Suppr超能文献

到处都是空气!

Air, Air Everywhere!

作者信息

Kanji Rafiq, Patel Kayur, Stangoe Douglas

机构信息

East Surrey County Hospital Redhill UK.

King's College Hospital London UK.

出版信息

Clin Case Rep. 2020 Aug 20;8(12):3575-3576. doi: 10.1002/ccr3.3247. eCollection 2020 Dec.

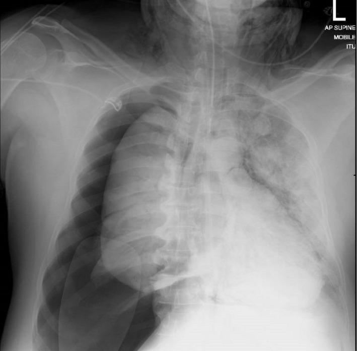
Abstract

When using a gum elastic bougie, a common device to aid difficult intubations, one must appreciate the significant consequences, be prepared to manage emergency complications, and use safely by advancing under direct vision and using the markings to guide insertion.

摘要

当使用弹性橡胶探条(一种常用于辅助困难插管的器械)时,必须认识到其严重后果,做好处理紧急并发症的准备,并通过直视下推进并利用标记来指导插入以确保安全使用。

https://cdn.ncbi.nlm.nih.gov/pmc/blobs/3d5c/7752482/d32fadef8a77/CCR3-8-3575-g001.jpg

文献AI研究员

20分钟写一篇综述,助力文献阅读效率提升50倍。

立即体验

用中文搜PubMed

大模型驱动的PubMed中文搜索引擎

马上搜索

文档翻译

学术文献翻译模型,支持多种主流文档格式。

立即体验