Suppr超能文献

采用内囊前肢-伏隔核深部脑刺激术成功治疗创伤性脑损伤后的精神症状

Successful Treatment of Psychiatric Symptoms after Traumatic Brain Injury Using Deep Brain Stimulation to the Anterior Limb of Internal Capsule-Nucleus Accumbens.

作者信息

Zhou Bin, Kuang Weiping, Huang Hongxing, Zhu Yong, Chen Xiaofeng, Li Liang, Yang Ping

机构信息

Department of Neurosurgery, Brain Hospital of Hunan Province, Clinical Medical School of Hunan University of Chinese Medicine, China.

Provincial Key Laboratory of TCM Diagnostics, Hunan University of Chinese Medicine, Changsha, Hunan Province, China.

出版信息

Clin Psychopharmacol Neurosci. 2020 Nov 30;18(4):636-640. doi: 10.9758/cpn.2020.18.4.636.

Abstract

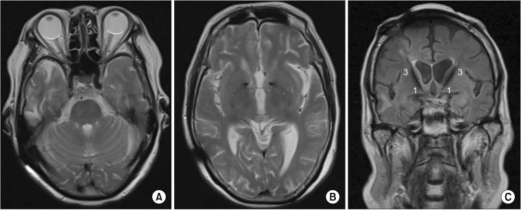
Psychiatric symptoms are common after traumatic brain injury (TBI), and some patients have poor drug therapeutic efficacy. We report a successfully treated case of psychiatric symptoms after TBI using deep brain stimulation (DBS) to the anterior limb of internal capsule (ALIC)-nucleus accumbens (NAc) in a 76-year-old woman. The patient suffered from auditory hallucination, mood changes, and insomnia caused by TBI. Psychological test assessment showed the scores of Hamilton Anxiety Scale, Hamilton Depression Scale and Positive and Negative Syndrome Scale were 30, 35, and 96 respectively. Head magnetic resonance imaging scan showed right temporal lobe encephalomalacia. Head magnetic resonance spectroscopy (MRS) showed bilateral basal ganglia choline increased relatively. After DBS to the ALIC-NAc, the target parameters were adjusted. The psychiatric symptoms were completely improved and the result of head MRS was normal in the end. The current report declares that DBS is reversible, adjustable and safe in the treatment of psychiatric symptoms caused by TBI. DBS to the ALIC-NAc should be considered as a possible treatment choice once a patient showed psychiatric symptoms after TBI.

摘要

精神症状在创伤性脑损伤(TBI)后很常见,一些患者药物治疗效果不佳。我们报告了一例76岁女性TBI后精神症状通过脑深部电刺激(DBS)内囊前肢(ALIC)-伏隔核(NAc)成功治疗的病例。该患者因TBI出现幻听、情绪变化和失眠。心理测试评估显示汉密尔顿焦虑量表、汉密尔顿抑郁量表和阳性与阴性症状量表得分分别为30、35和96。头部磁共振成像扫描显示右侧颞叶脑软化。头部磁共振波谱(MRS)显示双侧基底节胆碱相对增加。对ALIC-NAc进行DBS后,调整了目标参数。精神症状最终完全改善,头部MRS结果正常。本报告表明DBS在治疗TBI引起的精神症状方面具有可逆性、可调节性和安全性。一旦患者TBI后出现精神症状,应考虑将对ALIC-NAc进行DBS作为一种可能的治疗选择。

https://cdn.ncbi.nlm.nih.gov/pmc/blobs/062c/7609219/21ffe015b839/CPN-18-636-f1.jpg

文献检索

告别复杂PubMed语法,用中文像聊天一样搜索,搜遍4000万医学文献。AI智能推荐,让科研检索更轻松。

立即免费搜索

文件翻译

保留排版,准确专业,支持PDF/Word/PPT等文件格式,支持 12+语言互译。

免费翻译文档

深度研究

AI帮你快速写综述,25分钟生成高质量综述,智能提取关键信息,辅助科研写作。

立即免费体验