• 文献检索
  • 文档翻译
  • 深度研究
  • 学术资讯
  • Suppr Zotero 插件Zotero 插件
  • 邀请有礼
  • 套餐&价格
  • 历史记录
应用&插件
Suppr Zotero 插件Zotero 插件浏览器插件Mac 客户端Windows 客户端微信小程序
定价
高级版会员购买积分包购买API积分包
服务
文献检索文档翻译深度研究API 文档MCP 服务
关于我们
关于 Suppr公司介绍联系我们用户协议隐私条款
关注我们

Suppr 超能文献

核心技术专利:CN118964589B侵权必究
粤ICP备2023148730 号-1Suppr @ 2026

文献检索

告别复杂PubMed语法,用中文像聊天一样搜索,搜遍4000万医学文献。AI智能推荐,让科研检索更轻松。

立即免费搜索

文件翻译

保留排版,准确专业,支持PDF/Word/PPT等文件格式,支持 12+语言互译。

免费翻译文档

深度研究

AI帮你快速写综述,25分钟生成高质量综述,智能提取关键信息,辅助科研写作。

立即免费体验

一名成年男性出现的孤立性皮肤朗格汉斯细胞组织细胞增多症

Isolated Cutaneous Langerhans Cell Histiocytosis Presenting in an Adult Male.

作者信息

Fronek Lisa F, Grubbs Hailey, Dorton David W, Miller Richard

机构信息

Dermatology, Hospital Corporation of America / University of South Florida Morsani College of Medicine: Largo Medical Center Program, Largo, USA.

Dermatology, Broward Health Medical Center, Fort Lauderdale, USA.

出版信息

Cureus. 2020 Aug 19;12(8):e9861. doi: 10.7759/cureus.9861.

DOI:10.7759/cureus.9861
PMID:32963902
原文链接:https://pmc.ncbi.nlm.nih.gov/articles/PMC7500710/
Abstract

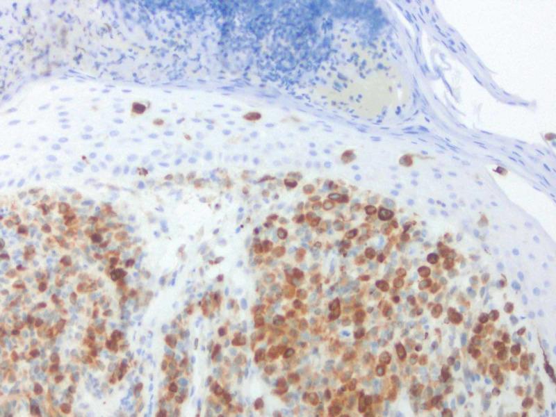
Langerhans cell histiocytosis (LCH) is an infrequent clonal proliferative disorder of myeloid dendritic cells. It has a wide variety of cutaneous manifestations and retains the possibility of systemic implications. Because LCH is predominantly a disease of childhood, there are well-established clinical definitions, as well as guidelines regarding workup and treatment, in the context of pediatric disease. Here we present a case of isolated cutaneous LCH in an adult male, followed by a discussion of our diagnostic plan and treatment course. The patient exhibited a small, excoriated, yellow papule on his inferior forehead during a skin examination. The specimen underwent tangential shave biopsy; histopathologic evaluation with appropriate immunohistochemical staining confirmed a diagnosis of cutaneous LCH. After thorough investigation via serologic and imaging diagnostics, we confirmed isolated cutaneous disease. The patient underwent wide local excision (WLE) with no evidence of recurrence. It is crucial to appropriately screen all patients diagnosed with cutaneous LCH for internal organ involvement. The authors aim to highlight the need for further investigations to ultimately dictate standardized management and treatment for isolated cutaneous LCH in the adult population.

