Suppr超能文献

苏丹科斯蒂教学医院患者分离株的凝固酶基因多态性

Coagulase gene polymorphisms of isolates from patients at Kosti Teaching Hospital, Sudan.

作者信息

Ibrahim Omer Mohammed Ali, Bilal Naser Eldin, Azoz Mohammed E H, Eltahir Hanan B

机构信息

Department of Microbiology, Faculty of Medical Laboratory Sciences, University of El-Imam El-Mahdi, Kosti, Sudan.

Department of Medical Microbiology, Faculty of Medical Laboratory Sciences, University of Khartoum, Khartoum, Sudan.

出版信息

Access Microbiol. 2019 May 15;1(3):e000026. doi: 10.1099/acmi.0.000026. eCollection 2019.

Abstract

BACKGROUND

is a common cause of nosocomial infections. Epidemiological typing of enables control of its spread. The objective of this study was to investigate coagulase gene polymorphisms of isolated from patients at Kosti Hospital in Sudan.

METHODS

In total, 110 isolates were recovered from 110 patients who were enrolled in the study. strains were isolated on blood agar and MacConkey agar and then identified by conventional tests. Resistance to methicillin was determined by detection of the gene. Polymorphism in the coagulase gene () was investigated using PCR followed by I RFLP analysis.

RESULTS

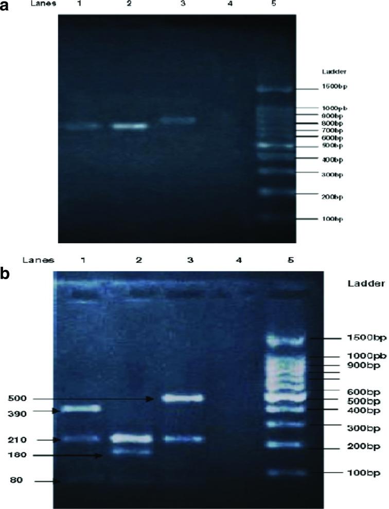
Methicillin-resistant accounted for 62/110 (56 %) of the isolates. PCR of the gene showed two different amplicons, one of 680 bp detected in 83/110 (75.5 %) of the isolates and one of 790 bp detected in 27/110 (24.5 %). When digested with the I enzyme, the 790 bp amplicon resulted in three restriction fragments of 500, 210 and 80 bp (1). Restriction of the 680 bp amplicon gave two patterns; the first (2) was found in 22/110 (20 %) of the isolates and showed four fragments of 210, 210, 180 and 80 bp, and the second (3) was found in 61/110 (55.5 %) and revealed three fragments of 390, 210 and 80 bp. Most of the 3 isolates (75.4%) were methicillin-resistant.

CONCLUSION

Three polymorphic genotypes of were identified in patients at Kosti Hospital. The 3 genotype was the predominant one and was mostly detected in methicillin-resistant isolates.

摘要

背景

是医院感染的常见原因。对其进行流行病学分型有助于控制其传播。本研究的目的是调查从苏丹科斯蒂医院患者中分离出的的凝固酶基因多态性。

方法

总共从110名纳入研究的患者中分离出110株菌株。菌株在血琼脂和麦康凯琼脂上分离,然后通过常规试验进行鉴定。通过检测基因确定对甲氧西林的耐药性。使用聚合酶链反应(PCR)随后进行红外限制性片段长度多态性(I RFLP)分析来研究凝固酶基因()的多态性。

结果

耐甲氧西林的占分离株的62/110(56%)。基因的PCR显示出两种不同的扩增子,一种680 bp的在83/110(75.5%)的分离株中检测到,另一种790 bp的在27/110(24.5%)的分离株中检测到。用I酶消化时,790 bp的扩增子产生了500、210和80 bp的三个限制性片段(1)。680 bp扩增子的限制性产生了两种模式;第一种(2)在22/110(20%)的分离株中发现,显示出210、210、180和80 bp的四个片段,第二种(3)在61/110(55.5%)中发现,显示出390、210和80 bp的三个片段。大多数3株分离株(75.4%)对甲氧西林耐药。

结论

在科斯蒂医院的患者中鉴定出了的三种多态基因型。3基因型是主要的,并且大多在耐甲氧西林的分离株中检测到。

https://cdn.ncbi.nlm.nih.gov/pmc/blobs/029d/7471778/8c48ae5b5ea3/acmi-1-026-g001.jpg

文献AI研究员

20分钟写一篇综述,助力文献阅读效率提升50倍。

立即体验

用中文搜PubMed

大模型驱动的PubMed中文搜索引擎

马上搜索

文档翻译

学术文献翻译模型,支持多种主流文档格式。

立即体验