Sánchez Ramírez Carlos Jerjes, Pérez de Isla Leopoldo
Department of Cardiac Imaging, Hospital Clínico San Carlos, Professor Martín Lagos, Madrid, Spain.
Ann Transl Med. 2020 Aug;8(15):966. doi: 10.21037/atm.2020.02.18.
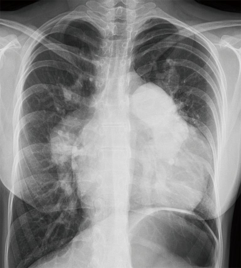
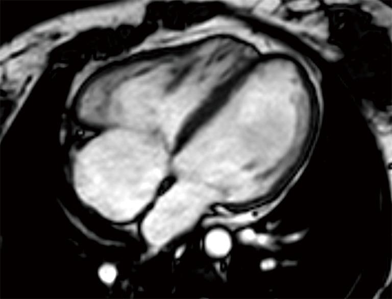
Thanks to advances in pediatric cardiology, most infants with tetralogy of Fallot (TOF) now survive into adulthood. This relatively new population of adult patients may face long-term complications, including pulmonary regurgitation (PR), right ventricular (RV) tract obstruction, residual shunts, RV dysfunction, and arrythmias. They will often need to undergo pulmonary valve (PV) replacement and other invasive re-interventions. However, the optimal timing for these procedures is challenging, largely due to the complexity of evaluating RV volume and function. The options for the follow-up of these patients have rapidly evolved from an angiography-based approach to the surge of advanced imaging techniques, mainly echocardiography, cardiac magnetic resonance (CMR), and computer tomography (CT). In this review, we outline the indications, strengths and limitations of these modalities in the adult TOF population.
得益于小儿心脏病学的进展,大多数法洛四联症(TOF)婴儿如今都能存活至成年。这一相对较新的成年患者群体可能面临长期并发症,包括肺动脉反流(PR)、右心室(RV)流出道梗阻、残余分流、RV功能障碍和心律失常。他们常常需要接受肺动脉瓣(PV)置换及其他侵入性再次干预。然而,这些手术的最佳时机颇具挑战性,主要是因为评估RV容积和功能较为复杂。这些患者的随访方式已从基于血管造影的方法迅速发展为先进成像技术的涌现,主要是超声心动图、心脏磁共振(CMR)和计算机断层扫描(CT)。在本综述中,我们概述了这些检查方法在成年TOF患者群体中的适应证、优势和局限性。