摘要

朗格汉斯细胞组织细胞增多症(LCH)是一种罕见的髓样树突状细胞克隆增殖性疾病。它有多种皮肤表现,并存在全身受累的可能性。由于LCH主要是一种儿童疾病,在儿科疾病的背景下,有完善的临床定义以及关于检查和治疗的指南。在此,我们报告一例成年男性孤立性皮肤LCH病例,随后讨论我们的诊断计划和治疗过程。该患者在皮肤检查时,在前额下部出现一个小的、有擦伤的黄色丘疹。标本进行了切向剃除活检;经适当免疫组化染色的组织病理学评估确诊为皮肤LCH。通过血清学和影像学诊断进行全面检查后,我们确认是孤立性皮肤疾病。患者接受了广泛局部切除(WLE),无复发迹象。对所有诊断为皮肤LCH的患者进行适当筛查以确定是否存在内脏器官受累至关重要。作者旨在强调进一步研究的必要性,以最终确定成人孤立性皮肤LCH的标准化管理和治疗方法。

https://cdn.ncbi.nlm.nih.gov/pmc/blobs/e561/7500710/3e029751fa3e/cureus-0012-00000009861-i09.jpg
https://cdn.ncbi.nlm.nih.gov/pmc/blobs/e561/7500710/52d62194ce22/cureus-0012-00000009861-i01.jpg
https://cdn.ncbi.nlm.nih.gov/pmc/blobs/e561/7500710/4867047bb228/cureus-0012-00000009861-i02.jpg
https://cdn.ncbi.nlm.nih.gov/pmc/blobs/e561/7500710/47c8194716d3/cureus-0012-00000009861-i03.jpg
https://cdn.ncbi.nlm.nih.gov/pmc/blobs/e561/7500710/6a49d8d0f5bc/cureus-0012-00000009861-i04.jpg
https://cdn.ncbi.nlm.nih.gov/pmc/blobs/e561/7500710/629b2c351997/cureus-0012-00000009861-i05.jpg
https://cdn.ncbi.nlm.nih.gov/pmc/blobs/e561/7500710/38ecb50d52de/cureus-0012-00000009861-i06.jpg
https://cdn.ncbi.nlm.nih.gov/pmc/blobs/e561/7500710/c61f09d315b0/cureus-0012-00000009861-i07.jpg
https://cdn.ncbi.nlm.nih.gov/pmc/blobs/e561/7500710/b5e6bd6c96c1/cureus-0012-00000009861-i08.jpg
https://cdn.ncbi.nlm.nih.gov/pmc/blobs/e561/7500710/3e029751fa3e/cureus-0012-00000009861-i09.jpg
https://cdn.ncbi.nlm.nih.gov/pmc/blobs/e561/7500710/52d62194ce22/cureus-0012-00000009861-i01.jpg
https://cdn.ncbi.nlm.nih.gov/pmc/blobs/e561/7500710/4867047bb228/cureus-0012-00000009861-i02.jpg
https://cdn.ncbi.nlm.nih.gov/pmc/blobs/e561/7500710/47c8194716d3/cureus-0012-00000009861-i03.jpg
https://cdn.ncbi.nlm.nih.gov/pmc/blobs/e561/7500710/6a49d8d0f5bc/cureus-0012-00000009861-i04.jpg
https://cdn.ncbi.nlm.nih.gov/pmc/blobs/e561/7500710/629b2c351997/cureus-0012-00000009861-i05.jpg
https://cdn.ncbi.nlm.nih.gov/pmc/blobs/e561/7500710/38ecb50d52de/cureus-0012-00000009861-i06.jpg
https://cdn.ncbi.nlm.nih.gov/pmc/blobs/e561/7500710/c61f09d315b0/cureus-0012-00000009861-i07.jpg
https://cdn.ncbi.nlm.nih.gov/pmc/blobs/e561/7500710/b5e6bd6c96c1/cureus-0012-00000009861-i08.jpg
https://cdn.ncbi.nlm.nih.gov/pmc/blobs/e561/7500710/3e029751fa3e/cureus-0012-00000009861-i09.jpg

