Suppr超能文献

与无功能垂体腺瘤相关的假性肢端肥大症

Pseudoacromegaly Associated with Non-Functioning Pituitary Adenoma.

作者信息

Alotaibi Awatef, Habib Ahmad, Osman Moutaz, Alzahrani Khaled, Alzahrani Faisal

机构信息

Department of Endocrinology, King Fahad Military Medical Complex, Dhahran, Saudi Arabia.

Department of Neurosurgery, King Fahad Military Medical Complex, Dhahran, Saudi Arabia.

出版信息

Eur J Case Rep Intern Med. 2020 Oct 9;7(12):001950. doi: 10.12890/2020_001950. eCollection 2020.

Abstract

UNLABELLED

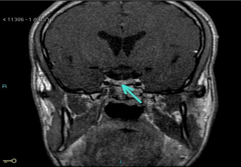
Acromegaly is characterized by excess skin and soft tissue growth due to increased growth hormone (GH) levels. Patients with similar physical findings but without somatotroph axis abnormalities are considered to have pseudoacromegaly. The list of pseudoacromegaly differential diagnoses is long. It may be caused by several congenital and acquired conditions and diagnosis can be challenging due to its rarity and occasional overlapping of some of these conditions. The presence of a pituitary tumour in such cases may lead to a misdiagnosis of acromegaly, and thus, biochemical evaluation is key. Here, we present a case of pseudoacromegaly with an acromegaloid phenotype, normal IGF levels, a supressed GH response to an oral glucose tolerance test, moderate insulin resistance and non-functioning pituitary microadenoma.

LEARNING POINTS

There are several conditions that present with clinical aspects of acromegaly or gigantism but without growth hormone (GH) excess. Such cases are described as "pseudoacromegaly" or "acromegaloidism".In cases of excessive soft tissue growth with normal GH levels, other growth promotors (for example, thyroid hormone, sex hormones, insulin and others) should be taken into consideration.Biochemical confirmation of GH excess in patients presenting with clinical features of acromegaly and pituitary adenoma should always be considered to avoid unnecessary surgeries.

摘要

未标注

肢端肥大症的特征是由于生长激素(GH)水平升高导致皮肤和软组织过度生长。具有相似体格检查结果但无生长激素轴异常的患者被认为患有假性肢端肥大症。假性肢端肥大症的鉴别诊断清单很长。它可能由多种先天性和后天性疾病引起,由于其罕见性以及其中一些疾病偶尔会重叠,诊断可能具有挑战性。在这种情况下存在垂体肿瘤可能导致肢端肥大症的误诊,因此,生化评估是关键。在此,我们报告一例具有肢端肥大样表型、正常胰岛素样生长因子(IGF)水平、口服葡萄糖耐量试验时生长激素反应受抑制、中度胰岛素抵抗和无功能垂体微腺瘤的假性肢端肥大症病例。

学习要点

有几种疾病表现出肢端肥大症或巨人症的临床症状,但无生长激素过多。此类病例被描述为“假性肢端肥大症”或“肢端肥大样症”。在生长激素水平正常但软组织过度生长的病例中,应考虑其他生长促进因子(例如,甲状腺激素、性激素、胰岛素等)。对于表现出肢端肥大症临床特征和垂体腺瘤的患者,应始终考虑进行生长激素过多的生化确认,以避免不必要的手术。

https://cdn.ncbi.nlm.nih.gov/pmc/blobs/b013/7727619/4161d59e8225/1950_Fig1.jpg

文献AI研究员

20分钟写一篇综述,助力文献阅读效率提升50倍。

立即体验

用中文搜PubMed

大模型驱动的PubMed中文搜索引擎

马上搜索

文档翻译

学术文献翻译模型,支持多种主流文档格式。

立即体验