• 文献检索
  • 文档翻译
  • 深度研究
  • 学术资讯
  • Suppr Zotero 插件Zotero 插件
  • 邀请有礼
  • 套餐&价格
  • 历史记录
应用&插件
Suppr Zotero 插件Zotero 插件浏览器插件Mac 客户端Windows 客户端微信小程序
定价
高级版会员购买积分包购买API积分包
服务
文献检索文档翻译深度研究API 文档MCP 服务
关于我们
关于 Suppr公司介绍联系我们用户协议隐私条款
关注我们

Suppr 超能文献

核心技术专利:CN118964589B侵权必究
粤ICP备2023148730 号-1Suppr @ 2026

文献检索

告别复杂PubMed语法,用中文像聊天一样搜索,搜遍4000万医学文献。AI智能推荐,让科研检索更轻松。

立即免费搜索

文件翻译

保留排版,准确专业,支持PDF/Word/PPT等文件格式,支持 12+语言互译。

免费翻译文档

深度研究

AI帮你快速写综述,25分钟生成高质量综述,智能提取关键信息,辅助科研写作。

立即免费体验

计算机断层扫描参数与外科治疗胸腺瘤的组织学、分期和预后的相关性。

Correlation of Computed Tomography Parameters with Histology, Stage and Prognosis in Surgically Treated Thymomas.

机构信息

Department of Thoracic Surgery, San Raffaele Hospital, Via Olgettina, 60-20132 Milan, Italy.

School of Medicine, Vita-Salute San Raffaele University, 60-20132 Milan, Italy.

出版信息

Medicina (Kaunas). 2020 Dec 24;57(1):10. doi: 10.3390/medicina57010010.

DOI:10.3390/medicina57010010
PMID:33374432
原文链接:https://pmc.ncbi.nlm.nih.gov/articles/PMC7824084/
Abstract

: The histological classification and staging of thymic tumors remains a matter of debate. The correlation of computed tomography (CT) parameters with tumor histology and stage also still has to be completely assessed. The aim of this study was therefore to analyze the correlation of radiological parameters with histological and staging classifications of thymomas evaluating their prognostic role. : Data of 50 patients with thymoma submitted to a complete surgical treatment between 2005 and 2015 were retrospectively analyzed. Tumors were classified according to the WHO and Suster and Moran (S&M) histological classifications and to the Masaoka-Koga and tumor, node and metastases (TNM) staging systems. The correlation of CT features with histology and stage and the prognostic role of histopathological and radiological features were assessed. : Five-year overall (OS) and disease-free survival (DFS) were 90.3% and 81.1%, respectively. A significant correlation of DFS with the Masaoka-Koga ( = 0.001) and TNM staging systems ( = 0.002) and with the S&M ( = 0.02) and WHO histological classifications ( = 0.04) was observed. CT scan features correlated with tumor stage, histology and prognosis. Moderately differentiated tumors (WHO B3) had a significantly higher incidence of irregular shape and contours ( = 0.002 and = 0.001, respectively) and pericardial contact ( = 0.036). A larger tumor volume ( = 0.03) and a greater length of pleural contact ( = 0.04) adversely influenced DFS. The presence of pleural ( < 0.001) or lung invasion ( = 0.02) and of pleural effusion ( = 0.004) was associated with a significantly worse OS. : Pre-operative CT scan parameters correlate with stage and histology, and have a prognostic role in surgically treated thymomas.

摘要

胸腺肿瘤的组织学分类和分期仍然存在争议。计算机断层扫描(CT)参数与肿瘤组织学和分期的相关性也仍有待完全评估。因此,本研究旨在分析影像学参数与胸腺瘤组织学和分期分类的相关性,评估其预后作用。

回顾性分析了 2005 年至 2015 年间接受完全手术治疗的 50 例胸腺瘤患者的数据。肿瘤根据世界卫生组织(WHO)和 Suster and Moran(S&M)组织学分类以及 Masaoka-Koga 和肿瘤、淋巴结和转移(TNM)分期系统进行分类。评估了 CT 特征与组织学和分期的相关性,以及组织病理学和影像学特征的预后作用。

