• 文献检索
  • 文档翻译
  • 深度研究
  • 学术资讯
  • Suppr Zotero 插件Zotero 插件
  • 邀请有礼
  • 套餐&价格
  • 历史记录
应用&插件
Suppr Zotero 插件Zotero 插件浏览器插件Mac 客户端Windows 客户端微信小程序
定价
高级版会员购买积分包购买API积分包
服务
文献检索文档翻译深度研究API 文档MCP 服务
关于我们
关于 Suppr公司介绍联系我们用户协议隐私条款
关注我们

Suppr 超能文献

核心技术专利:CN118964589B侵权必究
粤ICP备2023148730 号-1Suppr @ 2026

文献检索

告别复杂PubMed语法,用中文像聊天一样搜索,搜遍4000万医学文献。AI智能推荐,让科研检索更轻松。

立即免费搜索

文件翻译

保留排版,准确专业,支持PDF/Word/PPT等文件格式,支持 12+语言互译。

免费翻译文档

深度研究

AI帮你快速写综述,25分钟生成高质量综述,智能提取关键信息,辅助科研写作。

立即免费体验

破裂性前循环颅内动脉瘤出血量大的危险因素

Risk Factors for Higher Volume of Hemorrhage in Ruptured Anterior Circulation Intracranial Aneurysms.

作者信息

Ya Xiaolong, Zhang Chaoqi, Liu Jichao, Zhang Shuo, Zhang Qian, Wang Shuo, Cao Yong, Zhao Jizong

机构信息

Department of Neurosurgery, Beijing Tiantan Hospital, Capital Medical University, Beijing, China.

Beijing Tiantan Hospital, Capital Medical University, Beijing, China.

出版信息

Front Surg. 2020 Nov 12;7:587790. doi: 10.3389/fsurg.2020.587790. eCollection 2020.

DOI:10.3389/fsurg.2020.587790
PMID:33282906
原文链接:https://pmc.ncbi.nlm.nih.gov/articles/PMC7688892/
Abstract

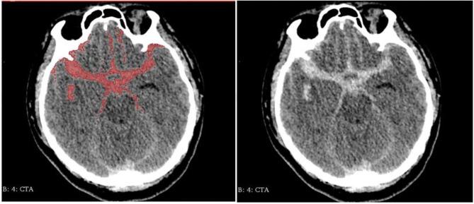
To explore the influencing factors of volume hemorrhage in ruptured anterior circulation aneurysms, so as to identify the characteristics of anterior circulation aneurysms with high volume of hemorrhage, and to provide advice for clinical diagnosis and treatment for those aneurysms. We retrospectively reviewed 437 cases of ruptured anterior intracranial aneurysms in our center between the years 2012 and 2017. According to the inclusion criteria, a total of 100 qualified patients were screened out. We collected demographic characteristics, environmental exposure, and admission status of enrolled patients. In addition, morphological parameters and location of aneurysms were also included. The semiautomatic threshold method was used to measure the volume of hemorrhage. According to the results, the patients were divided into the group with high blood volume and low blood volume. Univariate and multivariate logistic regression analyses were used to discover the related factors affecting the bleeding volume. In univariable analysis, pulse pressure ( = 0.014) showed a significant difference at the < 0.05 test level. In terms of aneurysm morphology, the irregular shape ( < 0.001), calcification ( = 0.001), and flow angle ( = 0.006) showed significant statistical differences between the two groups at the < 0.01 level ( < 0.01). Multivariate logistic regression analysis showed that irregular shape (OR = 5.370 = 0.002 < 0.05), large flow angle (OR = 1.033 = 0.016 < 0.05), and calcification (OR = 5.460 = 0.003 < 0.05) were risk factors for volume of hemorrhage in ruptured anterior circulation aneurysms. The influence of hypertension history was at critical state (OR = 2.877 = 0.051 > 005). According to our analysis results, intracranial anterior circulation aneurysms with irregular shapes, calcifications, and large flow angle are more dangerous. Aneurysms with these characteristics often have a large amount of hemorrhage, requiring timely treatment in clinical practice.

