Suppr超能文献

黏液性尿道腺癌和前列腺腺癌并存的全身治疗。

Systemic treatment for coexisting mucinous urethral adenocarcinoma and prostate adenocarcinoma.

作者信息

Nezu Kunihisa, Okubo Teppei, Shiraiwa Manabu, Nozawa Yoshihiro, Kyan Atsushi

机构信息

Department of Urology Shirakawa Kousei General Hospital Shirakawa Fukushima Japan.

Department of Urology Shirakawajinhinyokinaika Clinics Shirakawa Fukushima Japan.

出版信息

IJU Case Rep. 2020 Aug 2;3(6):261-264. doi: 10.1002/iju5.12210. eCollection 2020 Nov.

Abstract

INTRODUCTION

Mucinous urethral adenocarcinoma is a rare and progressive cancer of the prostatic urethra. Reports on palliative systemic treatment for mucinous urethral adenocarcinoma are few. We present a case of coexisting mucinous urethral and prostate adenocarcinomas managed with systemic treatment.

CASE PRESENTATION

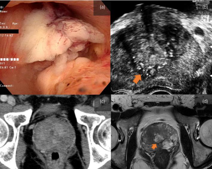
A 66-year-old man presented with gross hematuria and urinary retention. Prostate-specific antigen level was elevated, at 99 ng/mL, and prostate biopsy revealed moderately to poorly differentiated adenocarcinoma. Hormone therapy and standard chemotherapy for prostate adenocarcinoma were ineffective. Prostate re-biopsy revealed coexisting mucinous urethral and prostate adenocarcinomas. Gemcitabine + cisplatin chemotherapy and folinic acid + 5-fluorouracil + irinotecan chemotherapy temporarily suppressed the cancer, but 14 months after presentation, he developed liver metastasis and died. Autopsy revealed metastasis of both mucinous urethral adenocarcinoma and carcinosarcoma.

CONCLUSION

Mucinous urethral adenocarcinoma is difficult to diagnose in coexistence with prostate adenocarcinoma. This was an extremely rare case showing chemoresistance due to epithelial-mesenchymal transition.

摘要

引言

黏液性尿道腺癌是一种罕见的前列腺尿道进展性癌症。关于黏液性尿道腺癌姑息性全身治疗的报道很少。我们报告一例同时存在黏液性尿道腺癌和前列腺腺癌并接受全身治疗的病例。

病例介绍

一名66岁男性出现肉眼血尿和尿潴留。前列腺特异性抗原水平升高,为99 ng/mL,前列腺活检显示为中分化至低分化腺癌。前列腺腺癌的激素治疗和标准化疗均无效。再次前列腺活检显示同时存在黏液性尿道腺癌和前列腺腺癌。吉西他滨+顺铂化疗以及亚叶酸钙+5-氟尿嘧啶+伊立替康化疗暂时抑制了癌症,但在出现症状14个月后,他发生了肝转移并死亡。尸检显示黏液性尿道腺癌和癌肉瘤均发生了转移。

结论

黏液性尿道腺癌与前列腺腺癌并存时难以诊断。这是一例极其罕见的因上皮-间质转化而表现出化疗耐药的病例。

https://cdn.ncbi.nlm.nih.gov/pmc/blobs/e2de/7609175/d8623b53206e/IJU5-3-261-g001.jpg

文献AI研究员

20分钟写一篇综述,助力文献阅读效率提升50倍。

立即体验

用中文搜PubMed

大模型驱动的PubMed中文搜索引擎

马上搜索

文档翻译

学术文献翻译模型,支持多种主流文档格式。

立即体验