Suppr超能文献

大腿骨化性肌炎导致股浅动静脉外部受压:一例报告。

Myositis ossificans of the thigh causing external compression of the superficial femoral artery and vein: A case report.

作者信息

Wang Sung Il, Park Eun Hae, Hwang Hong Pil, Kim Jung Ryul

机构信息

Department of Orthopaedics Surgery.

Department of Radiology.

出版信息

Medicine (Baltimore). 2020 Oct 23;99(43):e22810. doi: 10.1097/MD.0000000000022810.

Abstract

RATIONALE

Myositis ossificans (MO) is a benign condition characterized by heterotopic bone formation in the skeletal muscle of extremities. Marked variation can occur in the incidence and location of the bone formed as well as resulting complications. Femoral vessel obstruction caused by MO is an extremely rare but disabling complication. Arterial occlusion may aggravate ischemic conditions, resulting in necrosis in the lower extremity.

PATIENT CONCERNS

We report a 41-year-old female with progressive pain and swelling of the right thigh region for 1 year.

DIAGNOSES

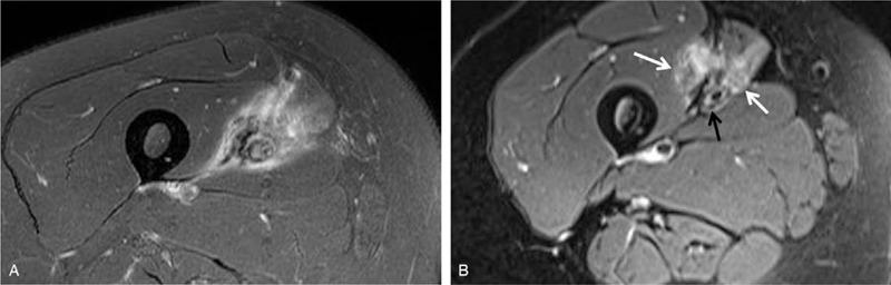
We diagnosed it as obstruction of the superficial femoral artery and vein caused by external compression of the MO between the sartorius and vastus medialis of the thigh.

INTERVENTIONS AND OUTCOMES

Adherent tissues and mass were excised with care without damaging the femoral artery or the vein. However, normal morphology did not recover due to loss of elasticity of femoral vessels. Therefore, after resection of the narrowed region of the femoral artery, a femoral-to-femoral graft interposition using the greater saphenous vein was performed. At 12 months after the surgery, vessel reconstruction computed tomography images confirmed normal continuous flow of the femoral artery.

LESSONS

Vascular compression and peripheral inflammatory response due to MO can cause loss of normal vascular morphology. Surgical excision of the mass and the involved femoral artery segment followed by femoral arterial reconstruction should be considered for lesions that do not spontaneously regress to prevent functional impairment and secondary complications in extremities.

摘要

理论依据

骨化性肌炎(MO)是一种良性疾病,其特征是在四肢骨骼肌中形成异位骨。所形成骨骼的发生率、位置以及由此产生的并发症可能会出现显著差异。MO引起的股血管阻塞是一种极其罕见但会导致残疾的并发症。动脉闭塞可能会加重缺血状况,导致下肢坏死。

患者情况

我们报告一名41岁女性,右大腿区域进行性疼痛和肿胀1年。

诊断

我们诊断为大腿缝匠肌和股内侧肌之间的MO外部压迫导致股浅动脉和静脉阻塞。

干预措施及结果

小心切除粘连组织和肿块,未损伤股动脉或静脉。然而,由于股血管弹性丧失,正常形态未恢复。因此,在切除股动脉狭窄区域后,使用大隐静脉进行股-股移植搭桥术。术后12个月,血管重建计算机断层扫描图像证实股动脉血流正常且连续。

经验教训

MO引起的血管压迫和周围炎症反应可导致正常血管形态丧失。对于不会自行消退的病变,应考虑手术切除肿块及受累的股动脉段,随后进行股动脉重建,以防止肢体功能受损和继发并发症。

https://cdn.ncbi.nlm.nih.gov/pmc/blobs/f01c/7581180/c07c84f3bfb0/medi-99-e22810-g001.jpg

相似文献

1
Myositis ossificans of the thigh causing external compression of the superficial femoral artery and vein: A case report.
Medicine (Baltimore). 2020 Oct 23;99(43):e22810. doi: 10.1097/MD.0000000000022810.
4
Deep vein thrombosis due to spontaneous nontraumatic myositis ossificans: treatment with a venous stent.
Cardiovasc Intervent Radiol. 2003 Mar-Apr;26(2):192-3. doi: 10.1007/s00270-002-0470-y. Epub 2003 Mar 6.
5
Surgical excision of symptomatic mature posttraumatic myositis ossificans: characteristics and outcomes in 32 athletes.
Knee Surg Sports Traumatol Arthrosc. 2017 Dec;25(12):3961-3968. doi: 10.1007/s00167-017-4667-7. Epub 2017 Aug 5.
6
The management of arterial and venous injuries during saphenous vein surgery.
Interact Cardiovasc Thorac Surg. 2008 May;7(3):432-3. doi: 10.1510/icvts.2007.171942. Epub 2008 Feb 13.
7
Non-traumatic myositis ossificans of the thigh. A case report.
Ann Ital Chir. 2019 Mar 5;8:S2239253X19030111.
8
Myositis ossificans progressive: case report.
Pan Afr Med J. 2016 Jul 21;24:264. doi: 10.11604/pamj.2016.24.264.6670. eCollection 2016.
9
Adductor canal compression syndrome: a forgotten disease.
Ann Ital Chir. 2014 Dec 29;85(ePub):S2239253X14023020.
10
[Non-traumatic myositis ossificans circumscripta].
Arch Pediatr. 1995 Feb;2(2):150-5. doi: 10.1016/0929-693x(96)89876-9.

引用本文的文献

1
Myositis ossificans circumscripta of the thigh: A pediatric case report.
Radiol Case Rep. 2024 Sep 27;19(12):6547-6554. doi: 10.1016/j.radcr.2024.08.160. eCollection 2024 Dec.

本文引用的文献

1
Myositis ossificans traumatica causing ankylosis of the elbow.
Clin Orthop Surg. 2014 Dec;6(4):480-3. doi: 10.4055/cios.2014.6.4.480. Epub 2014 Nov 10.
2
Myositis ossificans mimicking sarcoma, the importance of diagnostic imaging - case report.
Pol J Radiol. 2014 Jul 28;79:228-32. doi: 10.12659/PJR.890209. eCollection 2014.
3
Myositis ossificans circumscripta: a paediatric case and review of the literature.
Eur J Pediatr. 2009 May;168(5):523-9. doi: 10.1007/s00431-008-0906-8. Epub 2009 Jan 8.
4
Deep vein thrombosis due to spontaneous nontraumatic myositis ossificans: treatment with a venous stent.
Cardiovasc Intervent Radiol. 2003 Mar-Apr;26(2):192-3. doi: 10.1007/s00270-002-0470-y. Epub 2003 Mar 6.
5
Heterotopic ossification in childhood and adolescence.
J Child Neurol. 2000 Jun;15(6):406-13. doi: 10.1177/088307380001500610.
9
Myositis ossificans traumatica.
Orthop Rev. 1992 Nov;21(11):1319-26.

文献AI研究员

20分钟写一篇综述,助力文献阅读效率提升50倍。

立即体验

用中文搜PubMed

大模型驱动的PubMed中文搜索引擎

马上搜索

文档翻译

学术文献翻译模型,支持多种主流文档格式。

立即体验