Suppr超能文献

FYS 菌株发酵生产胞外多糖制备的他卡西醇 Pickering 纳米乳剂对银屑病的治疗作用。

Therapeutic Effect of Calcipotriol Pickering Nanoemulsions Prepared by Exopolysaccharides Produced by FYS Strain on Psoriasis.

机构信息

Medical Imaging Specialty, Weifang Medical University, Weifang, Shandong, People's Republic of China.

Basic Medical School, Weifang Medical University, Weifang, Shandong, People's Republic of China.

出版信息

Int J Nanomedicine. 2020 Dec 22;15:10371-10384. doi: 10.2147/IJN.S278247. eCollection 2020.

Abstract

PURPOSE

Many exopolysaccharides (EPS) have significant emulsifying activity. Some EPS produced by the marine bacterial strain FYS have stronger emulsifying activity in the form of nanoparticles, suggesting that they could potentially form Pickering emulsions. We prepared novel EPS/CT Pickering nanoemulsions (ECPN) with EPS as emulsifiers and assessed their ability to ameliorate the poor permeability of calcipotriol (CT) in skin affected by psoriasis vulgaris.

METHODS

A strain of marine bacterium FYS was identified. Molecular weight, monosaccharide composition and microstructure of EPS were determined by gel permeation chromatography, high-performance liquid chromatography and scanning electron microscopy. EPS nanoparticles were prepared by adjusting the pH, and the emulsifying activity was studied at different pH. ECPN were prepared by ultrasound and optimized by the response surface method. The size distribution, microstructure, stability and in vitro drug release of ECPN were studied. The therapeutic effect of ECPN on psoriasis vulgaris was explored by animal experiments and characterizing histomorphology in vivo.

RESULTS

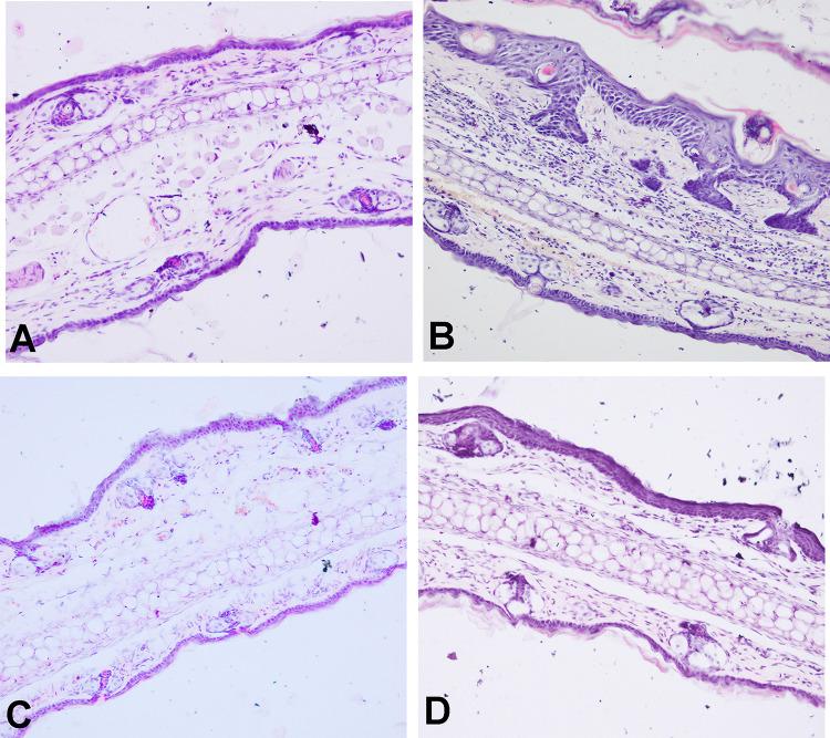
A phylogenetic tree revealed that FYS was a strain. EPS produced by the strain were heteropolysaccharides with a three-dimensional network composed of glucose, galactose, glucuronic acid, rhamnose, galacturonic acid and mannose (32.0:34.3:9.7:7.4:10.3:6.3). The EPS can form nanoparticles at pH = 4-6 with enhanced emulsifying ability. Transmission electron microscopy revealed that EPS nanoparticles adhered to the surface of oil droplets to stabilize the emulsions via a Pickering emulsification mechanism. The prepared ECPN have high stability with a sustained-release effect. Finally, animal experiments showed that ECPN effectively shortened the treatment course of psoriasis vulgaris.

CONCLUSION

EPS is highly possible to have the potential Pickering emulsification mechanism. The stability of the nanoemulsion was high. ECPN also showed potential for use in the treatment of psoriasis vulgaris. This study provides new insight into the medical applications of EPS and the treatment of psoriasis.

摘要

目的

许多胞外多糖(EPS)具有显著的乳化活性。海洋细菌菌株 FYS 产生的一些 EPS 以纳米颗粒的形式具有更强的乳化活性,这表明它们可能形成 Pickering 乳液。我们制备了新型 EPS/CT Pickering 纳米乳液(ECPN),以 EPS 作为乳化剂,并评估了它们改善寻常型银屑病皮肤中钙泊三醇(CT)渗透性差的能力。

方法

鉴定了一株海洋细菌 FYS。通过凝胶渗透色谱、高效液相色谱和扫描电子显微镜测定 EPS 的分子量、单糖组成和微观结构。通过调节 pH 值制备 EPS 纳米颗粒,并在不同 pH 值下研究其乳化活性。通过超声法制备 ECPN,并通过响应面法进行优化。研究了 ECPN 的粒径分布、微观结构、稳定性和体外药物释放。通过动物实验和体内组织形态学特征探讨 ECPN 对寻常型银屑病的治疗作用。

结果

系统发育树表明 FYS 是一株。该菌株产生的 EPS 是一种由葡萄糖、半乳糖、葡萄糖醛酸、鼠李糖、半乳糖醛酸和甘露糖(32.0:34.3:9.7:7.4:10.3:6.3)组成的三维网络结构的杂多糖。EPS 在 pH = 4-6 时可形成纳米颗粒,乳化能力增强。透射电子显微镜显示 EPS 纳米颗粒通过 Pickering 乳化机制附着在油滴表面稳定乳液。所制备的 ECPN 具有高稳定性和持续释放效果。最后,动物实验表明 ECPN 有效缩短了寻常型银屑病的治疗过程。

结论

EPS 极有可能具有潜在的 Pickering 乳化机制。纳米乳液的稳定性高。ECPN 也有望用于寻常型银屑病的治疗。本研究为 EPS 的医学应用和银屑病的治疗提供了新的思路。

https://cdn.ncbi.nlm.nih.gov/pmc/blobs/f2f9/7764976/a651adf47708/IJN-15-10371-g0001.jpg

文献检索

告别复杂PubMed语法,用中文像聊天一样搜索,搜遍4000万医学文献。AI智能推荐,让科研检索更轻松。

立即免费搜索

文件翻译

保留排版,准确专业,支持PDF/Word/PPT等文件格式,支持 12+语言互译。

免费翻译文档

深度研究

AI帮你快速写综述,25分钟生成高质量综述,智能提取关键信息,辅助科研写作。

立即免费体验