• 文献检索
  • 文档翻译
  • 深度研究
  • 学术资讯
  • Suppr Zotero 插件Zotero 插件
  • 邀请有礼
  • 套餐&价格
  • 历史记录
应用&插件
Suppr Zotero 插件Zotero 插件浏览器插件Mac 客户端Windows 客户端微信小程序
定价
高级版会员购买积分包购买API积分包
服务
文献检索文档翻译深度研究API 文档MCP 服务
关于我们
关于 Suppr公司介绍联系我们用户协议隐私条款
关注我们

Suppr 超能文献

核心技术专利:CN118964589B侵权必究
粤ICP备2023148730 号-1Suppr @ 2026

文献检索

告别复杂PubMed语法,用中文像聊天一样搜索,搜遍4000万医学文献。AI智能推荐,让科研检索更轻松。

立即免费搜索

文件翻译

保留排版,准确专业,支持PDF/Word/PPT等文件格式,支持 12+语言互译。

免费翻译文档

深度研究

AI帮你快速写综述,25分钟生成高质量综述,智能提取关键信息,辅助科研写作。

立即免费体验

一例表现为有症状盆腔肿块、酷似淋巴瘤的前列腺癌病例报告。

A case report of prostate cancer presenting as a symptomatic pelvic mass mimicking lymphoma.

作者信息

Mahjoubi Zied, Bibi Mokhtar, Hedhli Houssem, Ouanes Yassine, Rhouma Sami Ben, Yassine Nouira

机构信息

Department of Urology, Hospital La Rabta, 1007, Tunis, Tunisia.

Department of Urology, Hospital La Rabta, 1007, Tunis, Tunisia.

出版信息

Int J Surg Case Rep. 2020;77:483-485. doi: 10.1016/j.ijscr.2020.11.042. Epub 2020 Nov 11.

DOI:10.1016/j.ijscr.2020.11.042
PMID:33395830
原文链接:https://pmc.ncbi.nlm.nih.gov/articles/PMC7700973/
Abstract

INTRODUCTION

Metastatic prostate cancer is a relatively common condition in elderly men. The aim of this paper is to report a rare case of metastatic prostate cancer presenting as a large pelvic mass mimicking lymphoma and to discuss its management.

PRESENTATION OF CASE

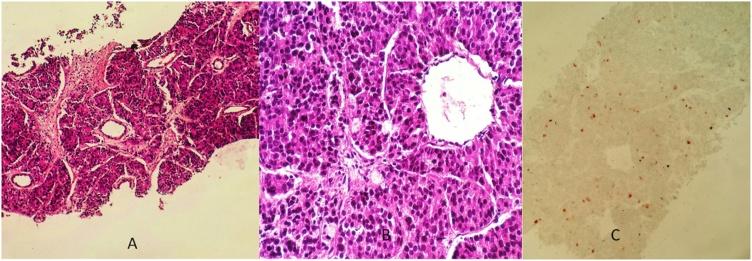
An 85-year-old patient was complaining of lower urinary tract symptoms, and significant pelvic swelling. On physical examination, a 15-cm pelvic mass and lumpy prostate were found. Laboratory investigations revealed elevated PSA levels (PSA=300g/mL). CT scan showed a large lobulated necrotic pelvic mass and multiple swollen lymphnodes. The diagnosis of an atypical pelvic lymphoma associated with a metastatic prostate cancer was first evoked. An ultrasonography-guided biopsy of the mass was carried. The immunohistochemical study confirmed prostate adenocarcinoma. A bilateral orchiectomy was performed. A follow up of 3 months showed a decrease of PSA without shrinkage of the mass.

DISCUSSION

A metastatic prostate cancer presenting as a compressive pelvic mass mimicking other diagnosis such as lymphomas, is a rare circumstance of discovery. In our case, atypical pelvic lymphoma was evoked based on the association of multiple retroperitoneal enlarged lymphnodes. Histological findings of the biopsy rectified the diagnosis and confirmed prostate adenocarcinoma. The main treatment for such metastatic prostate cancers remains hormone therapy. Some authors reported external beam radiotherapy in order to reduce prostate volume.

CONCLUSION

Prostate cancer should be considered in the assessment of large pelvic masses. Digital rectal examination and testing PSA levels can lead to the diagnosis. After histological confirmation, the androgen deprivation is the main treatment.

摘要

引言

转移性前列腺癌在老年男性中较为常见。本文旨在报告一例罕见的转移性前列腺癌病例,该病例表现为酷似淋巴瘤的盆腔巨大肿块,并讨论其治疗方法。

病例介绍

一名85岁患者主诉下尿路症状及明显的盆腔肿胀。体格检查发现一个15厘米的盆腔肿块和结节状前列腺。实验室检查显示前列腺特异性抗原(PSA)水平升高(PSA = 300μg/mL)。CT扫描显示一个大的分叶状坏死盆腔肿块及多个肿大淋巴结。最初考虑诊断为与转移性前列腺癌相关的非典型盆腔淋巴瘤。对肿块进行了超声引导下活检。免疫组化研究证实为前列腺腺癌。进行了双侧睾丸切除术。3个月的随访显示PSA下降,但肿块未缩小。

讨论

转移性前列腺癌表现为压迫性盆腔肿块并酷似其他诊断(如淋巴瘤)是一种罕见的发现情况。在我们的病例中,基于多个腹膜后肿大淋巴结的存在考虑了非典型盆腔淋巴瘤。活检的组织学结果纠正了诊断并证实为前列腺腺癌。此类转移性前列腺癌的主要治疗方法仍然是激素治疗。一些作者报告了外照射放疗以缩小前列腺体积。