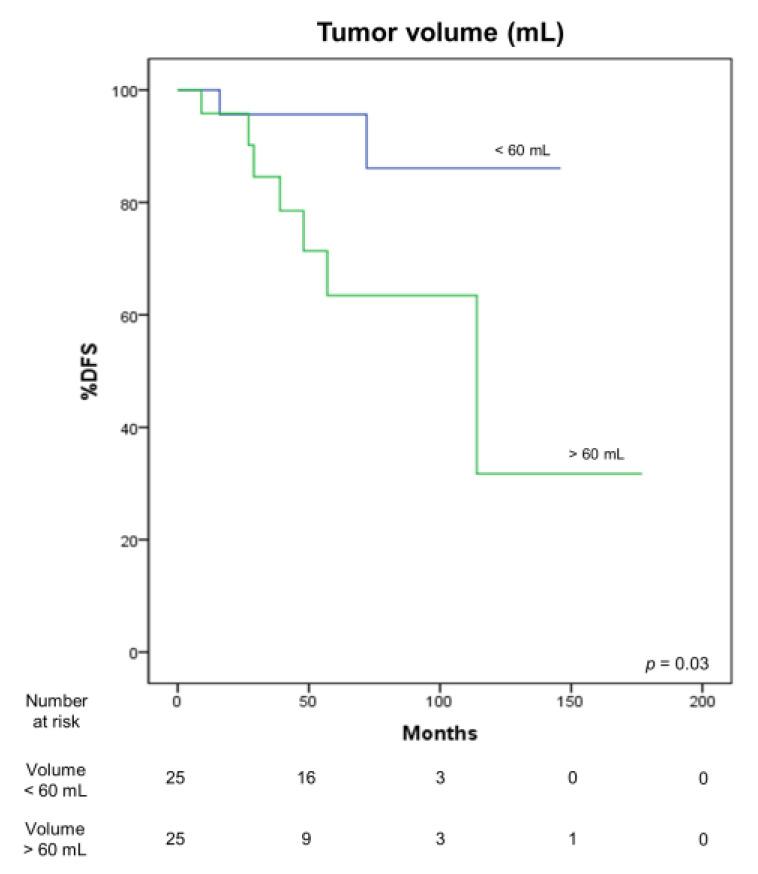
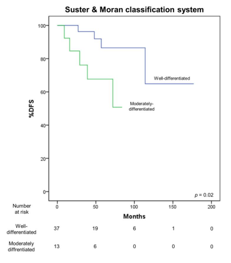
5 年总生存率(OS)和无病生存率(DFS)分别为 90.3%和 81.1%。DFS 与 Masaoka-Koga( = 0.001)和 TNM 分期系统( = 0.002)以及 S&M( = 0.02)和 WHO 组织学分类( = 0.04)显著相关。CT 扫描特征与肿瘤分期、组织学和预后相关。中度分化肿瘤(WHO B3)更常出现不规则形状和轮廓( = 0.002 和 = 0.001)和心包接触( = 0.036)。较大的肿瘤体积( = 0.03)和更大的胸膜接触长度( = 0.04)对 DFS 有不利影响。存在胸膜( < 0.001)或肺侵犯( = 0.02)和胸腔积液( = 0.004)与 OS 显著相关。

术前 CT 扫描参数与分期和组织学相关,对手术治疗的胸腺瘤具有预后作用。

https://cdn.ncbi.nlm.nih.gov/pmc/blobs/62e0/7824084/79458346a337/medicina-57-00010-g007.jpg
https://cdn.ncbi.nlm.nih.gov/pmc/blobs/62e0/7824084/842b1f8b3f1b/medicina-57-00010-g001.jpg
https://cdn.ncbi.nlm.nih.gov/pmc/blobs/62e0/7824084/9c1f21b3966e/medicina-57-00010-g002.jpg
https://cdn.ncbi.nlm.nih.gov/pmc/blobs/62e0/7824084/ae0bde177772/medicina-57-00010-g003.jpg
https://cdn.ncbi.nlm.nih.gov/pmc/blobs/62e0/7824084/73e471b92f16/medicina-57-00010-g004.jpg
https://cdn.ncbi.nlm.nih.gov/pmc/blobs/62e0/7824084/04ef7077bf6b/medicina-57-00010-g005.jpg
https://cdn.ncbi.nlm.nih.gov/pmc/blobs/62e0/7824084/395550e24eb0/medicina-57-00010-g006.jpg
https://cdn.ncbi.nlm.nih.gov/pmc/blobs/62e0/7824084/79458346a337/medicina-57-00010-g007.jpg
https://cdn.ncbi.nlm.nih.gov/pmc/blobs/62e0/7824084/842b1f8b3f1b/medicina-57-00010-g001.jpg
https://cdn.ncbi.nlm.nih.gov/pmc/blobs/62e0/7824084/9c1f21b3966e/medicina-57-00010-g002.jpg
https://cdn.ncbi.nlm.nih.gov/pmc/blobs/62e0/7824084/ae0bde177772/medicina-57-00010-g003.jpg
https://cdn.ncbi.nlm.nih.gov/pmc/blobs/62e0/7824084/73e471b92f16/medicina-57-00010-g004.jpg
https://cdn.ncbi.nlm.nih.gov/pmc/blobs/62e0/7824084/04ef7077bf6b/medicina-57-00010-g005.jpg
https://cdn.ncbi.nlm.nih.gov/pmc/blobs/62e0/7824084/395550e24eb0/medicina-57-00010-g006.jpg
https://cdn.ncbi.nlm.nih.gov/pmc/blobs/62e0/7824084/79458346a337/medicina-57-00010-g007.jpg

