Suppr超能文献

CD117在各种皮肤黑素细胞性病变中的免疫组织化学研究。

Immunohistochemical study of CD117 in various cutaneous melanocytic lesions.

作者信息

Radu Antonia, Bejenaru Cornelia, Ţolea Ion, Maranduca Minela Aida, Brănişteanu Daniel Constantin, Bejenaru Ludovic Everard, Petrariu Florin Dumitru, Stoleriu Gabriela, Brănişteanu Daciana Elena

机构信息

Department of Pharmaceutical Botany, University of Medicine and Pharmacy of Craiova, Craiova 200349, Romania.

Department of Dermatology, University of Medicine and Pharmacy of Craiova, Craiova 200349, Romania.

出版信息

Exp Ther Med. 2021 Jan;21(1):78. doi: 10.3892/etm.2020.9510. Epub 2020 Nov 26.

Abstract

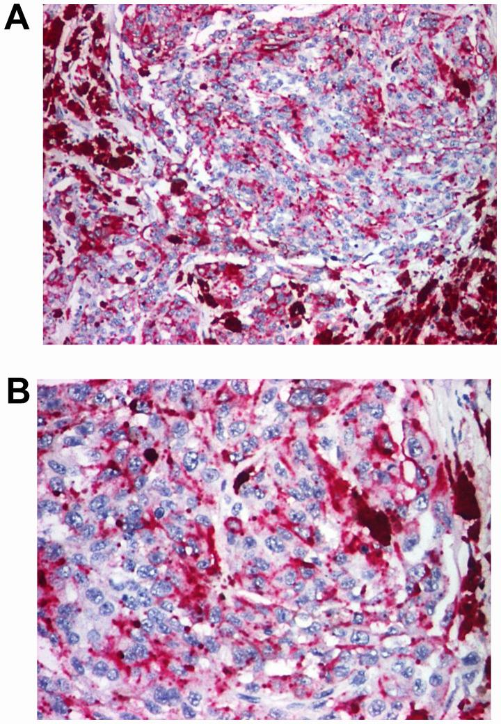
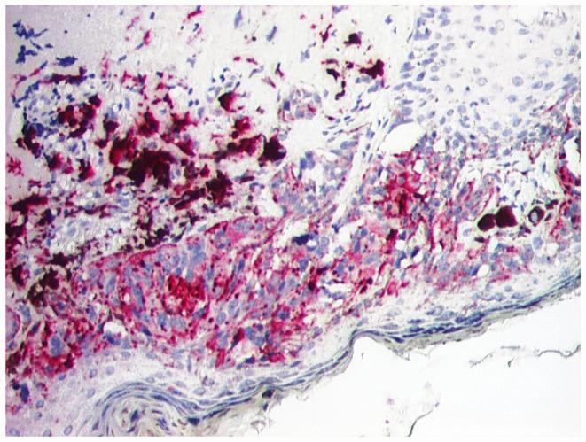
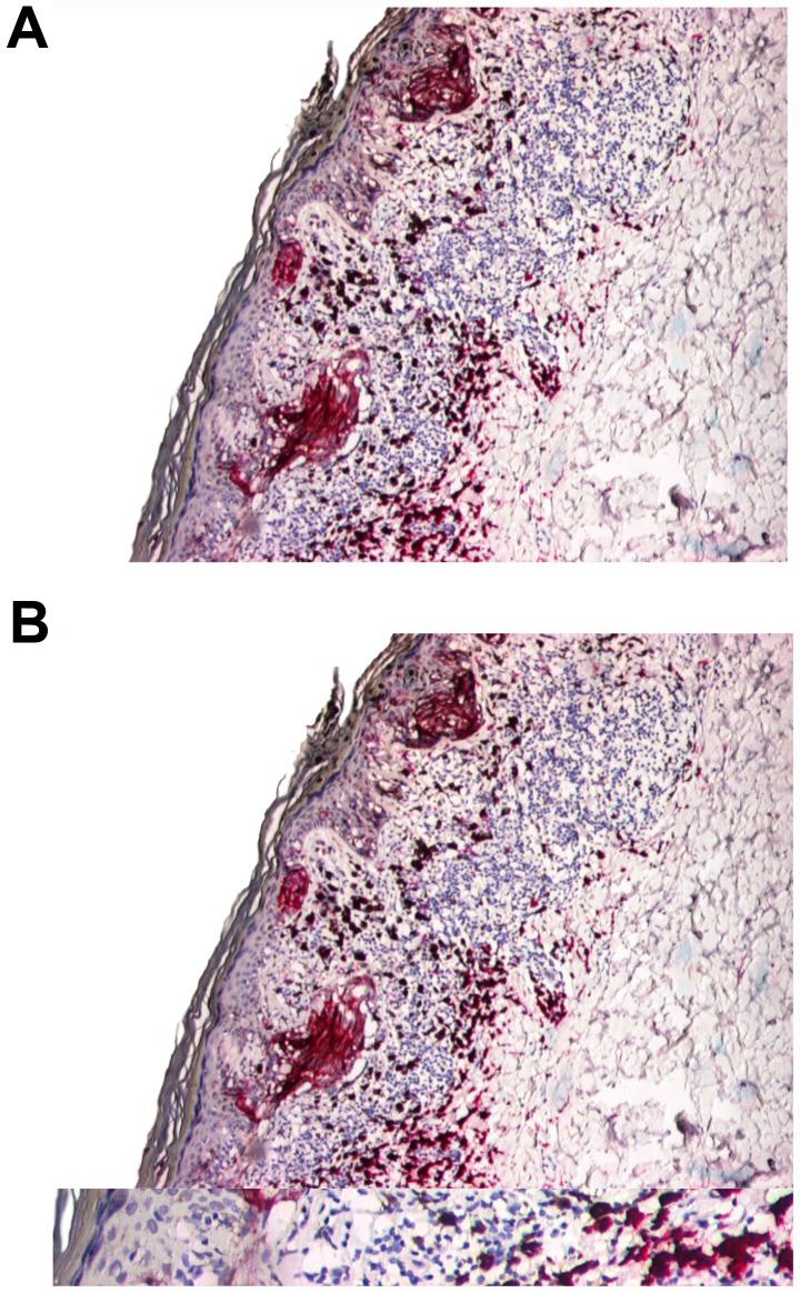
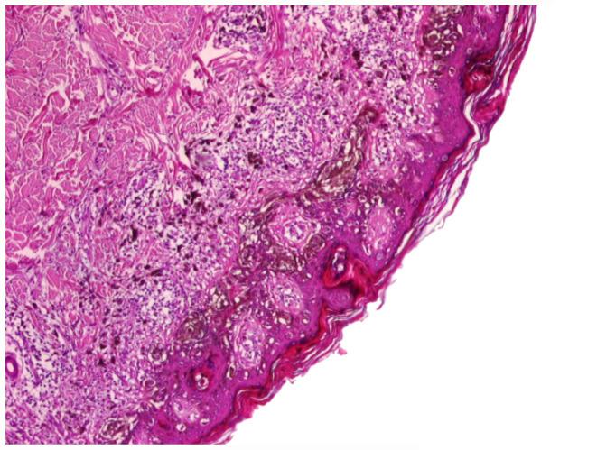
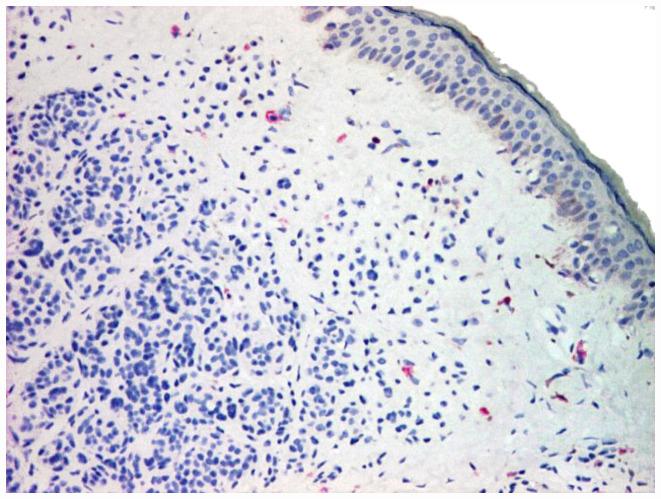
The aim of the present study was to carried out a comparative immunohistochemical evaluation of CD117 (c-Kit), a biomarker that evaluates both tumor progression and prognosis, in different melanocytic lesions, to emphasize the significance of this biomarker in malignant melanoma (MM). The study was performed on 55 cases, represented by a control group, which included 5 cases of simple nevi and 5 cases of dysplastic nevi, as well as a study group consisting of 35 cases of primary MM and 10 metastases (one intestinal, 3 cutaneous - one satellite and two distant as well as 6 in the lymph nodes). The study group included 15 cases of superficial spreading melanoma (SSM), 10 cases of nodular melanoma (NM), 3 lentigo maligna melanoma (LMM), 3 cases of acral lentiginous melanoma (ALM) and 4 cases of amelanotic MM. CD117 was found to be massively involved in the process of tumorigenesis of cutaneous malignancies, being immunohistochemically undetectable in benign neural lesions, but densely expressed in dysplastic lesions and melanoma areas. In invasive cutaneous MMs, CD117 expression tended to decrease with neoplasia progression proceding into the tumorigenic, vertical growth phase, being lower in the profound dermal component of tumors and in nodular MMs. To eliminate the epidermal barriers and gain a proliferative advantage to allow the transition to the vertical growth phase, it seems that MM should lose expression of c-Kit. Cutaneous metastases were found to express CD117 at a level comparable to their primary tumors, suggesting that other mechanisms interfere directly with the metastatic process and not loss of c-Kit expression by itself. CD117 overexpression in cutaneous melanocytic lesions correlates significantly with increased immunostaining intensity, suggesting that the immunohistochemical evaluation of CD117 may be a good method for screening patients, who could benefit from personalized therapy with tyrosine kinase inhibitors.

