流文档格式。

立即体验