• 文献检索
  • 文档翻译
  • 深度研究
  • 学术资讯
  • Suppr Zotero 插件Zotero 插件
  • 邀请有礼
  • 套餐&价格
  • 历史记录
应用&插件
Suppr Zotero 插件Zotero 插件浏览器插件Mac 客户端Windows 客户端微信小程序
定价
高级版会员购买积分包购买API积分包
服务
文献检索文档翻译深度研究API 文档MCP 服务
关于我们
关于 Suppr公司介绍联系我们用户协议隐私条款
关注我们

Suppr 超能文献

核心技术专利:CN118964589B侵权必究
粤ICP备2023148730 号-1Suppr @ 2026

文献检索

告别复杂PubMed语法,用中文像聊天一样搜索,搜遍4000万医学文献。AI智能推荐,让科研检索更轻松。

立即免费搜索

文件翻译

保留排版,准确专业,支持PDF/Word/PPT等文件格式,支持 12+语言互译。

免费翻译文档

深度研究

AI帮你快速写综述,25分钟生成高质量综述,智能提取关键信息,辅助科研写作。

立即免费体验

MLAA-34基因敲低通过JAK2/STAT3信号通路在急性单核细胞白血病中显示出增强的抗肿瘤活性。

MLAA-34 knockdown shows enhanced antitumor activity via JAK2/STAT3 signaling pathway in acute monocytic leukemia.

作者信息

Lei Bo, Qian Lu, Zhang Yanping, Chen Yinxia, Gao Meili, Shah Walayat, Cao Xingmei, Zhang Pengyu, Zhao Wanhong, Liu Jie, Wang Jianli, Ma Xiaorong, Yang Yun, Meng Xin, Cai Fengmei, Xu Yan, Luo Jing, Wang Baiyan, Zhang Yang, He Aili, Zhang Wanggang

机构信息

Second Affiliated Hospital, Medical School of Xi'an Jiaotong University, Department of Hematology, 157 Xiwu Road, Xi'an, Shaanxi, China.

Department of Medical Research Center, Xi'an No.3 Hospital, the Affiliated Hospital of Northwest University, Xi'an, Shaanxi Province, China, 710008.

出版信息

J Cancer. 2020 Sep 30;11(23):6768-6781. doi: 10.7150/jca.46670. eCollection 2020.

DOI:10.7150/jca.46670
PMID:33123268
原文链接:https://pmc.ncbi.nlm.nih.gov/articles/PMC7592008/
Abstract

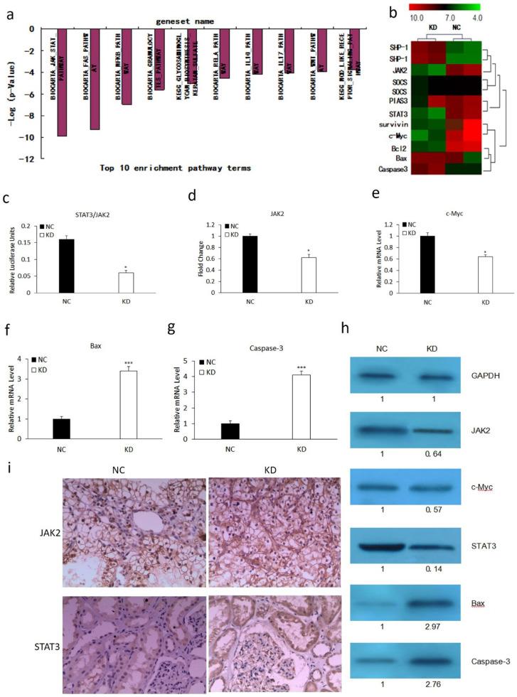
MLAA-34 is a novel leukemia-associated gene closely related to the carcinogenesis of acute monocytic leukemia (AML). MLAA-34 over expression has been observed to inhibit apoptosis . JAK2/STAT3 pathway plays an important role in cell proliferation, differentiation and inhibition of apoptosis in number of cancers. However, the relationship and interaction between MLAA-34 and JAK2/STAT3 has never been investigated in AML. This study investigates and reports a novel relationship between MLAA-34 and JAK2/STAT3 pathway in AML both and . We constructed MLAA-34 knockdown vector and transfected U937 cells to observe its apoptotic activities in relation to JAK2/STAT3 signaling pathway and then in mouse model. Levels of expression of MLAA-34 and JAK2/STAT3 and its downstream targets were also measured in AML patients and a few volunteers. We found that MLAA-34 knockdown increased U937 apoptosis and inhibited tumor growth . Components of the canonical JAK2/STAT3 pathway or its downstream targets, including c-myc, bcl-2, Bax, and caspase-3, were shown to be involved in the carcinogenesis of AML. We also found that the JAK2/STAT3 pathway positively regulated MLAA-34 expression. We additionally identified a STAT3 binding site in the MLAA-34 promoter where STAT3 binds directly and activates MLAA-34 expression. In addition, MLAA-34 was found to form a complex with JAK2 and was enhanced by JAK2 activation. Correlation of MLAA-34 and JAK2/STAT3 was further confirmed in AML patients. In conclusion, MLAA-34 is a novel regulator for JAK2/STAT3 signaling, and in turn, is regulated by this interaction in a positive feedback loop. Thus we report a novel model of interaction mechanism between MLAA-34 and JAK2/STAT3 which can be utilized as a potential target for a novel therapeutic approach in AML.

