Suppr超能文献

硬化性苔藓和阴茎尿道鳞状细胞癌的诊治:1 例报告。

The Diagnosis and Treatment of Lichen Sclerosus and Bulbous Urethral Squamous Cell Carcinoma: A Case Report.

机构信息

Shandong First Medical University, Shandong, China.

Rongcheng People's Hospital, Rongcheng, Shandong, China.

出版信息

Am J Mens Health. 2020 Nov-Dec;14(6):1557988320982710. doi: 10.1177/1557988320982710.

Abstract

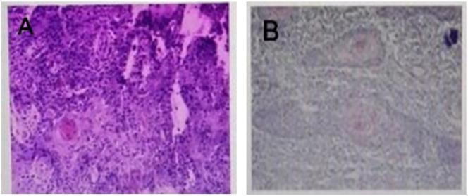
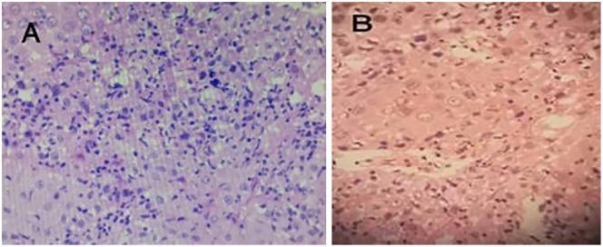
Lichen sclerosus (LS) is a rare disease with malignant potential and has been identified by the European Society of Urology Guidelines as a risk factor for penile squamous cell carcinoma (SCC) cancer. LS combined with urethral squamous cell carcinoma (USCC) is extremely rare. There has been only one case report of this combination in China over the last decade. The prevalence of this combination in East Asian population is unclear. In this report, a 49-year-old patient with the presence of LS, perineal masses, and abscesses was hospitalized. He underwent anti-infectious therapy, meatotomy, perineal abscess incision, and drainage and debridement of the perineal wound. USCC was diagnosed following a series of biopsies and treated with radiation therapy. The patient remains well and alive with no recurrence of USCC 13 months after radiation treatment.

摘要

硬化性苔藓(LS)是一种罕见的具有恶性潜能的疾病,欧洲泌尿外科学会指南已将其确定为阴茎鳞状细胞癌(SCC)的危险因素。LS 合并尿道鳞状细胞癌(USCC)极为罕见。在过去十年中,中国仅有一例这种组合的病例报告。这种组合在东亚人群中的患病率尚不清楚。在本报告中,一名 49 岁的患者患有 LS、会阴肿块和脓肿,入院治疗。他接受了抗感染治疗、切开术、会阴脓肿切开引流和会阴伤口清创术。在一系列活检后诊断为 USCC,并接受放射治疗。患者在放射治疗后 13 个月仍状况良好,无 USCC 复发。

https://cdn.ncbi.nlm.nih.gov/pmc/blobs/392a/7768855/83ea74dddf3a/10.1177_1557988320982710-fig1.jpg

文献检索

告别复杂PubMed语法,用中文像聊天一样搜索,搜遍4000万医学文献。AI智能推荐,让科研检索更轻松。

立即免费搜索

文件翻译

保留排版,准确专业,支持PDF/Word/PPT等文件格式,支持 12+语言互译。

免费翻译文档

深度研究

AI帮你快速写综述,25分钟生成高质量综述,智能提取关键信息,辅助科研写作。

立即免费体验