Suppr超能文献

CT动态增强模式对预测PAX6低表达胰腺神经内分泌肿瘤的价值:一项回顾性观察研究

Dynamic Enhancement Pattern on CT for Predicting Pancreatic Neuroendocrine Neoplasms with Low PAX6 Expression: A Retrospective Observational Study.

作者信息

Kimura Koichiro, Tsuchiya Junichi, Kitazume Yoshio, Kishino Mitsuhiro, Akahoshi Keiichi, Kudo Atsushi, Tanaka Shinji, Tanabe Minoru, Tateishi Ukihide

机构信息

Department of Diagnostic Radiology, Graduate School of Medicine, Tokyo Medical and Dental University, 1-5-45 Yushima, Bunkyo-ku, Tokyo 1138510, Japan.

Department of Hepatobiliary and Pancreatic Surgery, Graduate School of Medicine, Tokyo Medical and Dental University, 1-5-45 Yushima, Bunkyo-ku, Tokyo 1138510, Japan.

出版信息

Diagnostics (Basel). 2020 Nov 9;10(11):919. doi: 10.3390/diagnostics10110919.

Abstract

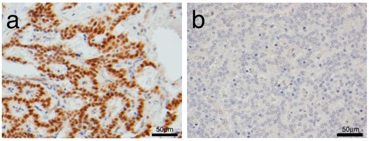
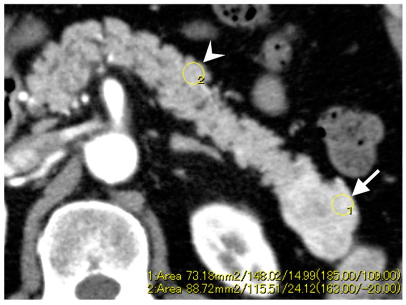
Paired box 6 (PAX6) is a transcription factor that plays a critical role in tumor suppression, implying that the downregulation of PAX6 promotes tumor growth and invasiveness. This study aimed to examine dynamic computed tomography (CT) features for predicting pancreatic neuroendocrine neoplasms (Pan-NENs) with low PAX6 expression. We retrospectively evaluated 51 patients with Pan-NENs without synchronous liver metastasis to assess the pathological expression of PAX6. Two radiologists analyzed preoperative dynamic CT images to determine morphological features and enhancement patterns. We compared the CT findings between low and high PAX6 expression groups. Pathological analysis identified 11 and 40 patients with low and high PAX6 expression, respectively. Iso- or hypoenhancement types in the arterial and portal phases were significantly associated with low PAX6 expression ( = 0.009; = 0.001, respectively). Low PAX6 Pan-NENs showed a lower portal enhancement ratio than high PAX6 Pan-NENs ( = 0.044). The combination based on enhancement types (iso- or hypoenhancement during arterial and portal phases) and portal enhancement ratio (≤1.22) had 54.5% sensitivity, 92.5% specificity, and 84.3% accuracy in identifying low PAX6 Pan-NENs. Dynamic CT features, including iso- or hypoenhancement types in the arterial and portal phases and lower portal enhancement ratio may help predict Pan-NENs with low PAX6 expression.

摘要

配对盒基因6(PAX6)是一种转录因子,在肿瘤抑制中起关键作用,这意味着PAX6的下调会促进肿瘤生长和侵袭性。本研究旨在探讨动态计算机断层扫描(CT)特征对预测低PAX6表达的胰腺神经内分泌肿瘤(Pan-NENs)的价值。我们回顾性评估了51例无同步肝转移的Pan-NENs患者,以评估PAX6的病理表达。两名放射科医生分析术前动态CT图像以确定形态学特征和强化模式。我们比较了低PAX6表达组和高PAX6表达组的CT表现。病理分析分别确定了11例低PAX6表达患者和40例高PAX6表达患者。动脉期和门脉期等密度或低密度强化类型与低PAX6表达显著相关(分别为P = 0.009;P = 0.001)。低PAX6的Pan-NENs的门脉强化率低于高PAX6的Pan-NENs(P = 0.044)。基于强化类型(动脉期和门脉期等密度或低密度强化)和门脉强化率(≤1.22)的联合诊断在识别低PAX6的Pan-NENs时,敏感性为54.5%,特异性为92.5%,准确性为84.3%。动态CT特征,包括动脉期和门脉期等密度或低密度强化类型以及较低的门脉强化率,可能有助于预测低PAX6表达的Pan-NENs。

https://cdn.ncbi.nlm.nih.gov/pmc/blobs/3adf/7695321/791ab8b055d9/diagnostics-10-00919-g001.jpg

文献检索

告别复杂PubMed语法,用中文像聊天一样搜索,搜遍4000万医学文献。AI智能推荐,让科研检索更轻松。

立即免费搜索

文件翻译

保留排版,准确专业,支持PDF/Word/PPT等文件格式,支持 12+语言互译。

免费翻译文档

深度研究

AI帮你快速写综述,25分钟生成高质量综述,智能提取关键信息,辅助科研写作。

立即免费体验