相似文献

1
Isolated Cutaneous Langerhans Cell Histiocytosis Presenting in an Adult Male.一名成年男性出现的孤立性皮肤朗格汉斯细胞组织细胞增多症
Cureus. 2020 Aug 19;12(8):e9861. doi: 10.7759/cureus.9861.
2
Comprehensive considerations for dermatologists: the application of FDG-PET in evaluating cutaneous lesions in pediatric Langerhans cell histiocytosis.皮肤科医生的综合考量:FDG-PET在评估儿童朗格汉斯细胞组织细胞增多症皮肤病变中的应用
Front Med (Lausanne). 2024 Jul 10;11:1378638. doi: 10.3389/fmed.2024.1378638. eCollection 2024.
3
Cutaneous Langerhans Cell Histiocytosis as Presenting Sign of Systemic B-Cell Lymphoma.皮肤朗格汉斯细胞组织细胞增生症作为全身 B 细胞淋巴瘤的首发表现。
Am J Dermatopathol. 2021 Dec 1;43(12):990-992. doi: 10.1097/DAD.0000000000001974.
4
Cutaneous Langerhans cell histiocytosis: study of Asian children shows good overall prognosis.皮肤朗格汉斯细胞组织细胞增生症:亚洲儿童研究显示整体预后良好。
Acta Paediatr. 2013 Nov;102(11):e514-8. doi: 10.1111/apa.12376. Epub 2013 Sep 2.
5
Cutaneous Langerhans cell histiocytosis : The spectrum of a rare cutaneous neoplasia.皮肤朗格汉斯细胞组织细胞增多症:一种罕见皮肤肿瘤的谱系
Wien Med Wochenschr. 2018 Jun;168(9-10):243-247. doi: 10.1007/s10354-016-0460-3. Epub 2016 Jul 5.
6
Case report: "Congenital cutaneous langerhans cell histiocytosis presenting with blueberry Muffin Rash".病例报告:“以蓝莓松饼样皮疹为表现的先天性皮肤朗格汉斯细胞组织细胞增多症”
Front Pediatr. 2022 Dec 22;10:1073624. doi: 10.3389/fped.2022.1073624. eCollection 2022.
7
Adult-onset systemic Langerhans cell histiocytosis mimicking inflammatory bowel disease: the value of skin biopsy and review of cases of Langerhans cell histiocytosis with cutaneous involvement seen at the Mayo Clinic.成人起病的系统性朗格汉斯细胞组织细胞增多症酷似炎症性肠病:皮肤活检的价值及梅奥诊所所见有皮肤受累的朗格汉斯细胞组织细胞增多症病例回顾
Int J Dermatol. 2014 Mar;53(3):305-11. doi: 10.1111/j.1365-4632.2012.05716.x. Epub 2013 Apr 28.
8
Co-existence of Langerhans cell histiocytosis and reticulohistiocytosis with initial presentation of skull lesions: A case report.以颅骨病变为首发表现的朗格汉斯细胞组织细胞增多症与网状组织细胞增多症并存:一例报告
J Cutan Pathol. 2019 Jan;46(1):62-66. doi: 10.1111/cup.13362. Epub 2018 Nov 8.
9
Adult Onset of BRAF(V600E)-Mutated Langerhans Cell Histiocytosis with Cutaneous Involvement Successfully Diagnosed by Immunohistochemical Staining.成人起病的BRAF(V600E)突变型朗格汉斯细胞组织细胞增多症伴皮肤受累,经免疫组织化学染色成功诊断
Case Rep Dermatol. 2015 Sep 12;7(3):237-40. doi: 10.1159/000440643. eCollection 2015 Sep-Dec.
10
Extensive cutaneous Langerhans cell histiocytosis in an elderly woman.老年女性广泛皮肤朗格汉斯细胞组织细胞增生症。
J Dermatol. 2011 Aug;38(8):794-7. doi: 10.1111/j.1346-8138.2010.01098.x.

