Suppr超能文献

BAP1、Ki-67指数和Id-1在肾透明细胞癌患者中的作用及其与临床特征和预后的相关性。

Effects of BAP1, Ki-67 index, and Id-1 in patients with clear cell renal carcinoma and their correlation with clinical features and prognosis.

作者信息

Yang Jing, Gong Chunyu, Zhao Juan, Chen Lan, Mei Xuefeng, Li Guangsen, Cai Jian

机构信息

Department of Anesthesiology, West China Hospital, Sichuan University & The Research Units of West China (2018RU012), Chinese Academy of Medical Sciences, Chengdu, China.

Department of Urology, No. 4 West China Teaching Hospital, Chengdu, China.

出版信息

Transl Androl Urol. 2020 Oct;9(5):2242-2250. doi: 10.21037/tau-20-1258.

Abstract

BACKGROUND

Clear cell renal carcinoma (CCRCC) is a multigene-related tumor. The aim of the present study was to analyze the expression of breast cancer 1-associated protein 1 (BAP1), Ki-67, and inhibitor of differentiation-1 (Id-1) in CCRCC patients and their correlation with clinical features and prognosis.

METHODS

A total of 45 CCRCC patients who were diagnosed and treated at our hospital from January 2016 to January 2018 were included in the present study. BAP1, Ki-67, and Id-1 protein expression in the CCRCC tissue group and adjacent mucosa group was compared. The correlation between BAP1, Ki-67, and Id-1 proteins, and the clinical characteristics and the prognosis of CCRCC patients, were analyzed. Multiple logistic regression was used to analyze the risk factors that affect the prognosis of CCRCC patients.

RESULTS

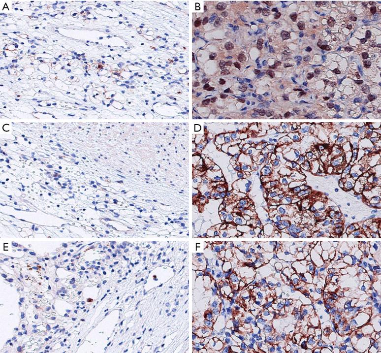
The negative rate of BAP1 in the CCRCC group was higher than that in the adjacent mucosa group. There were more patients with a Ki-67 index >10 and a higher Id-1-positive rate in the CCRCC tissue group. BAP-1, Ki-67 index, and Id-1 protein expression were not correlated with age, sex, surgical method, microscopic necrosis, and degree of sarcomatoid characteristics of CCRCC patients (P>0.05), but were related to tumor diameter, pathological stage, TNM stage, and World Health Organization (WHO)/Internal Society of Urologic Pathology (ISUP) grade. The Kaplan-Meier survival curve showed that the average survival time of the BAP1-negative group, Ki-67 index >10 group, and Id-1 protein-positive group was shorter than that of the BAP1-positive group, Ki-67 index ≤10 group, and Id-1 protein-negative group, respectively. Pathological staging, WHO/ISUP classification, negative BAP1, Ki-67 index >10, and positive Id-1 protein were independent risk factors affecting CCRCC patients (P<0.05).

CONCLUSIONS

The expression of BAP1 in CCRCC patients decreased, and the expression of Ki-67 and Id-1 protein increased. Abnormal expression levels of BAP1, Ki-67, and Id-1 proteins were involved in the occurrence and development of CCRCC, and closely related to the prognosis of patients. These can be used as molecular markers for predicting the prognosis of CCRCC patients and as potential targets for tumor treatment.

摘要

背景

透明细胞肾细胞癌(CCRCC)是一种多基因相关肿瘤。本研究旨在分析乳腺癌1相关蛋白1(BAP1)、Ki-67和分化抑制因子1(Id-1)在CCRCC患者中的表达情况及其与临床特征和预后的相关性。

方法

本研究纳入了2016年1月至2018年1月在我院诊断并接受治疗的45例CCRCC患者。比较CCRCC组织组和相邻黏膜组中BAP1、Ki-67和Id-1蛋白的表达情况。分析BAP1、Ki-67和Id-1蛋白与CCRCC患者临床特征及预后的相关性。采用多因素logistic回归分析影响CCRCC患者预后的危险因素。

结果

CCRCC组中BAP1的阴性率高于相邻黏膜组。CCRCC组织组中Ki-67指数>10的患者更多,Id-1阳性率更高。BAP-1、Ki-67指数和Id-1蛋白表达与CCRCC患者的年龄、性别、手术方式、镜下坏死及肉瘤样特征程度无关(P>0.05),但与肿瘤直径、病理分期、TNM分期及世界卫生组织(WHO)/国际泌尿病理学会(ISUP)分级有关。Kaplan-Meier生存曲线显示,BAP1阴性组、Ki-67指数>10组和Id-1蛋白阳性组的平均生存时间分别短于BAP1阳性组、Ki-67指数≤10组和Id-1蛋白阴性组。病理分期、WHO/ISUP分级、BAP1阴性、Ki-67指数>10和Id-1蛋白阳性是影响CCRCC患者的独立危险因素(P<0.05)。

结论

CCRCC患者中BAP1表达降低,Ki-67和Id-1蛋白表达升高。BAP1、Ki-67和Id-1蛋白的异常表达水平参与了CCRCC的发生发展,且与患者预后密切相关。这些可作为预测CCRCC患者预后的分子标志物及肿瘤治疗的潜在靶点。

https://cdn.ncbi.nlm.nih.gov/pmc/blobs/7db5/7658141/8ff0deffa8bb/tau-09-05-2242-f1.jpg

文献检索

告别复杂PubMed语法,用中文像聊天一样搜索,搜遍4000万医学文献。AI智能推荐,让科研检索更轻松。

立即免费搜索

文件翻译

保留排版,准确专业,支持PDF/Word/PPT等文件格式,支持 12+语言互译。

免费翻译文档

深度研究

AI帮你快速写综述,25分钟生成高质量综述,智能提取关键信息,辅助科研写作。

立即免费体验