Suppr超能文献

乳房重建中的乳房切除术后放射治疗:韩国放射肿瘤学组的治疗模式研究

Post-mastectomy radiation therapy in breast reconstruction: a patterns of care study of the Korean Radiation Oncology Group.

作者信息

Yang Gowoon, Chang Jee Suk, Shin Kyung Hwan, Kim Jin Ho, Park Won, Kim Haeyoung, Kim Kyubo, Lee Ik Jae, Yoon Won Sup, Cha Jihye, Lee Kyu-Chan, Kim Jin Hee, Choi Jin Hwa, Ahn Sung-Ja, Ha Boram, Lee Sun Young, Lee Dong Soo, Lee Jeongshim, Shin Sei One, Kim Yong Bae

机构信息

Department of Radiation Oncology, Yonsei Cancer Center, Yonsei University College of Medicine, Seoul, Korea.

Department of Radiation Oncology, Seoul National University College of Medicine, Seoul, Korea.

出版信息

Radiat Oncol J. 2020 Dec;38(4):236-243. doi: 10.3857/roj.2020.00738. Epub 2020 Dec 16.

Abstract

PURPOSE

The details of breast reconstruction and radiation therapy (RT) vary between institutions; therefore, we sought to investigate the practice patterns of radiation oncologists who specialize in breast cancer.

MATERIALS AND METHODS

We identified the practice patterns and inter-hospital variations from a multi-center cohort of women with breast cancer who underwent post-mastectomy RT (PMRT) to the reconstructed breast at 16 institutions between 2015 and 2016. The institutions were requested to contour the target volume and produce RT plans for one representative case with five different clinical scenarios and answer questionnaires which elicited infrastructural information. We assessed the inter-institutional variations in RT in terms of the target, normal organ delineation, and dose-volume histograms.

RESULTS

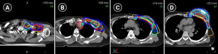
Three hundred fourteen patients were included; 99% of them underwent immediate reconstruction. The most irradiated material was tissue expander (36.9%) followed by transverse rectus abdominis musculocutaneous flap (23.9%) and silicone implant (12.1%). In prosthetic-based reconstruction with tissue expander, most patients received PMRT following partial deflation. Conventional fractionation and hypofractionation RT were used in 66.6% and 33.4% patients, respectively (commonest: 40.05 Gy in 15 fractions [17.5%]). Furthermore, 15.6% of the patients received boost RT and 53.5% were treated with bolus. Overall, 15 physicians responded to the questionnaires and six submitted their contours and RT plans. There was a significant variability in target delineations and RT plans between physicians, and between clinical scenarios.

CONCLUSION

Adjuvant RT following post-mastectomy reconstruction has become a common practice in Korea. The details vary significantly between institutions, which highlights an urgent need for standard protocol in this clinical setting.

摘要

目的

不同机构的乳房重建和放射治疗(RT)细节存在差异;因此,我们试图调查专门从事乳腺癌治疗的放射肿瘤学家的实践模式。

材料与方法

我们从2015年至2016年期间在16家机构接受乳房切除术后对重建乳房进行放疗(PMRT)的多中心乳腺癌女性队列中确定实践模式和医院间差异。要求各机构勾勒靶区体积并为一个具有五种不同临床情况的代表性病例制定放疗计划,并回答引发基础设施信息的问卷。我们从靶区、正常器官勾画和剂量体积直方图方面评估放疗的机构间差异。

结果

纳入314例患者;其中99%接受了即刻重建。照射最多的材料是组织扩张器(36.9%),其次是腹直肌肌皮瓣(23.9%)和硅胶植入物(12.1%)。在基于假体的组织扩张器重建中,大多数患者在部分放气后接受PMRT。分别有66.6%和33.4%的患者使用了常规分割和大分割放疗(最常见的:15次分割,40.05 Gy [17.5%])。此外,15.6%的患者接受了追加放疗,53.5%的患者接受了推量治疗。总体而言,15名医生回复了问卷,6名提交了他们的轮廓图和放疗计划。医生之间以及临床情况之间在靶区勾画和放疗计划方面存在显著差异。

结论

乳房切除术后重建后的辅助放疗在韩国已成为一种常见做法。各机构之间的细节差异很大,这凸显了在这种临床环境中迫切需要标准方案。

https://cdn.ncbi.nlm.nih.gov/pmc/blobs/acaf/7785842/bede6146d085/roj-2020-00738f1.jpg

文献检索

告别复杂PubMed语法,用中文像聊天一样搜索,搜遍4000万医学文献。AI智能推荐,让科研检索更轻松。

立即免费搜索

文件翻译

保留排版,准确专业,支持PDF/Word/PPT等文件格式,支持 12+语言互译。

免费翻译文档

深度研究

AI帮你快速写综述,25分钟生成高质量综述,智能提取关键信息,辅助科研写作。

立即免费体验