引用本文的文献

1
Late Diagnosis of Langerhans Cell Histiocytosis by Skin Biopsy in a Lung Transplant Candidate Patient.肺移植候选患者经皮肤活检确诊为朗格汉斯细胞组织细胞增多症的延迟诊断
Cureus. 2024 Feb 29;16(2):e55226. doi: 10.7759/cureus.55226. eCollection 2024 Feb.
2
Case report: "Congenital cutaneous langerhans cell histiocytosis presenting with blueberry Muffin Rash".病例报告:“以蓝莓松饼样皮疹为表现的先天性皮肤朗格汉斯细胞组织细胞增多症”
Front Pediatr. 2022 Dec 22;10:1073624. doi: 10.3389/fped.2022.1073624. eCollection 2022.
3
A Hematologic Disease Disguised as Cutaneous Candidiasis.

本文引用的文献

1
Adult Langerhans' cell histiocytosis with multisystem involvement: A case report.成人多系统受累的朗格汉斯细胞组织细胞增多症:一例报告。
Medicine (Baltimore). 2018 Nov;97(48):e13366. doi: 10.1097/MD.0000000000013366.
2
Langerhans cell histiocytosis in adults: Advances in pathophysiology and treatment.成人朗格汉斯细胞组织细胞增生症:病理生理学和治疗进展。
Cancer Sci. 2018 Dec;109(12):3707-3713. doi: 10.1111/cas.13817. Epub 2018 Oct 30.
3
Langerhans cell histiocytosis in children: Diagnosis, differential diagnosis, treatment, sequelae, and standardized follow-up.
一种伪装成皮肤念珠菌病的血液系统疾病。
Cureus. 2021 Nov 21;13(11):e19784. doi: 10.7759/cureus.19784. eCollection 2021 Nov.
儿童朗格汉斯细胞组织细胞增生症:诊断、鉴别诊断、治疗、后遗症和标准化随访。
J Am Acad Dermatol. 2018 Jun;78(6):1047-1056. doi: 10.1016/j.jaad.2017.05.060.
4
Langerhans cell histiocytosis in children: History, classification, pathobiology, clinical manifestations, and prognosis.儿童朗格汉斯细胞组织细胞增生症:历史、分类、病理生物学、临床表现和预后。
J Am Acad Dermatol. 2018 Jun;78(6):1035-1044. doi: 10.1016/j.jaad.2017.05.059.
5
Langerhans cell histiocytosis: A neoplastic disorder driven by Ras-ERK pathway mutations.朗格汉斯细胞组织细胞增生症:一种由 Ras-ERK 通路突变驱动的肿瘤性疾病。
J Am Acad Dermatol. 2018 Mar;78(3):579-590.e4. doi: 10.1016/j.jaad.2017.09.022. Epub 2017 Oct 26.
6
Hydroxyurea: a new old therapy for Langerhans cell histiocytosis.羟基脲:一种用于朗格汉斯细胞组织细胞增多症的新的旧疗法。
Blood. 2016 Nov 17;128(20):2462-2465. doi: 10.1182/blood-2016-06-721993. Epub 2016 Sep 29.
7
Revised classification of histiocytoses and neoplasms of the macrophage-dendritic cell lineages.巨噬细胞-树突状细胞谱系组织细胞增多症和肿瘤的修订分类
Blood. 2016 Jun 2;127(22):2672-81. doi: 10.1182/blood-2016-01-690636. Epub 2016 Mar 10.
8
Langerhans cell histiocytosis first presenting in the skin in adults: frequent association with a second haematological malignancy.成人初发皮肤朗格汉斯细胞组织细胞增生症:常与第二种血液系统恶性肿瘤相关。
Br J Dermatol. 2012 Dec;167(6):1287-94. doi: 10.1111/j.1365-2133.2012.11169.x.
9
Topical nitrogen mustard therapy in patients with Langerhans cell histiocytosis.朗格汉斯细胞组织细胞增生症患者的局部氮芥治疗。
Br J Dermatol. 2012 Mar;166(3):642-5. doi: 10.1111/j.1365-2133.2011.10673.x. Epub 2012 Jan 9.
10
Skin-limited Langerhans' cell histiocytosis in children.儿童皮肤局限性朗格汉斯细胞组织细胞增多症
Cancer Invest. 2009 Jun;27(5):504-11. doi: 10.1080/07357900802216452.