摘要

MLAA - 34是一种与急性单核细胞白血病(AML)致癌作用密切相关的新型白血病相关基因。已观察到MLAA - 34的过表达可抑制细胞凋亡。JAK2/STAT3通路在多种癌症的细胞增殖、分化及凋亡抑制中起重要作用。然而,AML中MLAA - 34与JAK2/STAT3之间的关系及相互作用从未被研究过。本研究调查并报道了AML中MLAA - 34与JAK2/STAT3通路之间的一种新型关系。我们构建了MLAA - 34敲低载体并转染U937细胞,以观察其与JAK2/STAT3信号通路相关的凋亡活性,然后在小鼠模型中进行观察。还检测了AML患者及一些志愿者中MLAA - 34、JAK2/STAT3及其下游靶点的表达水平。我们发现敲低MLAA - 34可增加U937细胞凋亡并抑制肿瘤生长。经典JAK2/STAT3通路的组成成分或其下游靶点,包括c - myc、bcl - 2、Bax和caspase - 3,被证明参与了AML的致癌过程。我们还发现JAK2/STAT3通路正向调节MLAA - 34的表达。我们另外在MLAA - 34启动子中鉴定出一个STAT3结合位点,STAT3可直接结合并激活MLAA - 34的表达。此外,发现MLAA - 34与JAK2形成复合物,并因JAK2激活而增强。AML患者中MLAA - 34与JAK2/STAT3之间的相关性进一步得到证实。总之,MLAA - 34是JAK2/STAT3信号的新型调节因子,并反过来受这种相互作用以正反馈回路调节。因此,我们报道了一种MLAA - 34与JAK2/STAT3之间相互作用机制的新型模型,可作为AML新型治疗方法的潜在靶点。

https://cdn.ncbi.nlm.nih.gov/pmc/blobs/4262/7592008/b4bc4fcac03d/jcav11p6768g006.jpg
https://cdn.ncbi.nlm.nih.gov/pmc/blobs/4262/7592008/aa708e0335bc/jcav11p6768g001.jpg
https://cdn.ncbi.nlm.nih.gov/pmc/blobs/4262/7592008/ed03c824a394/jcav11p6768g002.jpg
https://cdn.ncbi.nlm.nih.gov/pmc/blobs/4262/7592008/c34a20f1f569/jcav11p6768g003.jpg
https://cdn.ncbi.nlm.nih.gov/pmc/blobs/4262/7592008/1b04cb1b9336/jcav11p6768g004.jpg
https://cdn.ncbi.nlm.nih.gov/pmc/blobs/4262/7592008/6772a560dace/jcav11p6768g005.jpg
https://cdn.ncbi.nlm.nih.gov/pmc/blobs/4262/7592008/b4bc4fcac03d/jcav11p6768g006.jpg
https://cdn.ncbi.nlm.nih.gov/pmc/blobs/4262/7592008/aa708e0335bc/jcav11p6768g001.jpg
https://cdn.ncbi.nlm.nih.gov/pmc/blobs/4262/7592008/ed03c824a394/jcav11p6768g002.jpg
https://cdn.ncbi.nlm.nih.gov/pmc/blobs/4262/7592008/c34a20f1f569/jcav11p6768g003.jpg
https://cdn.ncbi.nlm.nih.gov/pmc/blobs/4262/7592008/1b04cb1b9336/jcav11p6768g004.jpg
https://cdn.ncbi.nlm.nih.gov/pmc/blobs/4262/7592008/6772a560dace/jcav11p6768g005.jpg
https://cdn.ncbi.nlm.nih.gov/pmc/blobs/4262/7592008/b4bc4fcac03d/jcav11p6768g006.jpg

