Ross M I, Bird N, Mendichovszky I A, Rimmer Y L
School of Clinical Medicine, University of Cambridge, Cambridge Biomedical Campus, Hills Road, Cambridge, CB2 0QQ, UK.
Department of Nuclear Medicine, Cambridge University Hospitals NHS Foundation Trust, Cambridge Biomedical Campus, Hills Road, Cambridge, CB2 0QQ, UK.
EJNMMI Res. 2020 Sep 22;10(1):108. doi: 10.1186/s13550-020-00696-0.
Brain metastases from prostate cancer are rare and usually only occur in the context of widespread systemic disease. This is the first case report of a solitary brain oligometastasis, in a neurologically intact prostate cancer patient with no other systemic disease, detected using [Ga]Ga-THP-PSMA PET/CT and only the second one using a PSMA-based radiopharmaceutical.
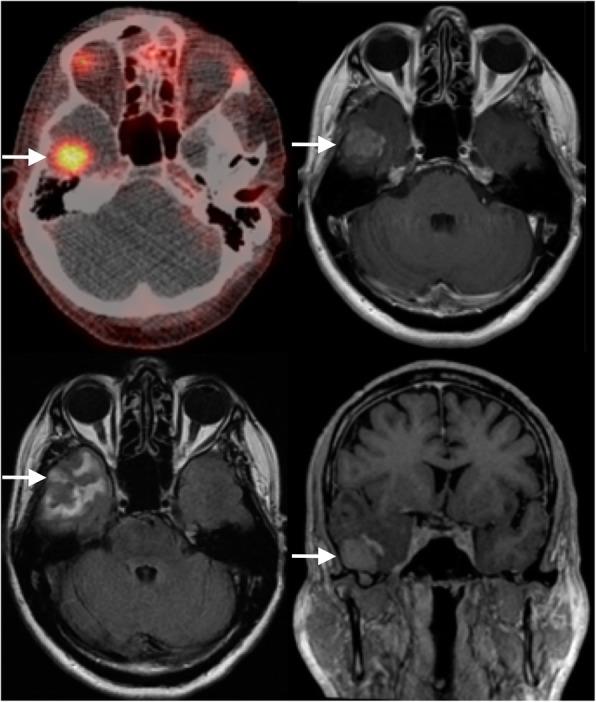
We report the case of a prostate cancer patient presenting 5 years after robot-assisted laparoscopic prostatectomy with biochemical recurrence, no neurological symptoms, and in the absence of metastatic lesions in the body on conventional imaging. A solitary cerebral metastasis was detected using [Ga]Ga-THP-PSMA PET/CT, surgically resected, leading to a drop in serum PSA and a good recovery.
In this case, [Ga]Ga-THP-PSMA PET/CT resulted in a major change in clinical management and avoided additional morbidity associated with delayed diagnosis and treatment. This report demonstrates the importance of considering the presence of metastatic disease outside the conventional locations of prostate cancer spread, as well as the importance of ensuring comprehensive [Ga]Ga-PSMA PET/CT coverage from vertex to upper thighs.
前列腺癌脑转移罕见,通常仅在广泛的全身疾病背景下发生。这是首例关于孤立性脑寡转移的病例报告,该病例为一名神经功能正常、无其他全身疾病的前列腺癌患者,通过[镓]镓-THP-PSMA PET/CT检测到,也是第二例使用基于PSMA的放射性药物检测到的病例。
我们报告了一例前列腺癌患者的病例,该患者在机器人辅助腹腔镜前列腺切除术后5年出现生化复发,无神经症状,常规影像学检查未发现体内有转移病灶。通过[镓]镓-THP-PSMA PET/CT检测到一个孤立的脑转移灶,手术切除后,血清PSA下降,恢复良好。
在本病例中,[镓]镓-THP-PSMA PET/CT导致了临床管理的重大改变,避免了与延迟诊断和治疗相关的额外发病率。本报告证明了考虑前列腺癌传统转移部位以外存在转移疾病的重要性,以及确保从头顶到大腿上部进行全面的[镓]镓-PSMA PET/CT扫描的重要性。