Limbu Raju, Brar Sabrina, Modayil Prince
St George's University Hospital, London, UK.
J Surg Case Rep. 2020 Dec 7;2020(12):rjaa491. doi: 10.1093/jscr/rjaa491. eCollection 2020 Dec.
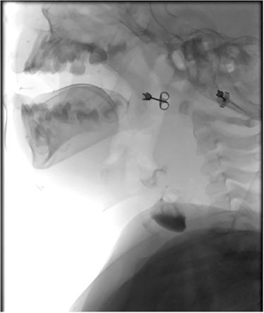
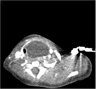
Congenital oesophageal diverticulum is incredibly rare and has not commonly been published in the literature. Oesophageal diverticulum can be asymptomatic; however, symptoms such as dysphagia, regurgitation and chest discomfort may be present. We describe the case of a paediatric patient presenting with biphasic stridor, respiratory distress and cyanosis at birth, who was found to have a supraglottic cyst and later the presence of an oesophageal diverticulum shown on ultrasound imaging. There has been one other case reported in the literature of an oesophageal diverticulum presenting with stridor, and we therefore believe this is one of only two cases to illustrate this atypical presentation of congenital oesophageal diverticulum. It highlights the importance of a meticulous multidisciplinary team approach to patient care, as well as conducting appropriate investigations to aid early diagnosis to improve patient outcomes.
先天性食管憩室极为罕见,在文献中鲜有报道。食管憩室可能无症状;然而,也可能出现吞咽困难、反流和胸部不适等症状。我们描述了一名儿科患者的病例,该患者出生时出现双相性喘鸣、呼吸窘迫和发绀,经检查发现患有声门上囊肿,后来超声成像显示存在食管憩室。文献中还报道过另一例伴有喘鸣的食管憩室病例,因此我们认为这是仅有的两例说明先天性食管憩室这种非典型表现的病例之一。它凸显了多学科团队精心护理患者的重要性,以及进行适当检查以辅助早期诊断从而改善患者预后的重要性。