Gupta Atul, Barod Sunil
Department of Orthopaedic Surgery, Barod Hospital, Indore, Madhya Pradesh, India.
J Orthop Case Rep. 2020;10(2):58-61. doi: 10.13107/jocr.2020.v10.i02.1696.
Femoral head fractures are a rare pathology most often arising with high-energy traumas and associated with hip dislocations, which gravely compromise the ultimate functional outcome of the hip. Femoral head fractures without dislocation or subluxation are extremely rare injuries.
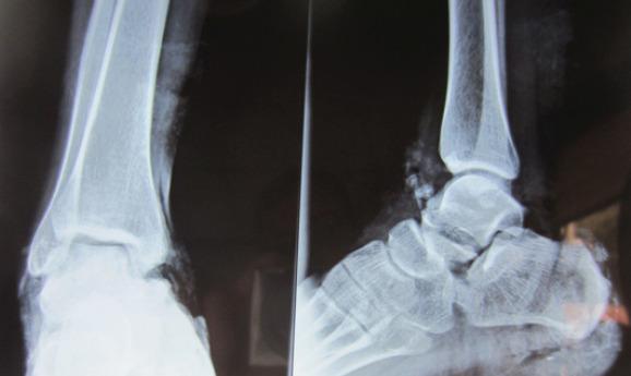
A 23-year-old male who sustained a high-energy trauma due to road traffic accident. He presented to ER with fracture of shaft femur, multi-ligament injury at the ipsilateral knee, fracture lower pole patella, ipsilateral fracture talus, and calcaneus along with comminuted fracture femoral head. He was managed by open reduction and internal fixation of the femoral head by safe surgical dislocation of the hip joint. Such injuries have been described rarely in the literature until now. The purpose of this report is to highlight the extreme rarity, possible mechanism involved, surgical management, and functional outcomes of such injuries.
Femoral head fracture without dislocation is a very rare entity, early diagnosis, especially in high-energy trauma scenarios to prevent the neglect and delay in the treatment which is the paramount importance of an excellent result in young patients.
股骨头骨折是一种罕见的病理情况,最常由高能创伤引起,并与髋关节脱位相关,这严重影响了髋关节最终的功能结果。无脱位或半脱位的股骨头骨折是极其罕见的损伤。
一名23岁男性因道路交通事故遭受高能创伤。他因股骨干骨折、同侧膝关节多韧带损伤、髌骨下极骨折、同侧距骨和跟骨骨折以及股骨头粉碎性骨折而被送往急诊室。通过髋关节安全手术脱位对股骨头进行切开复位内固定治疗。迄今为止,此类损伤在文献中很少被描述。本报告的目的是强调此类损伤极其罕见、可能涉及的机制、手术治疗及功能结果。
无脱位的股骨头骨折是一种非常罕见的情况,早期诊断尤为重要,尤其是在高能创伤情况下,以防止忽视和延误治疗,这对于年轻患者获得良好结果至关重要。