Mao Xi Bao, Li Nan, Huang Zao Sheng, Ding Chen Min, Bao Wen Jun, Fan Jing, Li Hai Long
Department of Nuclear Medicine, Changzhou Cancer Hospital, Soochow University, Changzhou 213032, People's Republic of China.
Int J Gen Med. 2020 Dec 2;13:1335-1339. doi: 10.2147/IJGM.S287115. eCollection 2020.
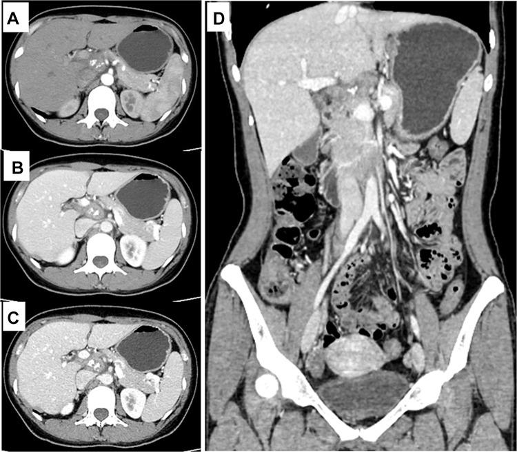
The special location of abdominal tuberculosis makes it difficult for biopsy, while its clinical and imaging characteristics make it indistinguishable from tumors. Here, we report a female patient that was initially misdiagnosed with pancreatic cancer, but eventually correctly diagnosed with tuberculosis in the celiac lymph nodes using F-FDG PET-CT. She was 38 years old. Her main complaint was "deep abdominal pain and discomfort for nearly a month", accompanied by nausea and vomiting. Diagnosis of pancreatic tumors or enlarged lymph nodes was initially made based on CT scan results. Abdominal MRI revealed enlarged lymph nodes. F-FDG PET-CT imaging revealed a soft-tissue mass about 2.8 cm in diameter in the hepatic hilar area with a maximum standardized uptake value (SUV) of 9.4, and delayed imaging measured the SUV at 12. Enhanced CT showed no vascular envelopment in the mass. Based on these results, the patient was diagnosed with tuberculosis in the celiac lymph nodes. Her tuberculin test was strongly positive. After 5 months of antituberculosis treatment, the mass had reduced to about 1.5 cm in diameter and SUV reduced to 8.1, as demonstrated by F-FDG PET-CT imaging. Abdominal lymph-node tuberculosis is easy to misdiagnose, but timely F-FDG PET-CT imaging combined with tuberculin testing may reduce misdiagnosis and mistreatment.
腹部结核的特殊部位使其活检困难,而其临床和影像学特征又使其难以与肿瘤区分开来。在此,我们报告一名女性患者,最初被误诊为胰腺癌,但最终通过F-FDG PET-CT正确诊断为腹腔淋巴结结核。她38岁。主要诉求为“近一个月来上腹部深部疼痛不适”,伴有恶心、呕吐。最初根据CT扫描结果诊断为胰腺肿瘤或肿大淋巴结。腹部MRI显示淋巴结肿大。F-FDG PET-CT成像显示肝门区有一个直径约2.8 cm的软组织肿块,最大标准化摄取值(SUV)为9.4,延迟显像时SUV为12。增强CT显示肿块无血管包绕。基于这些结果,患者被诊断为腹腔淋巴结结核。其结核菌素试验呈强阳性。经过5个月的抗结核治疗,F-FDG PET-CT成像显示肿块直径缩小至约1.5 cm,SUV降至8.1。腹部淋巴结结核容易误诊,但及时进行F-FDG PET-CT成像并结合结核菌素试验可能会减少误诊和误治。