Suppr超能文献

生物桩核与全冠修复:微笑美学的重塑

Biological posts and crown: An esthetic recovery of smile.

作者信息

Tiwari Shilpi, Adarsha M S, Santosh Ashwini, Murthy Chethana S

机构信息

Department of Conservative Dentistry and Endodontics, Vokkaligara Sangha Dental College and Hospital, Bengaluru, Karnataka, India.

出版信息

Dent Res J (Isfahan). 2020 Sep 7;17(5):404-408. eCollection 2020 Sep-Oct.

Abstract

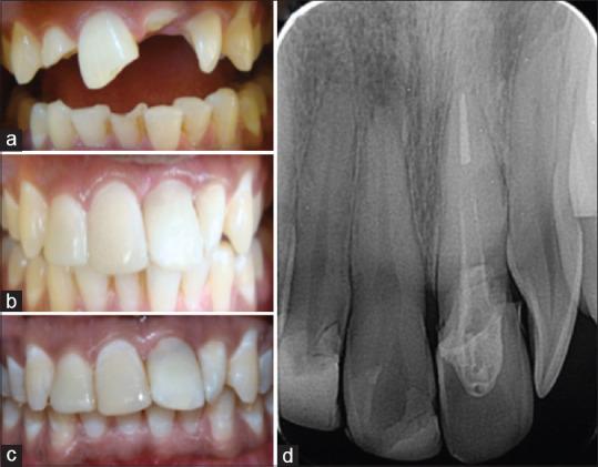
Anterior teeth fracture is a common form of dental trauma that mainly affects children and adolescents. Maxillary incisors are the most commonly affected teeth. Loss of coronal tooth structure might affect esthetics and function. In recent decades, dentistry has shown many scientific and technological advances in restorative materials. However, no synthetic restorative material can replicate the natural tooth structure. Hence, the use of natural tooth as a restorative material has been suggested in literature and is termed as a biological restoration. The present case report represents the successful use of biological post and crown and was adequate with respect to adhesion, function, and esthetics with the follow-up period of 1 year. Hence, it may be concluded that the biological restoration, if feasible, is a cost-effective way to restore a damaged tooth with acceptable esthetics and tooth functions in the stomatognathic system.

摘要

前牙折断是一种常见的牙外伤形式,主要影响儿童和青少年。上颌切牙是最常受影响的牙齿。牙冠结构的丧失可能会影响美观和功能。近几十年来,牙科在修复材料方面取得了许多科学技术进步。然而,没有一种合成修复材料能够复制天然牙齿结构。因此,文献中建议使用天然牙齿作为修复材料,这被称为生物修复。本病例报告展示了生物桩核冠的成功应用,在1年的随访期内,其在粘结、功能和美观方面均表现良好。因此,可以得出结论,如果可行,生物修复是一种在口腔颌面部系统中以可接受的美观和牙齿功能修复受损牙齿的经济有效的方法。

https://cdn.ncbi.nlm.nih.gov/pmc/blobs/2290/7737825/e9200a6ab467/DRJ-17-404-g001.jpg

相似文献

1
Biological posts and crown: An esthetic recovery of smile.
Dent Res J (Isfahan). 2020 Sep 7;17(5):404-408. eCollection 2020 Sep-Oct.
2
"Biological restoration": root canal and coronal reconstruction.
J Esthet Restor Dent. 2010 Jun;22(3):168-77. doi: 10.1111/j.1708-8240.2010.00331.x.
3
Management of Complicated Crown Fracture by Reattachment Using Fiber Post: Minimal Intervention Approach.
J Nat Sci Biol Med. 2018 Jan-Jun;9(1):93-96. doi: 10.4103/jnsbm.JNSBM_98_17.
4
Esthetic recovery of smile using composite resin and "biological posts" and crowns.
J Clin Pediatr Dent. 2012 Winter;37(2):153-6. doi: 10.17796/jcpd.37.2.j388p12047710230.
9
Esthetic Rehabilitation of Retained Primary Teeth-A Conservative Approach.
J Prosthodont. 2019 Jan;28(1):e41-e44. doi: 10.1111/jopr.12602. Epub 2017 Apr 11.

本文引用的文献

1
Biological Restoration of a Fractured Anterior Tooth with the Use of Dentine Pin (Biopins).
Case Rep Dent. 2015;2015:138474. doi: 10.1155/2015/138474. Epub 2015 Dec 8.
2
Characterization of successful root canal treatment.
Braz Dent J. 2014 Jan-Feb;25(1):3-11. doi: 10.1590/0103-6440201302356.
4
"Biological restoration": root canal and coronal reconstruction.
J Esthet Restor Dent. 2010 Jun;22(3):168-77. doi: 10.1111/j.1708-8240.2010.00331.x.
8
Reattachment of anterior teeth fragments: a conservative approach.
J Esthet Restor Dent. 2008;20(1):5-18; discussion 19-20. doi: 10.1111/j.1708-8240.2008.00142.x.

文献AI研究员

20分钟写一篇综述,助力文献阅读效率提升50倍。

立即体验

用中文搜PubMed

大模型驱动的PubMed中文搜索引擎

马上搜索

文档翻译

学术文献翻译模型,支持多种主流文档格式。

立即体验