Krishna Yamini, Christou Louise, Khzouz Jakub, Hussain Rumana, Heimann Heinrich, Coupland Sarah E
Liverpool Clinical Laboratories, Liverpool University Hospitals NHS Foundation Trust, Liverpool, UK.
Liverpool Ocular Oncology Research Centre, Department of Molecular and Clinical Cancer Medicine, University of Liverpool, Liverpool, UK.
Am J Ophthalmol Case Rep. 2020 Oct 29;20:100988. doi: 10.1016/j.ajoc.2020.100988. eCollection 2020 Dec.
Sarcoidosis is a chronic idiopathic granulomatous inflammatory disease that can affect many major organ systems, primarily the lungs, and hence has remarkable clinical heterogeneity. At least 50% of patients with systemic sarcoidosis develop inflammatory eye disease, and in approximately 21% of cases, it may be the first clinical manifestation. Neuro-ocular involvement occurs in <3% of all sarcoidosis cases, and rarely involves the optic nerve. We describe an unusual case of an intraocular sarcoidosis presenting as an unclear optic nerve mass.
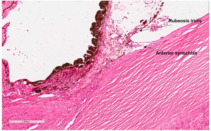
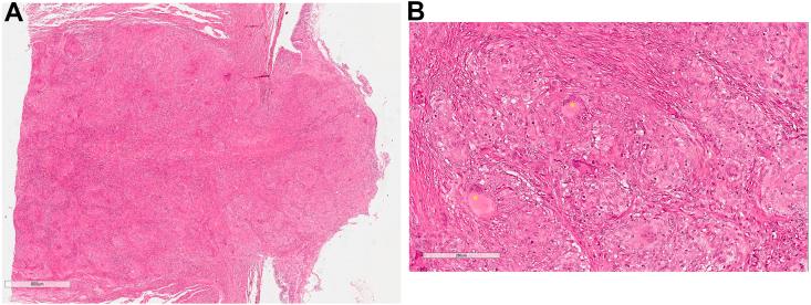
A 61-year-old male presented with painful gradual visual loss in the right eye. Previous history included Stage II Hodgkin lymphoma (HL) and concurrent mediastinal sarcoidosis, both in remission 5 years later. On examination, the right eye (RE) vision had no light perception, neovascular glaucoma, attenuated retinal vessels and a non-pigmented optic disc mass. The left eye was normal. The RE showed no response to oral steroids, was painful due to neovascular glaucoma and the concerns of recurrent HL with intraocular manifestations lead to RE enucleation. Macroscopic examination revealed a whitish mass at the optic disc, which histomorphologically showed a non-necrotising granulomatous inflammation consuming the optic nerve head and extending into the optic nerve resection margin. Special stains for microorganisms were negative. The uveal tract was free of inflammation. The morphological features were consistent with optic nerve sarcoidosis. A diagnosis of neuro-ocular sarcoidosis was made, and the patient was commenced on infliximab.
Neuro-ocular sarcoidosis is known as the 'great imitator' because it can cause a variety of non-specific clinical signs and symptoms, mimicking many other conditions, including lymphomas. Intraocular sarcoidosis is not unusual and typically affects the uvea. Isolated optic nerve sarcoidosis is rare. The challenging aspect of intraocular sarcoidosis is the requirement of prompt treatment to reverse any eye damage and prevent permanent visual loss. Here, optic nerve sarcoidosis was very advanced, and was associated with intracerebral manifestations.
Neuro-ocular sarcoidosis is a difficult condition to diagnose and treat. Our case was complicated by the previous history of HL and concurrent mediastinal sarcoidosis which were in remission. In patients with a history of sarcoidosis with new loss of vision and neurological weaknesses oculocerebral involvement must be included in the differential diagnosis even in the absence of typical manifestations of ocular sarcoidosis as in uveal tract involvement.
结节病是一种慢性特发性肉芽肿性炎症性疾病,可累及许多主要器官系统,主要是肺部,因此具有显著的临床异质性。至少50%的系统性结节病患者会发生炎性眼病,约21%的病例中,眼病可能是首发临床表现。神经眼部受累在所有结节病病例中占比<3%,且很少累及视神经。我们描述了一例罕见的眼内结节病,表现为不明原因的视神经肿块。
一名61岁男性因右眼逐渐出现疼痛性视力丧失前来就诊。既往病史包括II期霍奇金淋巴瘤(HL)和并发纵隔结节病,两者在5年后均缓解。检查发现,右眼视力无光感,有新生血管性青光眼、视网膜血管变细以及一个无色素的视盘肿块。左眼正常。右眼对口服类固醇无反应,因新生血管性青光眼而疼痛,且担心HL复发并伴有眼内表现,遂行右眼眼球摘除术。宏观检查发现视盘处有一个白色肿块,组织形态学显示为非坏死性肉芽肿性炎症,累及视神经乳头并延伸至视神经切除边缘。微生物特殊染色为阴性。葡萄膜无炎症。形态学特征与视神经结节病一致。诊断为神经眼部结节病,患者开始使用英夫利昔单抗治疗。
神经眼部结节病被称为“伟大的模仿者”,因为它可引起多种非特异性临床体征和症状,酷似许多其他疾病,包括淋巴瘤。眼内结节病并不罕见,通常累及葡萄膜。孤立性视神经结节病罕见。眼内结节病具有挑战性的方面在于需要及时治疗以逆转任何眼部损害并防止永久性视力丧失。在此病例中,视神经结节病已非常严重,并伴有脑内表现。
神经眼部结节病是一种难以诊断和治疗的疾病。我们的病例因既往有HL病史且并发纵隔结节病,而二者均已缓解,使病情变得复杂。对于有结节病病史且出现新的视力丧失和神经功能障碍的患者,即使没有葡萄膜受累等眼结节病的典型表现,在鉴别诊断中也必须考虑眼脑受累的情况。