• 文献检索
  • 文档翻译
  • 深度研究
  • 学术资讯
  • Suppr Zotero 插件Zotero 插件
  • 邀请有礼
  • 套餐&价格
  • 历史记录
应用&插件
Suppr Zotero 插件Zotero 插件浏览器插件Mac 客户端Windows 客户端微信小程序
定价
高级版会员购买积分包购买API积分包
服务
文献检索文档翻译深度研究API 文档MCP 服务
关于我们
关于 Suppr公司介绍联系我们用户协议隐私条款
关注我们

Suppr 超能文献

核心技术专利:CN118964589B侵权必究
粤ICP备2023148730 号-1Suppr @ 2026

文献检索

告别复杂PubMed语法,用中文像聊天一样搜索,搜遍4000万医学文献。AI智能推荐,让科研检索更轻松。

立即免费搜索

文件翻译

保留排版,准确专业,支持PDF/Word/PPT等文件格式,支持 12+语言互译。

免费翻译文档

深度研究

AI帮你快速写综述,25分钟生成高质量综述,智能提取关键信息,辅助科研写作。

立即免费体验

含膀胱的嵌顿性腹股沟阴囊疝:病例报告

Urinary bladder-containing incarcerated inguinoscrotal hernia: a case report.

作者信息

Karanikas Michael, Kofina Konstantinia, Foutzitzi Soultana, Deftereos Savas, Effraemidou Eleni, Lyratzopoulos Nikolaos, Polychronidis Alexandros

机构信息

1st University Surgical Department, University Hospital of Alexandropoulis, Democritus University of Thrace, Alexandroupolis, Greece.

Department of Radiology, University Hospital of Alexandropoulis, Democritus University of Thrace, Alexandroupolis, Greece.

出版信息

J Surg Case Rep. 2020 Nov 25;2020(11):rjaa092. doi: 10.1093/jscr/rjaa092. eCollection 2020 Nov.

DOI:10.1093/jscr/rjaa092
PMID:33269067
原文链接:https://pmc.ncbi.nlm.nih.gov/articles/PMC7688249/
Abstract

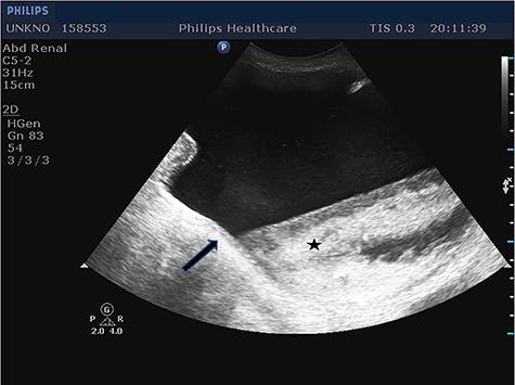
Inguinoscrotal hernia containing the urinary bladder is a rare entity found in 1-4% of inguinal hernias, while patients rarely present symptoms of urinary dysfunction. We present the case of a 79-year-old Caucasian male with acute renal dysfunction and incarcerated inguinoscrotal hernia containing the entire urinary bladder. The patient presented in the surgical emergency department due to an incarcerated right inguinoscrotal hernia and deteriorated renal function. Preoperatively, ultrasound imaging was performed, which showed the presence of the whole bladder in the hernia sac. The bladder was repositioned to its anatomic position and hernia was repaired through a modified Lichtenstein technique. In patients with inguinoscrotal hernia and acute urinary tract symptoms, surgeons should be aware of the possibility of inguinal bladder hernia. Preoperative imaging can help in preventing intraoperative bladder damage.

摘要

包含膀胱的腹股沟阴囊疝是一种罕见的疾病,在腹股沟疝中占1%-4%,而患者很少出现排尿功能障碍的症状。我们报告一例79岁的白种男性病例,该患者患有急性肾功能不全,其腹股沟阴囊疝嵌顿并包含整个膀胱。患者因右侧腹股沟阴囊疝嵌顿及肾功能恶化就诊于外科急诊。术前进行了超声检查,结果显示疝囊内存在整个膀胱。将膀胱复位至其解剖位置,并通过改良的Lichtenstein技术修复疝。对于患有腹股沟阴囊疝和急性尿路症状的患者,外科医生应意识到腹股沟膀胱疝的可能性。术前影像学检查有助于预防术中膀胱损伤。

https://cdn.ncbi.nlm.nih.gov/pmc/blobs/ab07/7688249/10f070ef91b6/rjaa092f2.jpg
https://cdn.ncbi.nlm.nih.gov/pmc/blobs/ab07/7688249/89808780c796/rjaa092f1.jpg
https://cdn.ncbi.nlm.nih.gov/pmc/blobs/ab07/7688249/10f070ef91b6/rjaa092f2.jpg
https://cdn.ncbi.nlm.nih.gov/pmc/blobs/ab07/7688249/89808780c796/rjaa092f1.jpg
https://cdn.ncbi.nlm.nih.gov/pmc/blobs/ab07/7688249/10f070ef91b6/rjaa092f2.jpg

