Suppr超能文献

利司扑兰治疗并未导致脊髓性肌萎缩症患者的视网膜毒性。

Risdiplam treatment has not led to retinal toxicity in patients with spinal muscular atrophy.

机构信息

Department of Neuro-Ophthalmology, Wills Eye Hospital, Philadelphia, USA.

Annesley EyeBrain Center, Thomas Jefferson University, Philadelphia, USA.

出版信息

Ann Clin Transl Neurol. 2021 Jan;8(1):54-65. doi: 10.1002/acn3.51239. Epub 2020 Nov 24.

Abstract

OBJECTIVE

Evaluation of ophthalmologic safety with focus on retinal safety in patients with spinal muscular atrophy (SMA) treated with risdiplam (EVRYSDI®), a survival of motor neuron 2 splicing modifier associated with retinal toxicity in monkeys. Risdiplam was approved recently for the treatment of patients with SMA, aged ≥ 2 months in the United States, and is currently under Health Authority review in the EU.

METHODS

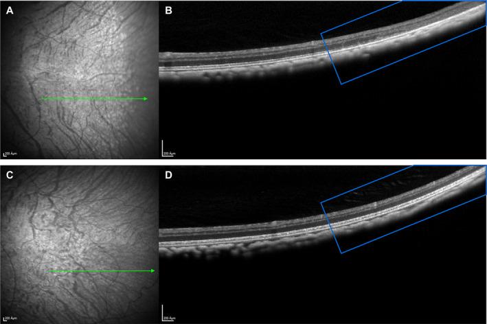
Subjects included patients with SMA aged 2 months-60 years enrolled in the FIREFISH, SUNFISH, and JEWELFISH clinical trials for risdiplam. Ophthalmologic assessments, including functional assessments (age-appropriate visual acuity and visual field) and imaging (spectral domain optical coherence tomography [SD-OCT], fundus photography, and fundus autofluorescence [FAF]), were conducted at baseline and every 2-6 months depending on study and assessment. SD-OCT, FAF, fundus photography, and threshold perimetry were evaluated by an independent, masked reading center. Adverse events (AEs) were reported throughout the study.

RESULTS

A total of 245 patients receiving risdiplam were assessed. Comprehensive, high-quality, ophthalmologic monitoring assessing retinal structure and visual function showed no retinal structural or functional changes. In the youngest patients, SD-OCT findings of normal retinal maturation were observed. AEs involving eye disorders were not suggestive of risdiplam-induced toxicity and resolved with ongoing treatment.

INTERPRETATION

Extensive ophthalmologic monitoring conducted in studies in patients with SMA confirmed that risdiplam does not induce ophthalmologic toxicity in pediatric or adult patients with SMA at the therapeutic dose. These results suggest that safety ophthalmologic monitoring is not needed in patients receiving risdiplam, as also reflected in the United States Prescribing Information for risdiplam.

摘要

目的

评估 risdiplam(EVRYSDI®)治疗脊髓性肌萎缩症(SMA)患者的眼科安全性,重点关注视网膜安全性。risdiplam 是一种运动神经元 2 剪接修饰物,与猴子的视网膜毒性相关。risdiplam 最近在美国获得批准,用于治疗 2 个月及以上患有 SMA 的患者,目前正在欧盟的卫生当局审查中。

方法

FIREFISH、SUNFISH 和 JEWELFISH 临床试验纳入了年龄在 2 个月至 60 岁的 SMA 患者,对他们进行了 risdiplam 的眼科评估,包括功能评估(适当年龄的视力和视野)和影像学评估(谱域光学相干断层扫描[SD-OCT]、眼底照相和眼底自发荧光[FAF]),根据研究和评估的情况,每 2-6 个月进行一次。SD-OCT、FAF、眼底照相和阈值视野检查由一个独立的、盲法的阅读中心进行评估。整个研究期间均报告了不良事件(AE)。

结果

共评估了 245 例接受 risdiplam 治疗的患者。全面、高质量的眼科监测评估视网膜结构和视觉功能,未发现视网膜结构或功能变化。在最小的患者中,观察到正常视网膜成熟的 SD-OCT 发现。与眼部疾病相关的 AE 不提示 risdiplam 诱导的毒性,且随着持续治疗而缓解。

解释

在 SMA 患者的研究中进行的广泛眼科监测证实,risdiplam 在治疗剂量下不会引起 SMA 儿科或成年患者的眼科毒性。这些结果表明,接受 risdiplam 治疗的患者不需要进行安全性眼科监测,这也反映在美国 risdiplam 的处方信息中。

https://cdn.ncbi.nlm.nih.gov/pmc/blobs/729d/7818230/498b4ed84741/ACN3-8-54-g001.jpg

文献检索

告别复杂PubMed语法,用中文像聊天一样搜索,搜遍4000万医学文献。AI智能推荐,让科研检索更轻松。

立即免费搜索

文件翻译

保留排版,准确专业,支持PDF/Word/PPT等文件格式,支持 12+语言互译。

免费翻译文档

深度研究

AI帮你快速写综述,25分钟生成高质量综述,智能提取关键信息,辅助科研写作。

立即免费体验