摘要

为探讨破裂前循环动脉瘤出血量的影响因素,以明确高出血量前循环动脉瘤的特征,并为这些动脉瘤的临床诊断和治疗提供建议。我们回顾性分析了2012年至2017年间本中心437例破裂的颅内前循环动脉瘤病例。根据纳入标准,共筛选出100例合格患者。我们收集了入选患者的人口统计学特征、环境暴露情况及入院状态。此外,还纳入了动脉瘤的形态学参数和位置。采用半自动阈值法测量出血量。根据结果,将患者分为高出血量组和低出血量组。采用单因素和多因素logistic回归分析来发现影响出血量的相关因素。在单因素分析中,脉压(P = 0.014)在P < 0.05检验水准上显示出显著差异。在动脉瘤形态方面,不规则形状(P < 0.001)、钙化(P = 0.001)和血流角度(P = 0.006)在两组间P < 0.01水平上显示出显著统计学差异(P < 0.01)。多因素logistic回归分析显示,不规则形状(OR = 5.370,P = 0.002,P < 0.05)、大血流角度(OR = 1.033,P = 0.016,P < 0.05)和钙化(OR = 5.460,P = 0.003,P < 0.05)是破裂前循环动脉瘤出血量的危险因素。高血压病史的影响处于临界状态(OR = 2.877,P = 0.051,P > 0.05)。根据我们的分析结果,形状不规则、有钙化且血流角度大的颅内前循环动脉瘤更危险。具有这些特征的动脉瘤往往出血量较大,临床实践中需要及时治疗。

https://cdn.ncbi.nlm.nih.gov/pmc/blobs/c46c/7688892/9f3b243836b9/fsurg-07-587790-g0004.jpg
https://cdn.ncbi.nlm.nih.gov/pmc/blobs/c46c/7688892/f6d16d25122d/fsurg-07-587790-g0001.jpg
https://cdn.ncbi.nlm.nih.gov/pmc/blobs/c46c/7688892/bd01543be82a/fsurg-07-587790-g0002.jpg
https://cdn.ncbi.nlm.nih.gov/pmc/blobs/c46c/7688892/ad311933f7c4/fsurg-07-587790-g0003.jpg
https://cdn.ncbi.nlm.nih.gov/pmc/blobs/c46c/7688892/9f3b243836b9/fsurg-07-587790-g0004.jpg
https://cdn.ncbi.nlm.nih.gov/pmc/blobs/c46c/7688892/f6d16d25122d/fsurg-07-587790-g0001.jpg
https://cdn.ncbi.nlm.nih.gov/pmc/blobs/c46c/7688892/bd01543be82a/fsurg-07-587790-g0002.jpg
https://cdn.ncbi.nlm.nih.gov/pmc/blobs/c46c/7688892/ad311933f7c4/fsurg-07-587790-g0003.jpg
https://cdn.ncbi.nlm.nih.gov/pmc/blobs/c46c/7688892/9f3b243836b9/fsurg-07-587790-g0004.jpg

相似文献

1
Risk Factors for Higher Volume of Hemorrhage in Ruptured Anterior Circulation Intracranial Aneurysms.破裂性前循环颅内动脉瘤出血量大的危险因素
Front Surg. 2020 Nov 12;7:587790. doi: 10.3389/fsurg.2020.587790. eCollection 2020.
2
Patient and aneurysm characteristics associated with rupture risk of multiple intracranial aneurysms in the anterior circulation system.前循环系统中与多发性颅内动脉瘤破裂风险相关的患者及动脉瘤特征。
Acta Neurochir (Wien). 2016 Jul;158(7):1367-75. doi: 10.1007/s00701-016-2826-0. Epub 2016 May 10.
3
Demographic and morphological characteristics associated with rupture status of anterior communicating artery aneurysms.与前交通动脉瘤破裂状态相关的人口统计学和形态学特征。
Neurosurg Rev. 2020 Apr;43(2):589-595. doi: 10.1007/s10143-019-01080-w. Epub 2019 Jan 31.
4
Influence of morphology and hemodynamic factors on rupture of multiple intracranial aneurysms: matched-pairs of ruptured-unruptured aneurysms located unilaterally on the anterior circulation.形态学和血流动力学因素对多发性颅内动脉瘤破裂的影响:位于前循环单侧的破裂与未破裂动脉瘤配对研究。
BMC Neurol. 2014 Dec 31;14:253. doi: 10.1186/s12883-014-0253-5.
5
Bifurcation Location and Growth of Aneurysm Size Are Significantly Associated with an Irregular Shape of Unruptured Intracranial Aneurysms.动脉瘤的分叉位置和大小增长与未破裂颅内动脉瘤的不规则形状显著相关。
World Neurosurg. 2017 Nov;107:255-262. doi: 10.1016/j.wneu.2017.07.063. Epub 2017 Jul 20.
6
Difference in aneurysm characteristics between ruptured and unruptured aneurysms in patients with multiple intracranial aneurysms.多发性颅内动脉瘤患者破裂与未破裂动脉瘤的特征差异。
Stroke. 2014 May;45(5):1299-303. doi: 10.1161/STROKEAHA.113.004421. Epub 2014 Mar 20.
7
Dynamic Volume Change Rate and Aspect Ratio Are Correlated to the Formation of an Irregular Morphology of Unruptured Intracranial Aneurysm.动态体积变化率和纵横比与未破裂颅内动脉瘤不规则形态的形成相关。
J Comput Assist Tomogr. 2019 Mar/Apr;43(2):294-299. doi: 10.1097/RCT.0000000000000813.
8
Bifurcation Location Is Significantly Associated with Rupture of Small Intracranial Aneurysms (<5 mm).分叉位置与小型颅内动脉瘤(<5毫米)破裂显著相关。
World Neurosurg. 2017 Feb;98:538-545. doi: 10.1016/j.wneu.2016.11.055. Epub 2016 Nov 22.
9
Differences in simple morphological variables in ruptured and unruptured middle cerebral artery aneurysms.破裂与未破裂大脑中动脉动脉瘤的简单形态学变量差异。
J Neurosurg. 2012 Nov;117(5):913-9. doi: 10.3171/2012.7.JNS111766. Epub 2012 Sep 7.
10
Endovascular treatment of very small and very large ruptured aneurysms of the anterior cerebral circulation: a single-center experience.前循环极小型和大型破裂动脉瘤的血管内治疗:单中心经验。
Cerebrovasc Dis. 2013;35(3):235-40. doi: 10.1159/000347078. Epub 2013 Mar 19.

