Suppr超能文献

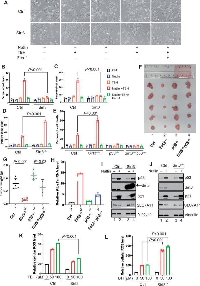
Sirt3 is critical for p53-mediated ferroptosis upon ROS-induced stress.

作者信息

Jin Ying, Gu Wei, Chen Weichang

机构信息

Department of Gastroenterology, The First Affiliated Hospital of Soochow University, Suzhou 215006, China.

Institute for Cancer Genetics, and Department of Pathology and Cell Biology, and Herbert Irving Comprehensive Cancer Center, College of Physicians & Surgeons, Columbia University, New York, NY 10032, USA.

出版信息

J Mol Cell Biol. 2021 May 7;13(2):151-154. doi: 10.1093/jmcb/mjaa074.

Abstract
摘要
https://cdn.ncbi.nlm.nih.gov/pmc/blobs/d46e/8104950/b6a57e915a2b/mjaa074f1.jpg

文献AI研究员

20分钟写一篇综述,助力文献阅读效率提升50倍。

立即体验

用中文搜PubMed

大模型驱动的PubMed中文搜索引擎

马上搜索

文档翻译

学术文献翻译模型,支持多种主流文档格式。

立即体验