相似文献

1
Correlation of Computed Tomography Parameters with Histology, Stage and Prognosis in Surgically Treated Thymomas.计算机断层扫描参数与外科治疗胸腺瘤的组织学、分期和预后的相关性。
Medicina (Kaunas). 2020 Dec 24;57(1):10. doi: 10.3390/medicina57010010.
2
Diffusion-weighted magnetic resonance imaging of thymoma: ability of the Apparent Diffusion Coefficient in predicting the World Health Organization (WHO) classification and the Masaoka-Koga staging system and its prognostic significance on disease-free survival.胸腺瘤的扩散加权磁共振成像:表观扩散系数在预测世界卫生组织(WHO)分类和Masaoka-Koga分期系统中的能力及其对无病生存期的预后意义。
Eur Radiol. 2016 Jul;26(7):2126-38. doi: 10.1007/s00330-015-4031-6. Epub 2015 Oct 1.
3
Modified Masaoka stage and size are independent prognostic predictors in thymoma and modified Masaoka stage is superior to histopathologic classifications.改良的 Masaoka 分期和肿瘤大小是胸腺瘤独立的预后预测因子,改良的 Masaoka 分期优于组织病理学分类。
J Thorac Oncol. 2015 Apr;10(4):691-700. doi: 10.1097/JTO.0000000000000482.
4
[Comparison of the Masaoka-Koga and The IASLC/ITMIG Proposal for The TNM 
Staging Systems Based on the Chinese Alliance for Research in Thymomas (ChART)
Retrospective Database].基于中国胸腺瘤研究联盟(ChART)回顾性数据库的Masaoka-Koga分期系统与国际肺癌研究协会/国际胸腺恶性肿瘤研究组(IASLC/ITMIG)TNM分期系统提案的比较
Zhongguo Fei Ai Za Zhi. 2016 Jul 20;19(7):425-36. doi: 10.3779/j.issn.1009-3419.2016.07.04.
5
Thymoma: inter-relationships among World Health Organization histology, Masaoka staging and myasthenia gravis and their independent prognostic significance: a single-centre experience.胸腺瘤:世界卫生组织组织学分型、Masaoka 分期、重症肌无力之间的相互关系及其独立的预后意义:单中心经验。
Eur J Cardiothorac Surg. 2011 Jul;40(1):146-53. doi: 10.1016/j.ejcts.2010.09.042. Epub 2010 Nov 18.
6
Reproducibility of 3 histologic classifications and 3 staging systems for thymic epithelial neoplasms and its effect on prognosis.胸腺上皮性肿瘤3种组织学分类和3种分期系统的可重复性及其对预后的影响。
Am J Surg Pathol. 2015 Apr;39(4):427-41. doi: 10.1097/PAS.0000000000000391.
7
Computed tomography and thymoma: distinctive findings in invasive and noninvasive thymoma and predictive features of recurrence.计算机断层扫描与胸腺瘤:侵袭性与非侵袭性胸腺瘤的特征性表现及复发的预测特征
Radiol Med. 2010 Feb;115(1):1-21. doi: 10.1007/s11547-009-0478-3. Epub 2009 Dec 16.
8
Associations between computed tomography features of thymomas and their pathological classification.胸腺瘤的计算机断层扫描特征与其病理分类之间的关联。
Acta Radiol. 2016 Nov;57(11):1318-1325. doi: 10.1177/0284185115590288. Epub 2016 Jul 20.
9
The correlation of morphological features of chest computed tomographic scans with clinical characteristics of thymoma.胸部计算机断层扫描的形态学特征与胸腺瘤临床特征的相关性
Eur J Cardiothorac Surg. 2015 Nov;48(5):698-704. doi: 10.1093/ejcts/ezu475. Epub 2014 Dec 18.
10
Prediction of thymoma histology and stage by radiographic criteria.基于影像学标准预测胸腺瘤组织学和分期。
Thorac Surg Clin. 2011 Feb;21(1):1-12, v. doi: 10.1016/j.thorsurg.2010.08.008.

