Suppr超能文献

异源沙雷氏菌蛋白酶的生产与表达优化

Production and Expression Optimization of Heterologous Serratiopeptidase.

作者信息

Rouhani Maryam, Valizadeh Vahideh, Molasalehi Sara, Norouzian Dariush

机构信息

Department of Nano-Biotechnology, New Technologies Research Group, Pasteur Institute of Iran, Tehran, Iran.

出版信息

Iran J Public Health. 2020 May;49(5):931-939.

Abstract

BACKGROUND

Serratiopeptidase is a bacterial metalloprotease, which is useful for the treatment of pain and inflammation. It breaks down fibrin, thins the fluids formed during inflammation and acts as an anti-biofilm agent. Because of medicinally important role of the enzyme, we aimed to study the cloning and the expression optimization of serratiopeptidase.

METHODS

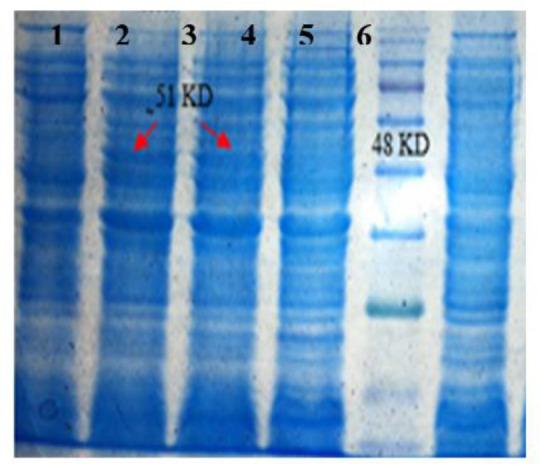
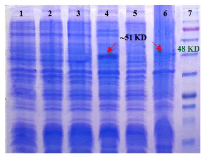
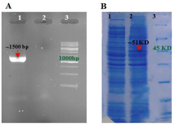
The heat-stable serratiopeptidase (5d7w) was selected as the template. Cloning into pET28a expression vector was performed and confirmed by colony PCR and double restriction enzyme digestion. The recombinant protein was expressed in BL21 and confirmed by SDS-PAGE and Western blot analysis. Different parameters such as expression vector, culture media, post-induction incubation temperature, inducer concentration, and post-induction incubation time were altered to obtain the highest amount of the recombinant protein.

RESULTS

Serratiopeptidase was successfully cloned and expressed under optimized conditions in which confirmed by western blot analysis. The optimal conditions of expression were determined using pQE30 as vector, cultivating the host bacteria in Terrific Broth (TB) medium, at 37° C, induction by IPTG concentration equal to 0.5 mM, and cells were harvested 4 h after induction.

CONCLUSION

As serratiopeptidase is a multi-potent enzyme, the expressed recombinant protein can be considered as a valuable agent for pharmaceutical applications in further studies.

摘要

背景

沙雷氏菌肽酶是一种细菌金属蛋白酶,可用于治疗疼痛和炎症。它能分解纤维蛋白,使炎症过程中形成的液体变稀薄,并起到抗生物膜剂的作用。由于该酶具有重要的药用价值,我们旨在研究沙雷氏菌肽酶的克隆及表达优化。

方法

选择热稳定的沙雷氏菌肽酶(5d7w)作为模板。将其克隆到pET28a表达载体中,并通过菌落PCR和双酶切进行验证。重组蛋白在BL21中表达,并通过SDS-PAGE和蛋白质印迹分析进行确认。改变不同参数,如表达载体、培养基、诱导后培养温度、诱导剂浓度和诱导后培养时间,以获得最高量的重组蛋白。

结果

沙雷氏菌肽酶在优化条件下成功克隆并表达,蛋白质印迹分析证实了这一点。确定的最佳表达条件为使用pQE30作为载体,在 terrific肉汤(TB)培养基中于37℃培养宿主细菌,用浓度为0.5 mM的异丙基-β-D-硫代半乳糖苷(IPTG)诱导,诱导后4小时收获细胞。

结论

由于沙雷氏菌肽酶是一种多功能酶,表达的重组蛋白在进一步研究中可被视为一种有价值的药物应用试剂。

https://cdn.ncbi.nlm.nih.gov/pmc/blobs/aa4f/7475616/3031e050b2f6/IJPH-49-931-g001.jpg

文献AI研究员

20分钟写一篇综述,助力文献阅读效率提升50倍。

立即体验

用中文搜PubMed

大模型驱动的PubMed中文搜索引擎

马上搜索

文档翻译

学术文献翻译模型,支持多种主流文档格式。

立即体验