本文引用的文献

1
Small ruptured intracranial aneurysms: the risk of massive bleeding and rebleeding.小型破裂颅内动脉瘤:大出血和再出血的风险
Neurol Res. 2019 Apr;41(4):312-318. doi: 10.1080/01616412.2018.1563737. Epub 2019 Jan 13.
2
A retrospective comparison of sac and lobe morphology between ruptured and unruptured intracranial aneurysms.破裂与未破裂颅内动脉瘤囊和叶形态的回顾性比较。
J Clin Neurosci. 2019 Feb;60:88-92. doi: 10.1016/j.jocn.2018.09.025. Epub 2018 Oct 9.
3
Morphological Variables Associated With Ruptured Middle Cerebral Artery Aneurysms.
与破裂大脑中动脉动脉瘤相关的形态学变量。
Neurosurgery. 2019 Jul 1;85(1):75-83. doi: 10.1093/neuros/nyy213.
4
Morphological parameters and anatomical locations associated with rupture status of small intracranial aneurysms.与颅内小动脉瘤破裂状态相关的形态学参数和解剖位置。
Sci Rep. 2018 Apr 24;8(1):6440. doi: 10.1038/s41598-018-24732-1.
5
Prerupture Intracranial Aneurysm Morphology in Predicting Risk of Rupture: A Matched Case-Control Study.破裂前颅内动脉瘤形态学在预测破裂风险中的作用:一项配对病例对照研究。
Neurosurgery. 2019 Jan 1;84(1):132-140. doi: 10.1093/neuros/nyy010.
6
On the influence of wall calcification and intraluminal thrombus on prediction of abdominal aortic aneurysm rupture.论管壁钙化和管腔内血栓对腹主动脉瘤破裂预测的影响。
J Vasc Surg. 2018 Apr;67(4):1234-1246.e2. doi: 10.1016/j.jvs.2017.05.086. Epub 2017 Sep 9.
7
Small Cerebral Aneurysms: Can We Identify Patients at Risk for Rupture?
Ann Intern Med. 2017 Jul 4;167(1):59-60. doi: 10.7326/M17-1215. Epub 2017 Jun 6.
8
Morphology of Ruptured and Unruptured Intracranial Aneurysms.破裂和未破裂颅内动脉瘤的形态学
World Neurosurg. 2017 Mar;99:610-617. doi: 10.1016/j.wneu.2016.12.053. Epub 2016 Dec 23.
9
Risk factors responsible for the volume of hemorrhage in aneurysmal subarachnoid hemorrhage.导致动脉瘤性蛛网膜下腔出血出血量的风险因素。
Neurol India. 2016 Jul-Aug;64(4):686-91. doi: 10.4103/0028-3886.185398.
10
Prognostic Value of the Amount of Bleeding After Aneurysmal Subarachnoid Hemorrhage: A Quantitative Volumetric Study.动脉瘤性蛛网膜下腔出血后出血量的预后价值:一项定量容积研究
Neurosurgery. 2015 Dec;77(6):898-907; discussion 907. doi: 10.1227/NEU.0000000000000927.