Suppr超能文献

经病理证实的良性转移性平滑肌瘤的CT表现。

CT findings of pathology proven benign metastasizing leiomyoma.

作者信息

Adair Luther B

机构信息

Nashville Radiology Partners, 304 S. Jones Blvd., Unit 4377, Las Vegas, NV 89107, USA.

出版信息

Radiol Case Rep. 2020 Sep 3;15(11):2120-2124. doi: 10.1016/j.radcr.2020.08.052. eCollection 2020 Nov.

Abstract

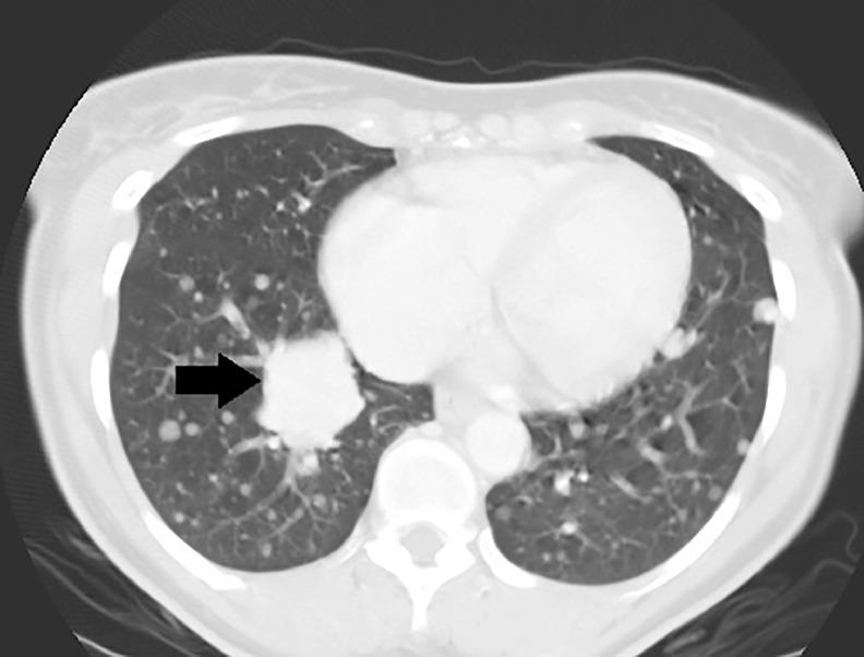
Benign metastasizing leiomyoma, originally reported in 1934 by Paul Steiner is a rare entity with less than 150 documented cases. While this entity has a favorable prognosis, without proper recognition it could be misdiagnosed as advanced stage metastasis. This case report discusses the relevant imaging findings of a case of benign metastasizing leiomyoma involving a 46-year-old woman which was detected in a preoperative work-up for hysterectomy. The patient presented with chronic cough for 2 years and a history of uterine fibroids. Because benign metastasizing leiomyoma was considered in this patient who presented with lung nodules and pelvic masses, a biopsy of the salient lesions was rapidly performed and enabled pathology to confirm a diagnosis of this entity. This case examines the differential diagnoses associated with multiple pulmonary nodules and provides an example of why the radiologist should consider benign metastasizing leiomyoma in that differential when these findings are identified in perimenopausal women.

摘要

良性转移性平滑肌瘤最初由保罗·施泰纳于1934年报道,是一种罕见的疾病,有记录的病例不到150例。虽然这种疾病预后良好,但如果没有正确识别,可能会被误诊为晚期转移。本病例报告讨论了一名46岁女性良性转移性平滑肌瘤的相关影像学表现,该病例是在子宫切除术前检查中发现的。患者有2年慢性咳嗽史及子宫肌瘤病史。由于该出现肺结节和盆腔肿块的患者被考虑为良性转移性平滑肌瘤,因此迅速对突出病变进行了活检,病理检查确诊了该疾病。本病例探讨了与多个肺结节相关的鉴别诊断,并举例说明了为什么当在围绝经期女性中发现这些表现时,放射科医生在鉴别诊断中应考虑良性转移性平滑肌瘤。

https://cdn.ncbi.nlm.nih.gov/pmc/blobs/c51c/7481490/5662f33c7c7e/gr1.jpg

文献检索

告别复杂PubMed语法,用中文像聊天一样搜索,搜遍4000万医学文献。AI智能推荐,让科研检索更轻松。

立即免费搜索

文件翻译

保留排版,准确专业,支持PDF/Word/PPT等文件格式,支持 12+语言互译。

免费翻译文档

深度研究

AI帮你快速写综述,25分钟生成高质量综述,智能提取关键信息,辅助科研写作。

立即免费体验