引用本文的文献

1
Predicting the Risk of Thymic Tumors Using Texture Analysis of Contrast-Enhanced Chest Computed Tomography.基于胸部 CT 增强扫描纹理分析预测胸腺瘤风险
J Comput Assist Tomogr. 2023;47(4):598-602. doi: 10.1097/RCT.0000000000001467. Epub 2023 Mar 9.

本文引用的文献

1
The International Association for the Study of Lung Cancer Thymic Tumors Staging Project: The Impact of the Eighth Edition of the Union for International Cancer Control and American Joint Committee on Cancer TNM Stage Classification of Thymic Tumors.国际肺癌研究协会胸腺肿瘤分期项目:第八版国际抗癌联盟和美国癌症联合委员会胸腺肿瘤 TNM 分期分类的影响。
J Thorac Oncol. 2020 Mar;15(3):436-447. doi: 10.1016/j.jtho.2019.11.013. Epub 2019 Nov 27.
2
Relationship Between Computed Tomography Imaging Features and Clinical Characteristics, Masaoka-Koga Stages, and World Health Organization Histological Classifications of Thymoma.胸腺肿瘤的计算机断层扫描成像特征与临床特征、Masaoka-Koga分期及世界卫生组织组织学分类之间的关系
Front Oncol. 2019 Oct 11;9:1041. doi: 10.3389/fonc.2019.01041. eCollection 2019.
3
Assessment of the prognostic role of neutrophil-to-lymphocyte ratio following complete resection of thymoma.胸腺瘤完全切除术后中性粒细胞与淋巴细胞比值预后作用的评估
J Cardiothorac Surg. 2018 Nov 19;13(1):119. doi: 10.1186/s13019-018-0805-7.
4
Best practices for the management of thymic epithelial tumors: A position paper by the Italian collaborative group for ThYmic MalignanciEs (TYME).胸腺瘤治疗的最佳实践:意大利胸腺瘤协作组(TYME)的立场文件。
Cancer Treat Rev. 2018 Dec;71:76-87. doi: 10.1016/j.ctrv.2018.10.001. Epub 2018 Oct 5.
5
Impact of Lymph Node Dissection on Thymic Malignancies: Multi-Institutional Propensity Score Matched Analysis.淋巴结清扫术对胸腺癌的影响:多机构倾向评分匹配分析。
J Thorac Oncol. 2018 Dec;13(12):1949-1957. doi: 10.1016/j.jtho.2018.08.2026. Epub 2018 Sep 11.
6
Radical thymectomy versus conservative thymomectomy in the surgical treatment of thymic malignancies.根治性胸腺切除术与保守性胸腺瘤切除术在胸腺恶性肿瘤外科治疗中的比较
J Thorac Dis. 2018 Jul;10(7):4127-4136. doi: 10.21037/jtd.2018.06.04.
7
Lymph node metastasis in thymic malignancies: A Chinese multicenter prospective observational study.胸腺癌和胸内恶性肿瘤淋巴结转移:中国多中心前瞻性观察研究。
J Thorac Cardiovasc Surg. 2018 Aug;156(2):824-833.e1. doi: 10.1016/j.jtcvs.2018.04.049. Epub 2018 Apr 18.
8
Evaluation of the new TNM-staging system for thymic malignancies: impact on indication and survival.胸腺恶性肿瘤新 TNM 分期系统的评估:对适应证和生存的影响。
World J Surg Oncol. 2017 Dec 2;15(1):214. doi: 10.1186/s12957-017-1283-4.
9
Lymph node metastases in thymic malignancies: a Chinese Alliance for Research in Thymomas retrospective database analysis.胸腺恶性肿瘤中的淋巴结转移:中国胸腺瘤研究联盟回顾性数据库分析
Interact Cardiovasc Thorac Surg. 2017 Sep 1;25(3):455-461. doi: 10.1093/icvts/ivx116.
10
[Thymoma and autoimmune diseases].[胸腺瘤与自身免疫性疾病]
Rev Med Interne. 2018 Jan;39(1):17-26. doi: 10.1016/j.revmed.2017.03.003. Epub 2017 Mar 30.