相似文献

1
MLAA-34 knockdown shows enhanced antitumor activity via JAK2/STAT3 signaling pathway in acute monocytic leukemia.MLAA-34基因敲低通过JAK2/STAT3信号通路在急性单核细胞白血病中显示出增强的抗肿瘤活性。
J Cancer. 2020 Sep 30;11(23):6768-6781. doi: 10.7150/jca.46670. eCollection 2020.
2
Targeted silencing of genes related to acute monocytic leukaemia by CpG(B)-MLAA-34 siRNA conjugates.通过 CpG(B)-MLAA-34 siRNA 缀合物靶向沉默与急性单核细胞白血病相关的基因。
J Drug Target. 2020 Jun;28(5):516-524. doi: 10.1080/1061186X.2019.1689397. Epub 2019 Nov 29.
3
Identification and functional characterization of the novel acute monocytic leukemia associated antigen MLAA-34.新型急性单核细胞白血病相关抗原MLAA - 34的鉴定与功能表征
Cancer Immunol Immunother. 2009 Feb;58(2):281-90. doi: 10.1007/s00262-008-0552-z. Epub 2008 Jul 1.
4
C59T mutation in exon 2 of monocytic leukemia-associated antigen-34 gene indicates a high risk of recurrence of acute myeloid leukemia.单核细胞白血病相关抗原-34基因外显子2中的C59T突变表明急性髓系白血病复发风险高。
Oncol Lett. 2017 Jul;14(1):55-62. doi: 10.3892/ol.2017.6110. Epub 2017 May 2.
5
Leukemia-associated gene MLAA-34 reduces arsenic trioxide-induced apoptosis in HeLa cells via activation of the Wnt/β-catenin signaling pathway.白血病相关基因MLAA - 34通过激活Wnt/β - 连环蛋白信号通路降低三氧化二砷诱导的HeLa细胞凋亡。
PLoS One. 2017 Oct 23;12(10):e0186868. doi: 10.1371/journal.pone.0186868. eCollection 2017.
6
[Detection of Novel Antigen MLAA-34 Gene Mutation in Acute Monocytic Leukemia and Its Correlation with Efficacy].急性单核细胞白血病中新型抗原MLAA-34基因突变的检测及其与疗效的相关性
Zhongguo Shi Yan Xue Ye Xue Za Zhi. 2018 Feb;26(1):97-104. doi: 10.7534/j.issn.1009-2137.2018.01.016.
7
The expression and functional characterization associated with cell apoptosis and proteomic analysis of the novel gene MLAA-34 in U937 cells.新型基因 MLAA-34 在 U937 细胞中的表达与细胞凋亡的功能特征及其蛋白质组学分析。
Oncol Rep. 2013 Feb;29(2):491-506. doi: 10.3892/or.2012.2129. Epub 2012 Nov 7.
8
Pterostilbene exerts antitumor activity against human osteosarcoma cells by inhibiting the JAK2/STAT3 signaling pathway.紫檀芪通过抑制 JAK2/STAT3 信号通路对人骨肉瘤细胞发挥抗肿瘤活性。
Toxicology. 2013 Feb 8;304:120-31. doi: 10.1016/j.tox.2012.12.018. Epub 2013 Jan 8.
9
Overexpression of B7-H3 augments anti-apoptosis of colorectal cancer cells by Jak2-STAT3.B7-H3的过表达通过Jak2-STAT3增强结肠癌细胞的抗凋亡作用。
World J Gastroenterol. 2015 Feb 14;21(6):1804-13. doi: 10.3748/wjg.v21.i6.1804.
10
[Cloning of New Antigen Gene MLAA-34 Promoter and Identification of Core Region in Acute Monocytic Leukemia].[急性单核细胞白血病新抗原基因MLAA - 34启动子的克隆及核心区域的鉴定]
Zhongguo Shi Yan Xue Ye Xue Za Zhi. 2019 Jun;27(3):641-645. doi: 10.19746/j.cnki.issn.1009-2137.2019.03.002.

引用本文的文献

1
[High expression of apolipoprotein C1 promotes proliferation and inhibits apoptosis of papillary thyroid carcinoma cells by activating the JAK2/STAT3 signaling pathway].载脂蛋白C1高表达通过激活JAK2/STAT3信号通路促进甲状腺乳头状癌细胞增殖并抑制其凋亡
Nan Fang Yi Ke Da Xue Xue Bao. 2025 Feb 20;45(2):359-370. doi: 10.12122/j.issn.1673-4254.2025.02.17.
2
CSE1L Silencing Enhances Cytarabine-mediated Cytotoxicity in Acute Myeloid Leukemia.CSE1L基因沉默增强阿糖胞苷对急性髓系白血病的细胞毒性作用
Indian J Hematol Blood Transfus. 2024 Oct;40(4):629-637. doi: 10.1007/s12288-024-01773-3. Epub 2024 May 27.
3

