Suppr超能文献

miRNA-146a-5p 的表达及其治疗干眼症的机制。

The expression of miRNA-146a-5p and its mechanism of treating dry eye syndrome.

机构信息

Department of Ophthalmology, Tianjin Medical University General Hospital, Tianjin, China.

出版信息

J Clin Lab Anal. 2021 Jan;35(1):e23571. doi: 10.1002/jcla.23571. Epub 2020 Sep 16.

Abstract

OBJECTIVE

Dry eye syndrome in which tear fluid quality or abnormality, or kinetic abnormality is caused by various reasons, resulting in decreased tear film stability. In recent years, more and more results from the studies indicate that miRNA alterations are involved in dry eye syndrome. And miRNA-146a-5p is a key regulator to regulate the inflammatory response. In this paper, we demonstrated whether miRNA-146a-5p could cure dry eye syndrome by regulating target genes based on network analysis.

METHODS

In current study, we collected the blood of patients with dry eye disease served as a model group; the blood of healthy people was served as control group. The expression of miRNA-146a-5p in the patients was detected by RT-PCR, the genes controlled by miRNA-146a-5p were predicted by TargetScan, miRDB, miRWalk, and PicTar databases, and the genes regulated by miRNA-146a-5p which relative with dry eye disease were selected by drawing Venn diagram.

RESULTS

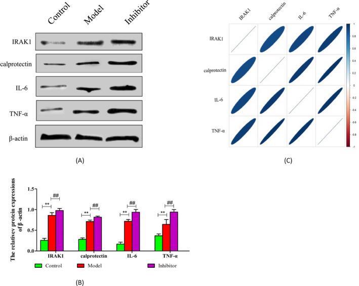
The comparison of the general information between patients and healthy people was no significant difference, and it indicated that the two groups were comparable. The results of databases showed that IRAK1 was one of the target genes regulated by miRNA-146a-5p, and it is related to dry eye disease. The expression of miRNA-146a-5p was negatively related to IRAK1 mRNA and protein, while IRAK1 had a positive correlation with IL-6, TNF-α, and CBP proteins.

CONCLUSION

These results emphasized that miRNA-146a-5p could inhibit the expression of IRAK1, IL-6, TNF-α, and CBP to help reduce the inflammatory response in dry eye syndrome.

摘要

目的

干眼症是由于各种原因导致泪液质量或异常、动力学异常,导致泪膜稳定性降低的一种综合征。近年来,越来越多的研究结果表明,miRNA 的改变参与了干眼症的发生。miRNA-146a-5p 是调节炎症反应的关键调节因子。本文通过网络分析基于靶基因调控,探讨 miRNA-146a-5p 是否可以治疗干眼症。

方法

本研究收集了干眼症患者的血液作为模型组;健康人的血液作为对照组。通过 RT-PCR 检测 miRNA-146a-5p 在患者中的表达,通过 TargetScan、miRDB、miRWalk 和 PicTar 数据库预测 miRNA-146a-5p 调控的靶基因,并通过绘制 Venn 图选择与干眼症相关的 miRNA-146a-5p 调控的靶基因。

结果

患者与健康人的一般资料比较无显著性差异,提示两组具有可比性。数据库的结果表明,IRAK1 是 miRNA-146a-5p 调控的靶基因之一,与干眼症有关。miRNA-146a-5p 的表达与 IRAK1 mRNA 和蛋白呈负相关,而 IRAK1 与 IL-6、TNF-α和 CBP 蛋白呈正相关。

结论

这些结果强调了 miRNA-146a-5p 可以抑制 IRAK1、IL-6、TNF-α和 CBP 的表达,有助于减轻干眼症的炎症反应。

https://cdn.ncbi.nlm.nih.gov/pmc/blobs/1081/7843290/03a0df7e9862/JCLA-35-e23571-g001.jpg

文献AI研究员

20分钟写一篇综述,助力文献阅读效率提升50倍。

立即体验

用中文搜PubMed

大模型驱动的PubMed中文搜索引擎

马上搜索

文档翻译

学术文献翻译模型,支持多种主流文档格式。

立即体验