Department of Microbiology, Immunology, and Pathology, College of Veterinary Medicine and Biomedical Sciences, Colorado State University, Fort Collins, CO, United States.
AvantGen, Inc. San Diego, CA, United States.
Front Immunol. 2020 Dec 18;11:614256. doi: 10.3389/fimmu.2020.614256. eCollection 2020.
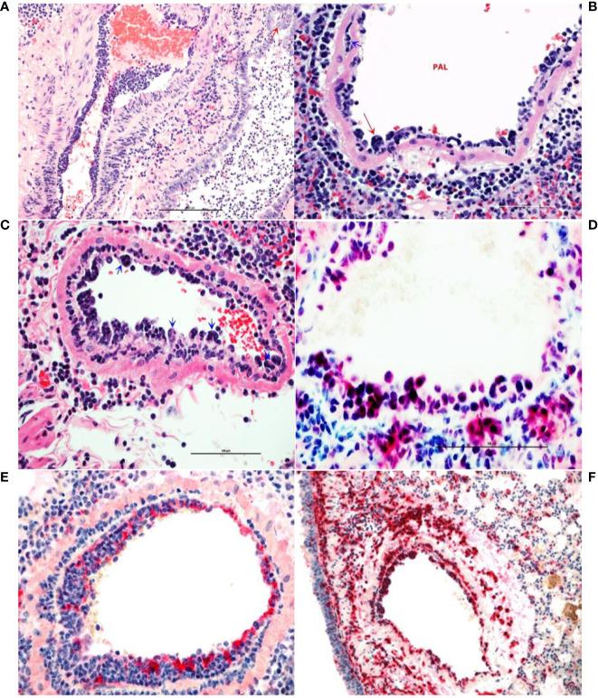
The emergence of COVID-19 has led to a pandemic that has caused millions of cases of disease, variable morbidity and hundreds of thousands of deaths. Currently, only remdesivir and dexamethasone have demonstrated limited efficacy, only slightly reducing disease burden, thus novel approaches for clinical management of COVID-19 are needed. We identified a panel of human monoclonal antibody clones from a yeast display library with specificity to the SARS-CoV-2 spike protein receptor binding domain that neutralized the virus . Administration of the lead antibody clone to Syrian hamsters challenged with SARS-CoV-2 significantly reduced viral load and histopathology score in the lungs. Moreover, the antibody interrupted monocyte infiltration into the lungs, which may have contributed to the reduction of disease severity by limiting immunopathological exacerbation. The use of this antibody could provide an important therapy for treatment of COVID-19 patients.
新冠病毒的出现引发了一场大流行,导致数百万人患病,发病率各不相同,并有数十万人死亡。目前,只有瑞德西韦和地塞米松显示出有限的疗效,只能略微减轻疾病负担,因此需要新的方法来治疗新冠病毒。我们从酵母展示文库中鉴定出一组针对 SARS-CoV-2 刺突蛋白受体结合域的人源单克隆抗体克隆,这些抗体可以中和病毒。将主导抗体克隆施用于感染 SARS-CoV-2 的叙利亚仓鼠,可显著降低肺部的病毒载量和组织病理学评分。此外,该抗体阻止了单核细胞浸润肺部,这可能通过限制免疫病理恶化来减轻疾病的严重程度。该抗体的使用可为治疗新冠病毒患者提供重要的治疗方法。