相似文献

1
Urinary bladder-containing incarcerated inguinoscrotal hernia: a case report.含膀胱的嵌顿性腹股沟阴囊疝:病例报告
J Surg Case Rep. 2020 Nov 25;2020(11):rjaa092. doi: 10.1093/jscr/rjaa092. eCollection 2020 Nov.
2
Inguinal hernia containing urinary bladder-A case report.腹股沟疝合并膀胱——病例报告
Int J Surg Case Rep. 2017;40:36-38. doi: 10.1016/j.ijscr.2017.08.046. Epub 2017 Sep 5.
3
Inguinoscrotal Hernia of the Urinary Bladder.膀胱腹股沟阴囊疝
Cureus. 2024 Mar 21;16(3):e56636. doi: 10.7759/cureus.56636. eCollection 2024 Mar.
4
Inguinal Bladder and Ureter Hernia : Definition of a Rare Clinical Entity and Case Report.腹股沟膀胱和输尿管疝:一种罕见临床实体的定义及病例报告
Case Rep Surg. 2018 Sep 30;2018:9705728. doi: 10.1155/2018/9705728. eCollection 2018.
5
Giant inguinoscrotal hernia containing intestinal segments and urinary bladder successfully repaired by simple hernioplasty technique: a case report.采用简单疝修补术成功修复包含肠段和膀胱的巨大腹股沟阴囊疝:病例报告
J Med Case Rep. 2015 Nov 28;9:276. doi: 10.1186/s13256-015-0759-5.
6
Multiple Secondary Vesical Calculi in a Large Incarcerated Inguinoscrotal Bladder Hernia.巨大嵌顿性腹股沟阴囊膀胱疝合并多发继发性膀胱结石
J Endourol Case Rep. 2020 Dec 29;6(4):487-489. doi: 10.1089/cren.2020.0143. eCollection 2020.
7
Incarcerated vesico-inguinal hernia: a case report.
Acta Chir Belg. 2009 Nov-Dec;109(6):815-7. doi: 10.1080/00015458.2009.11680547.
8
An inguinal bladder diverticulum Case report of a rare finding in a recurrent inguinal hernia.
Ann Ital Chir. 2012 Oct 26;2012:S2239253X12019810.
9
Incarcerated inguinal hernia containing urinary bladder and bladder calculi.嵌顿性腹股沟疝,包含膀胱及膀胱结石。
J Surg Case Rep. 2023 Jan 24;2023(1):rjad010. doi: 10.1093/jscr/rjad010. eCollection 2023 Jan.
10
Repair of an inguinoscrotal hernia containing the urinary bladder: a case report.含膀胱的腹股沟阴囊疝修补术:一例报告
J Med Case Rep. 2012 Mar 26;6:90. doi: 10.1186/1752-1947-6-90.

引用本文的文献

1
Herniation of the Urinary Bladder Into the Scrotal Sac With Intrascrotal Perforation: A Report of a Rare Case.膀胱疝入阴囊并阴囊内穿孔:1例罕见病例报告
Cureus. 2024 Sep 17;16(9):e69574. doi: 10.7759/cureus.69574. eCollection 2024 Sep.
2
Incidental Duplicate Vas Deferens Discovered During Inguinal Hernia Repair With Incarcerated Bladder.在伴有膀胱嵌顿的腹股沟疝修补术中偶然发现重复输精管。
Cureus. 2024 Jul 23;16(7):e65167. doi: 10.7759/cureus.65167. eCollection 2024 Jul.
3
A Case of Asymptomatic Massive Inguinoscrotal Bladder in Acute Renal Failure.

本文引用的文献

1
Inguinal hernia with complete urinary bladder herniation: a case report and review of the literature.腹股沟疝伴膀胱完全疝出:一例病例报告及文献复习
J Surg Case Rep. 2020 Jan 2;2020(1):rjz321. doi: 10.1093/jscr/rjz321. eCollection 2020 Jan.
2
Bilateral inguinal bladder hernia following unilateral transabdominal preperitoneal repair. A case report and review of the literature.单侧经腹腹膜前修补术后双侧腹股沟膀胱疝。一例病例报告及文献复习。
Ann Med Surg (Lond). 2019 Aug 21;46:23-26. doi: 10.1016/j.amsu.2019.08.005. eCollection 2019 Oct.
3
Inguinal bladder hernia: A case report and literature review.
急性肾衰竭伴无症状性巨大腹股沟阴囊膀胱1例。
Cureus. 2023 Aug 8;15(8):e43139. doi: 10.7759/cureus.43139. eCollection 2023 Aug.
4
Inguinal Bladder Hernia (IBH) managed by Lichtenstein technique: A case report.采用李金斯坦技术治疗腹股沟膀胱疝:一例报告。
Int J Surg Case Rep. 2022 Oct;99:107617. doi: 10.1016/j.ijscr.2022.107617. Epub 2022 Sep 13.
腹股沟膀胱疝:一例病例报告及文献综述
Int J Surg Case Rep. 2019;58:208-211. doi: 10.1016/j.ijscr.2019.04.040. Epub 2019 May 3.
4
Diagnosis and treatment of inguinal hernia of the bladder: a systematic review of the past 10 years.膀胱腹股沟疝的诊断与治疗:过去十年的系统评价
Turk J Urol. 2018 Sep;44(5):384-388. doi: 10.5152/tud.2018.46417. Epub 2018 Sep 1.
5
Large sliding inguino-scrotal hernia of the urinary bladder: A case report and literature review.巨大滑动性膀胱腹股沟阴囊疝:一例报告并文献复习
Medicine (Baltimore). 2018 Mar;97(13):e9998. doi: 10.1097/MD.0000000000009998.
6
Obstructive uropathy from complete bladder and bilateral ureteral incarceration within an inguinal hernia.腹股沟疝内膀胱完全及双侧输尿管嵌顿所致的梗阻性尿路病
BMJ Case Rep. 2018 Feb 27;2018:bcr-2017-222637. doi: 10.1136/bcr-2017-222637.
7
Inguinal hernia containing urinary bladder-A case report.腹股沟疝合并膀胱——病例报告
Int J Surg Case Rep. 2017;40:36-38. doi: 10.1016/j.ijscr.2017.08.046. Epub 2017 Sep 5.
8
[Inguinal hernia of the bladder: about 8 cases].[膀胱腹股沟疝:约8例]
Pan Afr Med J. 2015 Sep 4;22:7. doi: 10.11604/pamj.2015.22.7.7474. eCollection 2015.