• 文献检索
  • 文档翻译
  • 深度研究
  • 学术资讯
  • Suppr Zotero 插件Zotero 插件
  • 邀请有礼
  • 套餐&价格
  • 历史记录
应用&插件
Suppr Zotero 插件Zotero 插件浏览器插件Mac 客户端Windows 客户端微信小程序
定价
高级版会员购买积分包购买API积分包
服务
文献检索文档翻译深度研究API 文档MCP 服务
关于我们
关于 Suppr公司介绍联系我们用户协议隐私条款
关注我们

Suppr 超能文献

核心技术专利:CN118964589B侵权必究
粤ICP备2023148730 号-1Suppr @ 2026

文献检索

告别复杂PubMed语法,用中文像聊天一样搜索,搜遍4000万医学文献。AI智能推荐,让科研检索更轻松。

立即免费搜索

文件翻译

保留排版,准确专业,支持PDF/Word/PPT等文件格式,支持 12+语言互译。

免费翻译文档

深度研究

AI帮你快速写综述,25分钟生成高质量综述,智能提取关键信息,辅助科研写作。

立即免费体验

原发性心脏黏液纤维肉瘤能否在9个月内从零迅速生长到导致左侧心力衰竭的大小?

Can Primary Cardiac Myxofibrosarcoma Grow Quickly from Zero to a Size Leading to Left-Sided Heart Failure within 9 Months?

作者信息

Karazanishvili Levan, Limonjiani Eduard

机构信息

EVEX Medical Corporation, Georgia.

Tbilisi State Medical University, Georgia.

出版信息

Case Rep Surg. 2020 Dec 8;2020:4241204. doi: 10.1155/2020/4241204. eCollection 2020.

DOI:10.1155/2020/4241204
PMID:33457035
原文链接:https://pmc.ncbi.nlm.nih.gov/articles/PMC7787829/
Abstract

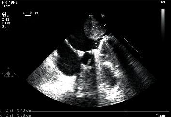
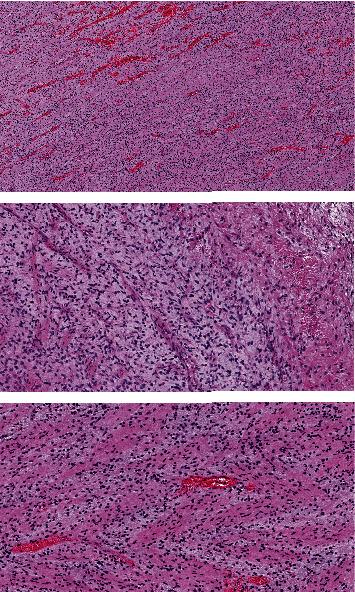
Malignant cardiac tumors are extremely rare, representing only 25% of all cardiac tumors, and angiosarcoma is the most common subtype. Myxofibrosarcomas are one of the rarest forms of cardiac malignant tumors. These tumors can silently grow and produce no or few symptoms until the tumor is large enough to obstruct blood flow. The definitive treatment is negative margin resection, if possible. Most cardiac tumors have a limited response to chemotherapy and radiotherapy. Therefore, surgical treatment is considered the best option. Our patient is a 57-year-old Caucasian postmenopausal female who presented with dyspnea, shortness of breath, and fatigue. Echocardiography confirmed the presence of a mass in the left atrium. A median sternotomy was performed with aortic and bicaval cannulation. Right atriotomy was performed, and the left atrium was exposed through the transseptal approach. A rounded smooth-surfaced mass was found in the left atrium that was 3.5 × 4.5 cm in size. The mass had a prominent and firm attachment point with a wide-based stalk in the pulmonary vein-right atrium border area. The tumor was completely excised, and the excision point was strengthened with a running suture. The following pathologic diagnosis was finally made: myxofibrosarcoma, FNCLCC (National Federation of Cancer Centres) Grade 2. Immunohistochemistry showed positivity for Epithelial membrane antigen (), desmin, calretinin, Ki67, Smooth Muscle Actin (), and S100. Given the rarity of cardiac malignant tumors, we thought preoperatively that this particular tumor could be a myxoma although it did not have the classical attachment point with a stalk at the interatrial septum. Our case is an example of how fast a cardiac sarcoma can grow. Nine months before the presentation, the patient underwent an echocardiography that did not show any signs of tumor growth. The estimated time of growth was 9 months or less. We followed our patient, performing a computer tomography scan and echocardiography 1 month after surgery, and these did not show any signs of tumor growth.

