Suppr超能文献

胃癌胃切除术后修补 Petersen 缺损:来自中国一家大容量医疗机构的中断时间序列分析。

Closure of Petersen's defect in gastrectomy for gastric cancer: an interrupted time series analysis from a high-volume institution in China.

机构信息

Department of Gastrointestinal Surgery and Laboratory of Gastric Cancer, State Key Laboratory of Biotherapy, West China Hospital, Sichuan University and Collaborative Innovation Center for Biotherapy, No. 37 GuoXue Xiang Street, Chengdu, 610041, Sichuan Province, China.

出版信息

Langenbecks Arch Surg. 2021 Mar;406(2):427-436. doi: 10.1007/s00423-020-02019-2. Epub 2020 Nov 5.

Abstract

PURPOSE

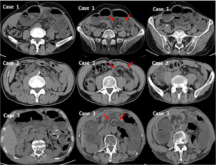
Petersen's hernia (PH) is a serious complication after gastrectomy for gastric cancer. The aim of this study was to investigate whether closure of Petersen's defect (PD) can decrease the rates of PH and suspected Petersen's hernia (SPH).

METHODS

Patients who underwent gastrectomy with PD were enrolled. From January 2014 to January 2017, we performed gastrectomy without PD closure (non-closure group). From February 2017 to June 2018, we closed PDs during gastrectomy (closure group). The rates of PH and SPH were compared between the two groups. The last follow-up was updated in August 2020.

RESULTS

Among a total of 1213 patients, 12 patients (1.0%) developed PH, and 23 patients (1.9%) developed SPH. The rate of PH in the closure group was significantly lower than that in the non-closure group (1/385, 0.3% versus 11/828, 1.3%, p = 0.042, log-rank test). The rate of SPH in the closure group was significantly lower than that in the non-closure group (1/385, 0.3% versus 22/828, 2.7%, p = 0.008, log-rank test). Non-closure of PD was a risk factor for PH and SPH (odds ratio (OR) 7.72, 95% CI 1.84-32.35, p = 0.006).

CONCLUSIONS

PD closure is recommended after gastrectomy for gastric cancer, as the rates of PH and SPH were significantly decreased.

摘要

目的

Petersen 疝(PH)是胃癌胃切除术后的严重并发症。本研究旨在探讨是否闭合 Petersen 缺损(PD)可以降低 PH 和疑似 Petersen 疝(SPH)的发生率。

方法

纳入行 PD 胃切除术的患者。2014 年 1 月至 2017 年 1 月,我们行 PD 不闭合的胃切除术(非闭合组)。2017 年 2 月至 2018 年 6 月,我们在行胃切除术时闭合 PD(闭合组)。比较两组 PH 和 SPH 的发生率。最后一次随访更新于 2020 年 8 月。

结果

在总共 1213 例患者中,12 例(1.0%)发生 PH,23 例(1.9%)发生 SPH。闭合组 PH 发生率明显低于非闭合组(1/385,0.3%比 11/828,1.3%,p=0.042,log-rank 检验)。闭合组 SPH 发生率明显低于非闭合组(1/385,0.3%比 22/828,2.7%,p=0.008,log-rank 检验)。PD 不闭合是 PH 和 SPH 的危险因素(比值比(OR)7.72,95%可信区间 1.84-32.35,p=0.006)。

结论

建议胃癌胃切除术后闭合 PD,可显著降低 PH 和 SPH 的发生率。

https://cdn.ncbi.nlm.nih.gov/pmc/blobs/00e2/7936939/a0579b7804ee/423_2020_2019_Fig1_HTML.jpg

文献AI研究员

20分钟写一篇综述,助力文献阅读效率提升50倍。

立即体验

用中文搜PubMed

大模型驱动的PubMed中文搜索引擎

马上搜索

文档翻译

学术文献翻译模型,支持多种主流文档格式。

立即体验