Suppr超能文献

病例报告:一名中国进行性骨化性纤维发育不良患者中GNE基因外显子1新缺失突变的鉴定。

A case report: identification of a novel exon 1 deletion mutation in the GNE gene in a Chinese patient with GNE myopathy.

作者信息

Miao Jing, Wei Xiao-Jing, Wang Xu, Yin Xiang, Yu Xue-Fan

机构信息

Department of Neurology and Neuroscience Center, the First Affiliated Hospital of Jilin University, Changchun, Jilin, People's Republic of China.

出版信息

Medicine (Baltimore). 2020 Oct 9;99(41):e22663. doi: 10.1097/MD.0000000000022663.

Abstract

RATIONALE

GNE myopathy is caused by mutations in the UDP-N-acetylglucosamine-2-epimerase/N-acetylmannosamine kinase(GNE) gene and is clinically characterized by progressive weakness and atrophy of the lower-limb muscles with quadriceps sparing. Nearly all GNE mutations that have been reported thus far in various ethnic populations around the world have been missense or nonsense mutations.

PATIENT CONCERNS

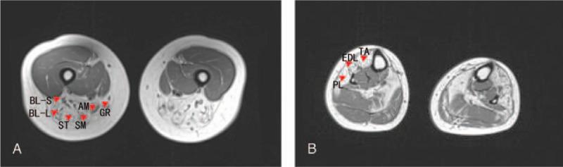
We describe the case of a 32-year-old woman with GNE myopathy. The patient presented with progressive weakness of the lower-limb muscles that had spread to her legs. Her serum creatine kinase level was higher than the normal range. Mild myogenic changes were detected in the tibialis anterior muscles on electromyography, and moderate fatty infiltration was observed in various lower-limb muscles on magnetic resonance imaging. Histopathological examination of a skeletal muscle biopsy specimen revealed variation in muscle fiber size, rimmed vacuoles, and disorganized intermyofibrillar networks. DNA sequencing testing revealed a compound heterozygous mutation consisting of a known mutation (c.620A > T in exon 3) and a novel (exon 1 deletion) mutation.

DIAGNOSES

Taken together, the clinical features, laboratory testing and DNA findings eventually made the diagnosis of GNE myopathy.

INTERVENTIONS AND OUTCOMES

Based on the diagnosis of the GNE myopathy, the patient was administered sialic acid 6 g a day for 1 year, and up to now, her symptoms did not progress further.

LESSONS

We have reported the case of a GNE myopathy patient with compound heterozygous GNE gene mutations. This case expands the genotypic spectrum of GNE myopathy.

摘要

理论依据

GNE肌病由UDP-N-乙酰葡糖胺-2-表异构酶/N-乙酰甘露糖胺激酶(GNE)基因突变引起,临床特征为下肢肌肉进行性无力和萎缩,股四头肌不受累。迄今为止,在世界各地不同种族人群中报道的几乎所有GNE突变均为错义或无义突变。

患者情况

我们描述了一名32岁GNE肌病女性患者的病例。患者表现为下肢肌肉进行性无力,并已蔓延至腿部。她的血清肌酸激酶水平高于正常范围。肌电图检查发现胫前肌有轻度肌源性改变,磁共振成像观察到下肢各肌肉有中度脂肪浸润。骨骼肌活检标本的组织病理学检查显示肌纤维大小不一、边缘空泡和肌原纤维间网络紊乱。DNA测序检测发现一个复合杂合突变,由一个已知突变(外显子3中的c.620A>T)和一个新的(外显子1缺失)突变组成。

诊断

综合临床特征、实验室检查和DNA检测结果,最终诊断为GNE肌病。

干预措施及结果

基于GNE肌病的诊断,给予患者每天6克唾液酸,持续1年,截至目前,她的症状未进一步进展。

经验教训

我们报告了一例具有复合杂合GNE基因突变的GNE肌病患者病例。该病例扩展了GNE肌病的基因型谱。

https://cdn.ncbi.nlm.nih.gov/pmc/blobs/8d40/7544422/707db0118e1f/medi-99-e22663-g001.jpg

文献AI研究员

20分钟写一篇综述,助力文献阅读效率提升50倍。

立即体验

用中文搜PubMed

大模型驱动的PubMed中文搜索引擎

马上搜索

文档翻译

学术文献翻译模型,支持多种主流文档格式。

立即体验