摘要

本研究的目的是对CD117(c-Kit)进行比较性免疫组织化学评估,CD117是一种评估肿瘤进展和预后的生物标志物,在不同的黑素细胞病变中进行评估,以强调该生物标志物在恶性黑色素瘤(MM)中的意义。该研究对55例病例进行,包括一个对照组,其中有5例单纯痣和5例发育异常痣,以及一个研究组,由35例原发性MM和10例转移瘤组成(1例肠道转移、3例皮肤转移——1例卫星灶转移和2例远处转移以及6例淋巴结转移)。研究组包括15例浅表扩散性黑色素瘤(SSM)、10例结节性黑色素瘤(NM)、3例恶性雀斑样痣黑色素瘤(LMM)、3例肢端雀斑样痣黑色素瘤(ALM)和4例无色素性MM。发现CD117大量参与皮肤恶性肿瘤的肿瘤发生过程,在良性神经病变中免疫组织化学检测不到,但在发育异常病变和黑色素瘤区域密集表达。在侵袭性皮肤MM中,随着肿瘤进展进入致瘤性垂直生长期,CD117表达趋于降低,在肿瘤的深层真皮成分和结节性MM中较低。为了消除表皮屏障并获得增殖优势以允许向垂直生长期转变,MM似乎应该失去c-Kit的表达。发现皮肤转移瘤表达CD117的水平与其原发性肿瘤相当,这表明其他机制直接干扰转移过程,而不是c-Kit表达本身的丧失。皮肤黑素细胞病变中CD117的过表达与免疫染色强度增加显著相关,这表明CD117的免疫组织化学评估可能是筛选可能从酪氨酸激酶抑制剂个性化治疗中获益的患者的一种好方法。

https://cdn.ncbi.nlm.nih.gov/pmc/blobs/be62/7725021/32e5639a47a6/etm-21-01-09510-g00.jpg

文献检索

告别复杂PubMed语法,用中文像聊天一样搜索,搜遍4000万医学文献。AI智能推荐,让科研检索更轻松。

立即免费搜索

文件翻译

保留排版,准确专业,支持PDF/Word/PPT等文件格式,支持 12+语言互译。

免费翻译文档

深度研究

AI帮你快速写综述,25分钟生成高质量综述,智能提取关键信息,辅助科研写作。

立即免费体验