结论

在评估盆腔巨大肿块时应考虑前列腺癌。直肠指检和检测PSA水平可有助于诊断。组织学确诊后,雄激素剥夺是主要治疗方法。

https://cdn.ncbi.nlm.nih.gov/pmc/blobs/49be/7700973/e22740daf897/gr2.jpg
https://cdn.ncbi.nlm.nih.gov/pmc/blobs/49be/7700973/5cb6f669b9eb/gr1.jpg
https://cdn.ncbi.nlm.nih.gov/pmc/blobs/49be/7700973/e22740daf897/gr2.jpg
https://cdn.ncbi.nlm.nih.gov/pmc/blobs/49be/7700973/5cb6f669b9eb/gr1.jpg
https://cdn.ncbi.nlm.nih.gov/pmc/blobs/49be/7700973/e22740daf897/gr2.jpg

相似文献

1
A case report of prostate cancer presenting as a symptomatic pelvic mass mimicking lymphoma.一例表现为有症状盆腔肿块、酷似淋巴瘤的前列腺癌病例报告。
Int J Surg Case Rep. 2020;77:483-485. doi: 10.1016/j.ijscr.2020.11.042. Epub 2020 Nov 11.
2
A case of prostate cancer in 34 year old man presenting with generalized lymphadenopathy mimicking malignant lymphoma.一名34岁男性前列腺癌病例,表现为全身淋巴结肿大,酷似恶性淋巴瘤。
J Korean Med Sci. 1997 Jun;12(3):262-5. doi: 10.3346/jkms.1997.12.3.262.
3
More advantages in detecting bone and soft tissue metastases from prostate cancer using F-PSMA PET/CT.使用F-PSMA PET/CT检测前列腺癌骨和软组织转移方面有更多优势。
Hell J Nucl Med. 2019 Jan-Apr;22(1):6-9. doi: 10.1967/s002449910952. Epub 2019 Mar 7.
4
Prostate adenocarcinoma with negative immunohistochemical stain of prostate-specific antigen presenting with cervical mass: A case report.前列腺特异性抗原免疫组化染色阴性的前列腺腺癌伴颈部肿块:一例报告。
J Res Med Sci. 2013 Sep;18(9):814-7.
5
Spread of prostate carcinoma to the perirectal lymph node basin: analysis of 112 rectal resections over a 10-year span for primary rectal adenocarcinoma.前列腺癌向直肠周围淋巴结区域的扩散:对10年间因原发性直肠腺癌行直肠切除术的112例病例的分析。
Am J Surg Pathol. 2004 Sep;28(9):1154-62. doi: 10.1097/01.pas.0000131543.80147.3d.
6
Implications of androgen-deprivation therapy in patients with prostate cancer: A case study.
Clin J Oncol Nurs. 2006 Oct;10(5):565-6. doi: 10.1188/06.CJON.565-566.
7
Left axillary lymphadenopathy as initial presentation of metastatic prostate cancer: A rare case report.以左腋窝淋巴结病为首发表现的转移性前列腺癌:一例罕见病例报告
Int J Surg Case Rep. 2021 May;82:105889. doi: 10.1016/j.ijscr.2021.105889. Epub 2021 Apr 15.
8
Advanced carcinoma of the prostate presenting as a supraclavicular mass: case report.
Niger Postgrad Med J. 2014 Sep;21(3):269-71.
9
A rare case of isolated castrate resistant bilateral testicular metastases in advanced prostate cancer.晚期前列腺癌中罕见的孤立性去势抵抗性双侧睾丸转移病例。
Asian J Urol. 2018 Apr;5(2):127-130. doi: 10.1016/j.ajur.2017.03.001. Epub 2017 Mar 8.
10
Metastatic Adenocarcinoma of the Prostate Presenting as Supraclavicular and Bulky Generalized Lymphadenopathy with a Benign Digital Rectal Exam.以锁骨上及广泛肿大淋巴结为表现且直肠指检良性的前列腺转移性腺癌
Urol Case Rep. 2017 May 13;13:128-130. doi: 10.1016/j.eucr.2017.04.005. eCollection 2017 Jul.

引用本文的文献

1
Prostate Cancer Presenting With an Unusual Presentation of Rectal Pain and Bleeding.以直肠疼痛和出血这种不寻常表现为特征的前列腺癌。
Cureus. 2021 Oct 14;13(10):e18766. doi: 10.7759/cureus.18766. eCollection 2021 Oct.

本文引用的文献

1
The SCARE 2018 statement: Updating consensus Surgical CAse REport (SCARE) guidelines.SCARE 2018 声明:更新共识手术病例报告(SCARE)指南。
Int J Surg. 2018 Dec;60:132-136. doi: 10.1016/j.ijsu.2018.10.028. Epub 2018 Oct 18.
2
[A Case of Giant Prostate Carcinoma Effectively Treated with External-Beam Radiation Therapy].
Hinyokika Kiyo. 2016 Dec;62(12):647-650. doi: 10.14989/ActaUrolJap_62_12_647.
3
[A case of giant prostate carcinoma difficult to diagnose because of absence of urinary difficulty].一例因无排尿困难而难以诊断的巨大前列腺癌病例
Hinyokika Kiyo. 2009 Dec;55(12):769-71.
4
Changes of prostate gland volume with and without androgen deprivation after intensity modulated radiotherapy - A follow-up study.调强放疗后去势和未去势状态下前列腺体积的变化——一项随访研究
Radiother Oncol. 2009 Mar;90(3):408-12. doi: 10.1016/j.radonc.2008.09.006. Epub 2008 Oct 22.
5
Giant carcinoma of the prostate: angiographic demonstration of hormonally induced remission.前列腺巨癌:激素诱导缓解的血管造影显示
Br J Radiol. 1966 Nov;39(467):876-7. doi: 10.1259/0007-1285-39-467-876.