本文引用的文献

1
Loss of Wwox drives metastasis in triple-negative breast cancer by JAK2/STAT3 axis.Wwox 的缺失通过 JAK2/STAT3 轴驱动三阴性乳腺癌的转移。
Nat Commun. 2018 Aug 28;9(1):3486. doi: 10.1038/s41467-018-05852-8.
2
The tyrosine phosphatase SHP2 controls TGFβ-induced STAT3 signaling to regulate fibroblast activation and fibrosis.酪氨酸磷酸酶 SHP2 控制 TGFβ 诱导的 STAT3 信号通路调节成纤维细胞激活和纤维化。
Nat Commun. 2018 Aug 14;9(1):3259. doi: 10.1038/s41467-018-05768-3.
3
Activating JAK2 mutants reveal cytokine receptor coupling differences that impact outcomes in myeloproliferative neoplasm.
Zingiberensis Newsaponin Inhibits the Malignant Progression of Hepatocellular Carcinoma via Suppressing Autophagy Moderated by the AKR1C1-Mediated JAK2/STAT3 Pathway.
姜黄素通过抑制由AKR1C1介导的JAK2/STAT3途径调节的自噬来抑制肝细胞癌的恶性进展。
Evid Based Complement Alternat Med. 2021 Dec 13;2021:4055209. doi: 10.1155/2021/4055209. eCollection 2021.
激活型JAK2突变体揭示了细胞因子受体偶联差异,这些差异影响骨髓增殖性肿瘤的预后。
Leukemia. 2017 Oct;31(10):2122-2131. doi: 10.1038/leu.2017.1. Epub 2017 Jan 6.
4
Inhibition of the JAK2/STAT3/SOSC1 Signaling Pathway Improves Secretion Function of Vascular Endothelial Cells in a Rat Model of Pregnancy-Induced Hypertension.抑制JAK2/STAT3/SOSC1信号通路可改善妊娠高血压大鼠模型中血管内皮细胞的分泌功能。
Cell Physiol Biochem. 2016;40(3-4):527-537. doi: 10.1159/000452566. Epub 2016 Nov 25.
5
Anticancer effect of cucurbitacin B on MKN-45 cells via inhibition of the JAK2/STAT3 signaling pathway.葫芦素B通过抑制JAK2/STAT3信号通路对MKN-45细胞的抗癌作用。
Exp Ther Med. 2016 Oct;12(4):2709-2715. doi: 10.3892/etm.2016.3670. Epub 2016 Sep 6.
6
Chidamide, a novel histone deacetylase inhibitor, inhibits the viability of MDS and AML cells by suppressing JAK2/STAT3 signaling.西达本胺是一种新型组蛋白去乙酰化酶抑制剂,通过抑制JAK2/STAT3信号通路来抑制骨髓增生异常综合征(MDS)和急性髓系白血病(AML)细胞的活力。
Am J Transl Res. 2016 Jul 15;8(7):3169-78. eCollection 2016.
7
Interleukin-32α inactivates JAK2/STAT3 signaling and reverses interleukin-6-induced epithelial-mesenchymal transition, invasion, and metastasis in pancreatic cancer cells.白细胞介素-32α使JAK2/STAT3信号失活,并逆转白细胞介素-6诱导的胰腺癌细胞上皮-间质转化、侵袭和转移。
Onco Targets Ther. 2016 Jul 11;9:4225-37. doi: 10.2147/OTT.S103581. eCollection 2016.
8
The anti-apoptosis effect of MLAA-34 in leukemia and the β-catenin/T cell factor 4 protein pathway.MLAA-34在白血病中的抗凋亡作用及β-连环蛋白/T细胞因子4蛋白通路
Am J Transl Res. 2015 Nov 15;7(11):2270-8. eCollection 2015.
9
Pharmacological targeting of miR-155 via the NEDD8-activating enzyme inhibitor MLN4924 (Pevonedistat) in FLT3-ITD acute myeloid leukemia.通过NEDD8激活酶抑制剂MLN4924(培沃替尼)对FLT3-ITD急性髓系白血病进行miR-155的药理学靶向治疗。
Leukemia. 2015 Oct;29(10):1981-92. doi: 10.1038/leu.2015.106. Epub 2015 May 14.
10
Sp1 and c-Myc modulate drug resistance of leukemia stem cells by regulating survivin expression through the ERK-MSK MAPK signaling pathway.Sp1和c-Myc通过ERK-MSK丝裂原活化蛋白激酶信号通路调节survivin表达,从而调控白血病干细胞的耐药性。
Mol Cancer. 2015 Mar 7;14:56. doi: 10.1186/s12943-015-0326-0.