Sharifi Reza, Kamaliehakim Lotfollah, Matloubi Narges
Department of Oral and Maxillofacial Surgery Cranio Maxillofacial Research Center Shariati Hospital Tehran university of Medical Sciences Tehran Iran.
Tehran university of Medical Sciences Tehran Iran.
Clin Case Rep. 2020 Oct 30;8(12):3479-3482. doi: 10.1002/ccr3.3451. eCollection 2020 Dec.
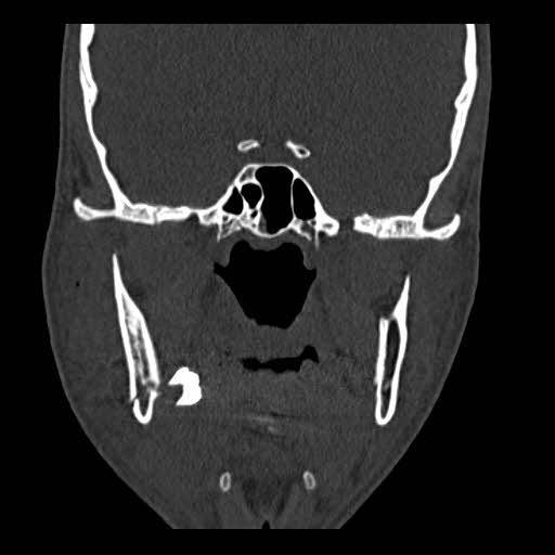
This case could remind surgeons to consider the possibility of displacement of the impacted third molar in the fractured line to adjacent spaces, during open reduction and internal fixation of mandibular angle fracture.
该病例可提醒外科医生,在下颌角骨折切开复位内固定术中,要考虑到阻生第三磨牙在骨折线处移位至相邻间隙的可能性。