Department of Pathology, Azienda Ospedale Università Padova, Padova, Italy.
Department of Medicine, University of Padua School of Medicine, Padova, Italy.
Pathologica. 2020 Dec;112(4):184-190. doi: 10.32074/1591-951X-207. Epub 2020 Nov 3.
To report the exceptional occurrence of ossifying fibromyxoid tumour (OFMT) as a primary bone lesion. OFMT is a rare soft tissue tumour of uncertain differentiation and variable malignant potential, that occurs in adults with a slight male predominance. It is typically located in the subcutis or in the skeletal muscles of the extremities, followed by trunk or head and neck.
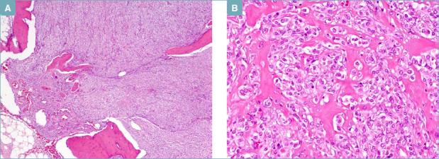
Two cases of OFMT proven to arise from bone are presented. The first is a 65-year old female with a history of rib "osteosarcoma", presenting with an inferior lobe left lung mass. The second is a man with a lytic lesion of the 5th cervical vertebra that recurred shortly after resection. Following H&E and immunohistochemical examination, tumour samples were analysed by NGS and by break-apart FISH to detect rearrangement of the and genes.
gene-rearrangement was identified by FISH on both the primary and the metastatic lesion of first patient. NGS identified a (intron1) and (exon 10) fusion transcript later confirmed by positive rearrangement on FISH in the second case.
The demonstration of gene rearrangements represents a fundamental ancillary diagnostic test when presented with challenging examples of OFMT.
报告骨内孤立性纤维性黏液样肿瘤(ossifying fibromyxoid tumour,OFMT)这一罕见的原发性骨病变。OFMT 是一种分化不确定、恶性潜能可变的罕见软组织肿瘤,好发于成年人,男性略多见。其典型发生部位为四肢的皮下组织或骨骼肌,其次为躯干或头颈部。
报告 2 例经证实来源于骨的 OFMT。第 1 例为 65 岁女性,有肋骨“骨肉瘤”病史,表现为左下肺叶肿块。第 2 例为 5 颈椎溶骨性病变患者,在切除后很快复发。对肿瘤标本进行 H&E 和免疫组化检查后,通过 NGS 和断裂分离 FISH 分析检测 和 基因重排。
第 1 例患者的原发和转移病灶均通过 FISH 检测到 基因重排。第 2 例患者的 NGS 检测到 (intron1) 和 (exon 10) 融合转录本,随后在 FISH 上证实为 基因重排阳性。
当遇到具有挑战性的 OFMT 病例时,基因重排的检测代表了一项重要的辅助诊断试验。