Suppr超能文献

新型 1,2,3-三唑/-2(1)-喹啉酮杂合体的设计、合成、分子对接、抗凋亡和 caspase-3 抑制作用。

Design, Synthesis, Molecular Docking, Antiapoptotic and Caspase-3 Inhibition of New 1,2,3-Triazole/-2(1)-Quinolinone Hybrids.

机构信息

Chemistry Department, Faculty of Science, Minia University, El-Minia 61519, Egypt.

College of Sciences and Humanities, Prince Sattam bin Abdulaziz University, Alkharj 11942, Saudi Arabia.

出版信息

Molecules. 2020 Oct 30;25(21):5057. doi: 10.3390/molecules25215057.

Abstract

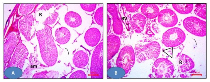
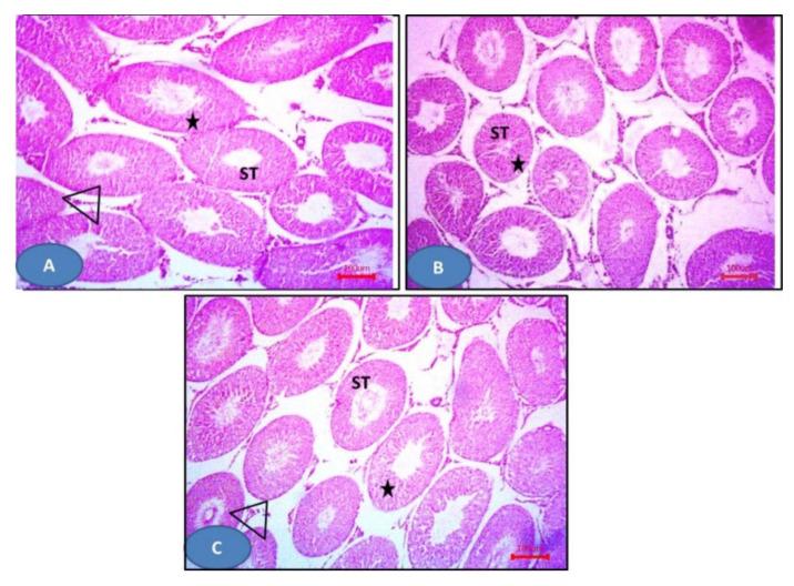
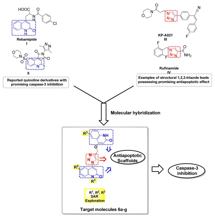
A series of novel 1,2,3-triazoles hybridized with two quinolin-2-ones, was designed and synthesized through click reactions. The structures of the synthesized compounds were elucidated by NMR, IR, and mass spectra in addition to elemental analysis. The synthesized compounds were assessed for their antiapoptotic activity in testis, as testicular torsion is the main cause of male infertility. This effect was studied in light of decreasing tissue damage induced by I/R in the testis of rats using -acetylcysteine (NAC) as an antiapoptotic reference. Compounds - were the most active antiapoptotic hybrids with significant measurements for malondialdehyde (MDA) and total antioxidant capacity (TAC) and the apoptotic biomarkers (testicular testosterone, TNFα, and caspase-3) in comparison to the reference. A preliminary mechanistic study was performed to improve the antiapoptotic activity through caspase-3 inhibition. A compound assigned as 6-methoxy-4-(4-(((2-oxo-1,2-dihydroquinolin-4-yl)oxy)methyl)-1-1,2,3-triazol-1-yl)quinolin-2(1)-one () was selected as a representative of the most active hybrids in comparison to NAC. Assay of cytochrome for revealed an attenuation of cytochrome level about 3.54 fold, comparable to NAC (4.13 fold). In caspases-3,8,9 assays, was found to exhibit more potency and selectivity toward caspase-3 than other caspases. The testicular histopathological investigation was carried out on all targeted compounds -, indicating a significant improvement in the spermatogenesis process for compounds - if compared to the reference relative to the control. Finally, molecular docking studies were done at the caspase-3 active site to suggest possible binding modes. Hence, it could conceivably be hypothesized that compounds - could be considered good lead candidate compounds as antiapoptotic agents.

摘要

一系列新型 1,2,3-三唑与两个喹啉-2-酮杂交,通过点击反应设计和合成。通过 NMR、IR 和质谱以及元素分析阐明了合成化合物的结构。合成化合物的抗凋亡活性在睾丸中进行评估,因为睾丸扭转是男性不育的主要原因。这项研究是基于使用 N-乙酰半胱氨酸 (NAC) 作为抗凋亡对照物,在大鼠睾丸中减少 I/R 引起的组织损伤来进行的。与对照相比,化合物 - 是最有效的抗凋亡杂交物,具有显著的丙二醛 (MDA) 和总抗氧化能力 (TAC) 以及睾丸睾酮、TNFα 和 caspase-3 等凋亡生物标志物的测量值。进行了初步的机制研究,通过抑制 caspase-3 来提高抗凋亡活性。选择一种指定为 6-甲氧基-4-(4-(((2-氧代-1,2-二氢喹啉-4-基)氧基)甲基)-1-1,2,3-三唑-1-基)喹啉-2(1)-酮 () 的化合物作为与 NAC 相比最有效杂交物的代表。对细胞色素 进行的测定显示,细胞色素 水平降低了约 3.54 倍,与 NAC (4.13 倍)相当。在 caspase-3、8、9 测定中,发现 对 caspase-3 的活性比其他 caspase 更有效和选择性。对所有靶向化合物 - 、-、-进行睾丸组织病理学研究,与对照相比,与对照相比,化合物 - 可显著改善精子发生过程。最后,在 caspase-3 活性部位进行了分子对接研究,以提出可能的结合模式。因此,可以设想,化合物 - 可以被认为是作为抗凋亡剂的良好先导候选化合物。

https://cdn.ncbi.nlm.nih.gov/pmc/blobs/9788/7672604/4d97d43adc2c/molecules-25-05057-g001.jpg

文献AI研究员

20分钟写一篇综述,助力文献阅读效率提升50倍。

立即体验

用中文搜PubMed

大模型驱动的PubMed中文搜索引擎

马上搜索

文档翻译

学术文献翻译模型,支持多种主流文档格式。

立即体验