Suppr超能文献

年轻女性严重痛经患者副腔隙性子宫肿物的腹腔镜手术成功案例

Successful laparoscopic surgery of accessory cavitated uterine mass in young women with severe dysmenorrhea.

作者信息

Park Joon Cheol, Kim Dong Ja

机构信息

Department of Obstetrics and Gynecology, Keimyung University School of Medicine, Daegu, Korea.

Department of Forensic Medicine, School of Medicine, Kyungpook National University, Daegu, Korea.

出版信息

Yeungnam Univ J Med. 2021 Jul;38(3):235-239. doi: 10.12701/yujm.2020.00696. Epub 2020 Sep 18.

Abstract

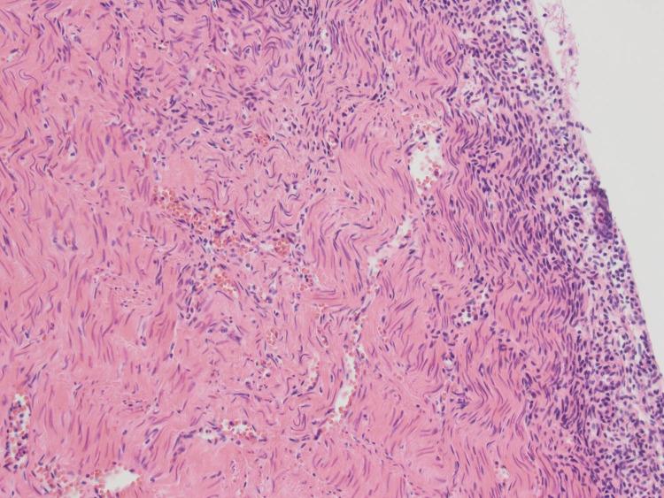
Accessory cavitated uterine mass (ACUM) is a rare and unique condition seen in young women. We report cases of ACUMs in two patients, a 14-year-old girl and a 25-year-old woman, both with complaints of severe dysmenorrhea that had started at menarche and had progressively worsened since. A large cystic lesion was localized in the anterolateral wall of the myometrium separate from the endometrium, which was difficult to distinguish from congenital uterine anomalies. Laparoscopic excision of the ACUMs was successful and completely resolved the dysmenorrhea. Early investigation of severe dysmenorrhea in young women can provide appropriate management and relieve symptoms.

摘要

附件性子宫空洞性肿物(ACUM)是年轻女性中一种罕见且独特的病症。我们报告了两例ACUM病例,一名14岁女孩和一名25岁女性,她们均主诉自初潮起就开始出现严重痛经且此后逐渐加重。一个大的囊性病变位于肌层前外侧壁,与子宫内膜分离,难以与先天性子宫异常相区分。腹腔镜下切除ACUM成功,且完全缓解了痛经。对年轻女性的严重痛经进行早期检查可提供恰当的治疗并缓解症状。

https://cdn.ncbi.nlm.nih.gov/pmc/blobs/9825/8225500/fb18e05d9a0a/yujm-2020-00696f1.jpg

文献检索

告别复杂PubMed语法,用中文像聊天一样搜索,搜遍4000万医学文献。AI智能推荐,让科研检索更轻松。

立即免费搜索

文件翻译

保留排版,准确专业,支持PDF/Word/PPT等文件格式,支持 12+语言互译。

免费翻译文档

深度研究

AI帮你快速写综述,25分钟生成高质量综述,智能提取关键信息,辅助科研写作。

立即免费体验