Suppr超能文献

罗森塔尔基底静脉直接引流至岩上窦:文献综述

Direct drainage of the basal vein of Rosenthal into the superior petrosal sinus: a literature review.

作者信息

Gutierrez Santiago, Iwanaga Joe, Dumont Aaron S, Tubbs R Shane

机构信息

Pontificia Universidad Javeriana, Bogotá, Colombia, USA.

Department of Neurosurgery, Tulane University School of Medicine, New Orleans, LA, USA.

出版信息

Anat Cell Biol. 2020 Dec 31;53(4):379-384. doi: 10.5115/acb.20.199.

Abstract

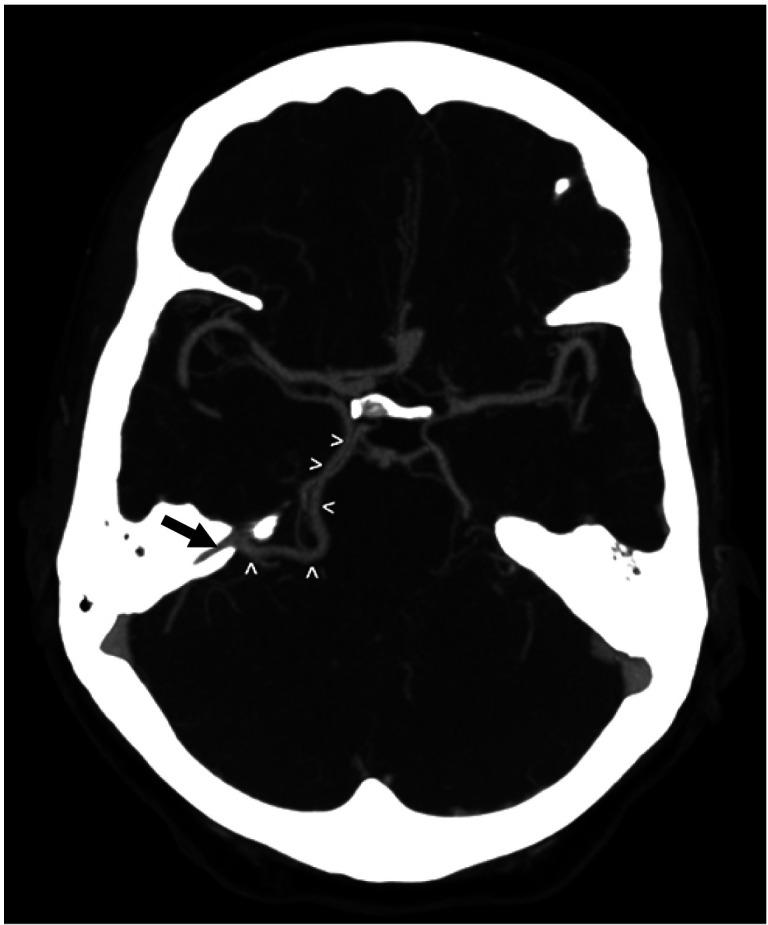
An adult male was found to have a variation of the left basal vein of Rosenthal after presenting with complaints of headache and balance issues. In this case, the vein drained directly into the left superior petrosal sinus (SPS) instead of the great vein of Galen. Anatomical variation of the basal vein is likely due to embryonic development of the deep cerebral venous system as primitive structures either differentiate regress or further with age. These changes may result in the uncommon presentation seen in this case. To our knowledge, this is the first case that shows the basal vein drains into the SPS. The normal and variant anatomy of this vessel are discussed.

摘要

一名成年男性在出现头痛和平衡问题后,被发现存在罗森塔尔左基底静脉变异。在该病例中,该静脉直接汇入左岩上窦(SPS),而非大脑大静脉。基底静脉的解剖变异可能归因于大脑深部静脉系统的胚胎发育,随着年龄增长,原始结构要么分化、退化,要么进一步发育。这些变化可能导致了本病例中所见到的罕见表现。据我们所知,这是首例显示基底静脉汇入岩上窦的病例。本文讨论了该血管的正常和变异解剖结构。

https://cdn.ncbi.nlm.nih.gov/pmc/blobs/7753/7769095/51deaf3c4ef9/ACB-53-379-f1.jpg

文献AI研究员

20分钟写一篇综述,助力文献阅读效率提升50倍。

立即体验

用中文搜PubMed

大模型驱动的PubMed中文搜索引擎

马上搜索

文档翻译

学术文献翻译模型,支持多种主流文档格式。

立即体验