Suppr超能文献

空气污染会损害急性肺损伤小鼠模型的恢复和组织重塑。

Air pollution impairs recovery and tissue remodeling in a murine model of acute lung injury.

机构信息

Laboratório de Poluição Atmosférica Experimental (LIM05), Departamento de Patologia, Faculdade de Medicina da Universidade de São Paulo, Avenida Dr. Arnaldo, 455, São Paulo, São Paulo, 01246-903, Brazil.

Departamento de Análises Clínicas E Toxicológicas, Faculdade de Ciências Farmacêuticas da, Universidade de São Paulo, São Paulo, São Paulo, Brazil.

出版信息

Sci Rep. 2020 Sep 17;10(1):15314. doi: 10.1038/s41598-020-72130-3.

Abstract

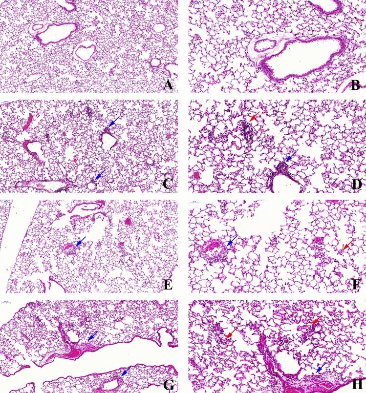
Evidence regarding the impact of air pollution on acute respiratory distress syndrome (ARDS) is limited, and most studies focus on ARDS onset. Our study aimed to evaluate whether exposure to fine particulate matter interferes with lung recovery and remodeling in a murine model of acute lung injury. Forty-eight mice received nebulized LPS or the vehicle (controls). Blood, BALF, lungs and spleen were collected after 5 weeks of exposure to either PM (PM and LPS + PM group) or filtered air (control and LPS5w groups). Inflammatory cells and cytokines were assessed in the blood, BALF, lungs and spleen. Stereological analyses and remodeling assessments were performed by histology. The LPS + PM group showed increased BALF leukocytes, characterized by increased macrophages, increased IL-1β and IL-6 levels, anemia and thrombocytopenia. Moreover, we also observed septal thickening, decreased alveolar air space total volume and, septa surface density. Finally, regarding tissue remodeling, we observed elastosis of the lung parenchyma, and unlike in the LPS5w group, we did not observe fibrosis in the LPS + PM group. In conclusion, the delayed inflammation resolution due to subchronic exposure to PM could be influenced by low systemic and local lymphocyte counts, which lead to impaired lung injury recovery and tissue remodeling.

摘要

有关空气污染对急性呼吸窘迫综合征(ARDS)影响的证据有限,大多数研究都集中在 ARDS 的发病机制上。我们的研究旨在评估细颗粒物暴露是否会干扰急性肺损伤小鼠模型中的肺恢复和重塑。48 只小鼠接受了雾化 LPS 或载体(对照)。暴露于 PM(PM 和 LPS+PM 组)或过滤空气(对照和 LPS5w 组)5 周后,采集血液、BALF、肺和脾。评估血液、BALF、肺和脾中的炎症细胞和细胞因子。通过组织学进行体视学分析和重塑评估。LPS+PM 组 BALF 白细胞增多,以巨噬细胞增多、IL-1β 和 IL-6 水平升高、贫血和血小板减少为特征。此外,我们还观察到间隔增厚、肺泡空气空间总容积减少和间隔表面密度增加。最后,关于组织重塑,我们观察到肺实质的弹性组织化,与 LPS5w 组不同,我们在 LPS+PM 组中未观察到纤维化。总之,由于亚慢性 PM 暴露导致的炎症消退延迟可能受到全身和局部淋巴细胞计数低的影响,从而导致肺损伤恢复和组织重塑受损。

https://cdn.ncbi.nlm.nih.gov/pmc/blobs/1a33/7499199/c90008a59cdd/41598_2020_72130_Fig1_HTML.jpg

文献检索

告别复杂PubMed语法,用中文像聊天一样搜索,搜遍4000万医学文献。AI智能推荐,让科研检索更轻松。

立即免费搜索

文件翻译

保留排版,准确专业,支持PDF/Word/PPT等文件格式,支持 12+语言互译。

免费翻译文档

深度研究

AI帮你快速写综述,25分钟生成高质量综述,智能提取关键信息,辅助科研写作。

立即免费体验