Suppr超能文献

经手术与非手术治疗肱骨内上髁骨折的疗效比较。

Comparison of outcome between nonoperative and operative treatment of medial epicondyle fractures.

机构信息

Department of Pediatric Orthopedics and Traumatology, New Children's Hospital, HUS Helsinki University Hospital, Helsinki.

Department of Orthopedics and Traumatology, HUS Helsinki University Hospital, Helsinki.

出版信息

Acta Orthop. 2021 Feb;92(1):114-119. doi: 10.1080/17453674.2020.1832312. Epub 2020 Oct 19.

Abstract

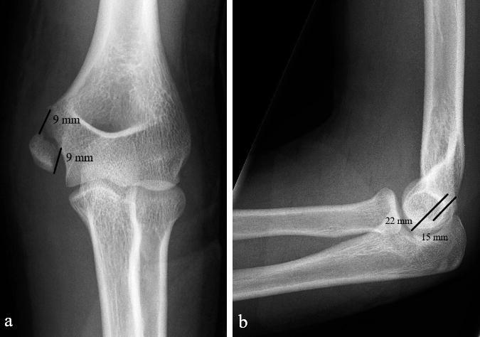
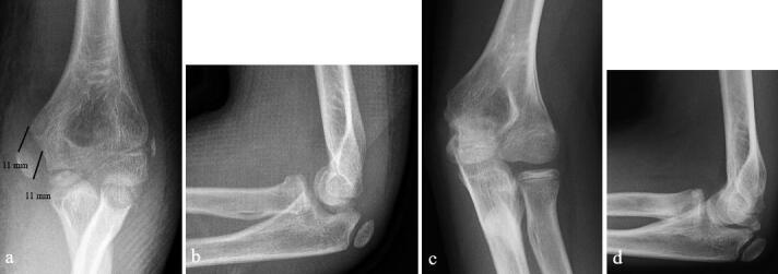
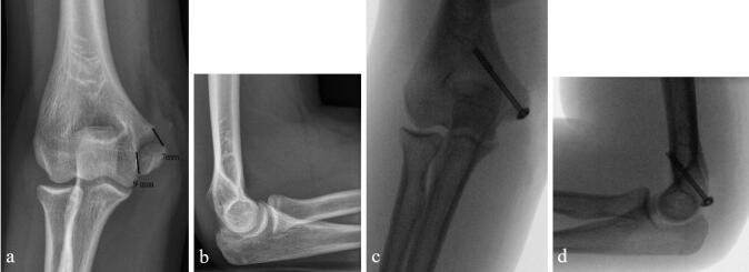
Background and purpose - Controversy exists regarding the optimal treatment for displaced medial epicondyle fractures. We compared the results of nonoperative and operative treatment and calculated the incidence of medial epicondyle fractures in the pediatric census population.Patients and methods - 112 children under 16 years old who sustained > 2 mm displaced fracture of the medial epicondyle were treated in our institution between 2014 and 2019. 80/83 patients with 81 non-incarcerated fractures were available for minimum 1-year follow-up. 41 fractures were treated with immobilization only, 40 by open reduction and internal fixation, according to the preference of the attending surgeon. Outcome was assessed at mean 2.6 years (1-6) from injury with different patient-reported outcome measures. Elbow stability, range of motion, grip strength, and distal sensation were registered in 74/80 patients. Incidence was calculated for 7- to 15-year-olds.Results - Nonoperatively treated children had less pain according to the PedsQL Pediatric Pain Questionnaire (3 vs. 15, p = 0.01) with better cosmetic outcome (VAS 95 vs. 87, p = 0.007). There was no statistically significant difference between the groups in respect of QuickDASH, PedsQL generic core scale, Mayo Elbow Performance Score, grip strength, carrying angle, elbow stability, or range of motion (p > 0.05). All 41 nonoperatively treated children returned to pre-injury sports; of the surgically treated 6/40 had to down-scale their sporting activities. The incidence of displaced (> 2 mm) fractures of the medial epicondyle in children aged 7-15 years was ≥ 3:100,000.Interpretation - Displaced fractures of the medial humeral epicondyle in children heal well with 3-4 weeks' immobilization. Open reduction and screw fixation does not improve outcome.

摘要

背景与目的-对于移位的内侧髁突骨折,最佳治疗方法仍存在争议。我们比较了非手术和手术治疗的结果,并计算了儿科人群中内侧髁突骨折的发生率。

患者与方法-2014 年至 2019 年,我们机构收治了 112 名 16 岁以下、伴有>2mm 内侧髁突移位骨折的儿童。83 例患者中的 80 例(81 例未嵌顿骨折)获得了至少 1 年的随访。根据主管医生的偏好,41 例采用单纯固定,40 例采用切开复位内固定治疗。采用不同的患者报告结局测量方法评估平均 2.6 年(1-6 年)的结果。在 74/80 例患者中记录了肘部稳定性、活动范围、握力和远端感觉。计算了 7-15 岁儿童的发生率。

结果-采用非手术治疗的儿童疼痛较轻(PedsQL 小儿疼痛问卷 3 分 vs. 15 分,p=0.01),美容效果更好(VAS 95 分 vs. 87 分,p=0.007)。两组在 QuickDASH、PedsQL 一般核心量表、Mayo 肘部功能评分、握力、携带角、肘部稳定性或活动范围方面无统计学差异(p>0.05)。所有 41 例非手术治疗的儿童均恢复了受伤前的运动水平;40 例手术治疗的儿童中有 6 例不得不减少运动活动。7-15 岁儿童中,内侧髁突(>2mm)移位骨折的发生率≥3:100,000。

结论-儿童移位的肱骨内侧髁突骨折经 3-4 周固定后愈合良好。切开复位和螺钉固定并不能改善结果。

https://cdn.ncbi.nlm.nih.gov/pmc/blobs/fc6a/7919892/fcc591a38615/IORT_A_1832312_F0001_B.jpg

文献AI研究员

20分钟写一篇综述,助力文献阅读效率提升50倍。

立即体验

用中文搜PubMed

大模型驱动的PubMed中文搜索引擎

马上搜索

文档翻译

学术文献翻译模型,支持多种主流文档格式。

立即体验