Suppr超能文献

恶性外周神经鞘瘤——一个漫长的故事:病例报告

Malignant peripheral nerve sheath tumour - A long story: Case report.

作者信息

Marickar Y M Fazil, Abraham Betty

机构信息

Mount Zion Medical College, Adoor, India.

DDRC SRL, Trivandrum, India.

出版信息

Int J Surg Case Rep. 2020;77:618-623. doi: 10.1016/j.ijscr.2020.11.061. Epub 2020 Nov 19.

Abstract

INTRODUCTION

We present a rare case of Malignant Peripheral Nerve Sheath Tumour (MPNST) of the upper limb, which was excised thirteen times in thirteen years and ultimately ended in above elbow amputation.

PRESENTING COMPLAINT AND INVESTIGATIONS

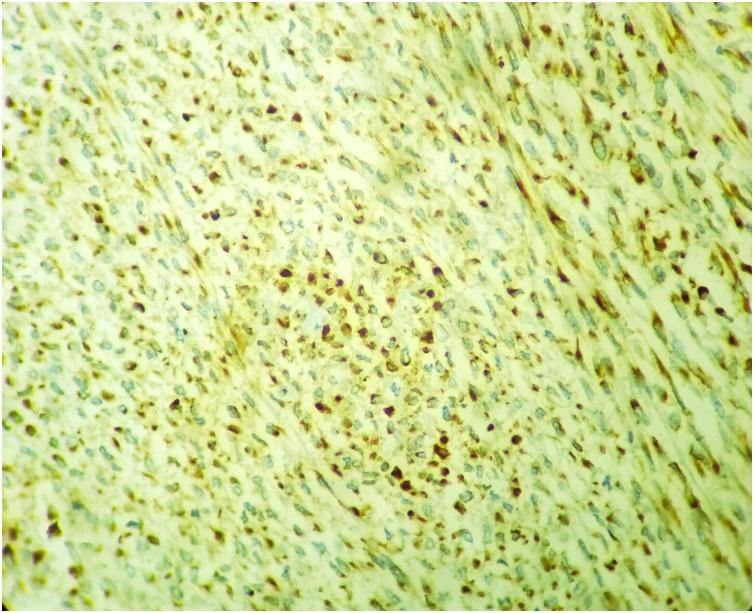
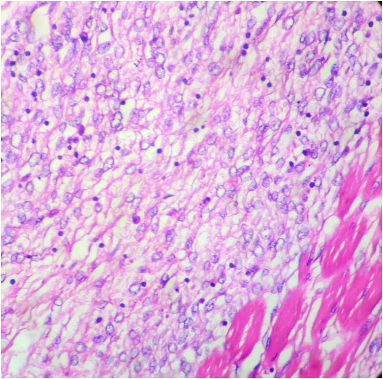
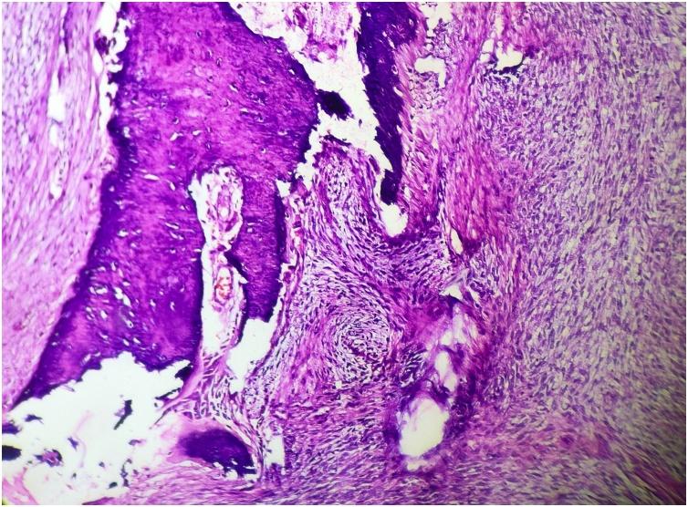
A 48 year old female presented initially with a localised swelling of 2 cms diameter in the front of the left elbow in 2007, which was excised. It recurred repeatedly and was excised. In the earlier presentations, the swellings were firm, mobile and not fixed to bone. In the last stage alone, bone fixity was identified. All the fourteen surgeries were performed by the primary author from 2007 to 2020, as the patient was particular. THE MAIN CLINICAL DIAGNOSES: had been neurofibroma and fibrosarcoma. There was no evidence of distant metastasis all these years. She did not respond to radiation or chemotherapy. Initially it was single, but later multiple. She had no clinical features of Neurofibromatosis 1 (NF1) or any family history. As the history progressed, the swellings became muscle deep and later encircled the radial nerve. The radial nerve was salvaged on three occasions. On the last three occasions, the tumour had to be shaved off from the humerus. The final amputation specimen showed a single tumour infiltrating the humerus and x-ray revealed bone destruction and tumour calcification. Final diagnosis was aided by immunohistochemistry (IHC) and cytogenetic study (FISH).

CONCLUSION

The case is presented for the rarity of the presentation and the trust and dependence of the patient on her personal surgeon.

摘要

引言

我们报告一例罕见的上肢恶性周围神经鞘瘤(MPNST),该肿瘤在13年内被切除13次,最终以肘上截肢告终。

主诉及检查

一名48岁女性于2007年首次就诊,左肘前部出现一个直径2厘米的局限性肿块,该肿块被切除。它反复复发并被切除。在早期表现中,肿块质地坚硬、可活动,未与骨骼固定。仅在最后阶段才发现与骨骼固定。从2007年到2020年,所有14次手术均由第一作者进行,因为患者比较挑剔。主要临床诊断曾为神经纤维瘤和纤维肉瘤。这些年来均无远处转移的证据。她对放疗或化疗均无反应。最初是单发,但后来变为多发。她没有神经纤维瘤病1型(NF1)的临床特征或任何家族史。随着病程进展,肿块深入肌肉,后来环绕桡神经。桡神经曾三次得以保留。在最后三次手术中,不得不从肱骨上刮除肿瘤。最终截肢标本显示单个肿瘤侵犯肱骨,X线显示骨质破坏和肿瘤钙化。免疫组织化学(IHC)和细胞遗传学研究(FISH)辅助做出了最终诊断。

结论

报告该病例是因其表现罕见以及患者对其个人外科医生的信任和依赖。

https://cdn.ncbi.nlm.nih.gov/pmc/blobs/235a/7708871/5f0454a427d8/gr1.jpg

文献AI研究员

20分钟写一篇综述,助力文献阅读效率提升50倍。

立即体验

用中文搜PubMed

大模型驱动的PubMed中文搜索引擎

马上搜索

文档翻译

学术文献翻译模型,支持多种主流文档格式。

立即体验