摘要

恶性心脏肿瘤极为罕见,仅占所有心脏肿瘤的25%,血管肉瘤是最常见的亚型。黏液纤维肉瘤是心脏恶性肿瘤中最罕见的形式之一。这些肿瘤可悄然生长,在肿瘤大到足以阻塞血流之前不产生或仅产生很少症状。如果可能,确定性治疗是切缘阴性切除。大多数心脏肿瘤对化疗和放疗反应有限。因此,手术治疗被认为是最佳选择。我们的患者是一名57岁的白种人绝经后女性,表现为呼吸困难、气短和乏力。超声心动图证实左心房存在肿块。采用主动脉和双腔静脉插管进行正中胸骨切开术。进行右心房切开术,并通过经房间隔途径暴露左心房。在左心房发现一个大小为3.5×4.5厘米的圆形、表面光滑的肿块。该肿块在肺静脉 - 右心房边界区域有一个突出且牢固的附着点,有一个宽基底蒂。肿瘤被完全切除,切除点用连续缝合加强。最终做出如下病理诊断:黏液纤维肉瘤,法国国立癌症中心联合会(FNCLCC)2级。免疫组化显示上皮膜抗原()、结蛋白、钙视网膜蛋白、Ki67、平滑肌肌动蛋白()和S100呈阳性。鉴于心脏恶性肿瘤的罕见性,我们术前认为这个特殊肿瘤可能是黏液瘤,尽管它没有在房间隔处带有蒂的典型附着点。我们的病例是心脏肉瘤生长速度有多快的一个例子。在就诊前九个月,患者接受了超声心动图检查,未显示任何肿瘤生长迹象。估计生长时间为9个月或更短。我们对患者进行了随访,术后1个月进行了计算机断层扫描和超声心动图检查,这些检查未显示任何肿瘤生长迹象。

https://cdn.ncbi.nlm.nih.gov/pmc/blobs/c73d/7787829/4a99cf14bedf/CRIS2020-4241204.004.jpg
https://cdn.ncbi.nlm.nih.gov/pmc/blobs/c73d/7787829/66a19f534240/CRIS2020-4241204.001.jpg
https://cdn.ncbi.nlm.nih.gov/pmc/blobs/c73d/7787829/5cfced99cd65/CRIS2020-4241204.002.jpg
https://cdn.ncbi.nlm.nih.gov/pmc/blobs/c73d/7787829/d38f081df8fd/CRIS2020-4241204.003.jpg
https://cdn.ncbi.nlm.nih.gov/pmc/blobs/c73d/7787829/4a99cf14bedf/CRIS2020-4241204.004.jpg
https://cdn.ncbi.nlm.nih.gov/pmc/blobs/c73d/7787829/66a19f534240/CRIS2020-4241204.001.jpg
https://cdn.ncbi.nlm.nih.gov/pmc/blobs/c73d/7787829/5cfced99cd65/CRIS2020-4241204.002.jpg
https://cdn.ncbi.nlm.nih.gov/pmc/blobs/c73d/7787829/d38f081df8fd/CRIS2020-4241204.003.jpg
https://cdn.ncbi.nlm.nih.gov/pmc/blobs/c73d/7787829/4a99cf14bedf/CRIS2020-4241204.004.jpg

相似文献

1
Can Primary Cardiac Myxofibrosarcoma Grow Quickly from Zero to a Size Leading to Left-Sided Heart Failure within 9 Months?原发性心脏黏液纤维肉瘤能否在9个月内从零迅速生长到导致左侧心力衰竭的大小?
Case Rep Surg. 2020 Dec 8;2020:4241204. doi: 10.1155/2020/4241204. eCollection 2020.
2
Left atrial myxofibrosarcoma: Diagnostic approach through imaging techniques.左房黏液纤维肉瘤:通过影像学技术的诊断方法
J Cardiol Cases. 2013 Mar 18;7(6):e164-e167. doi: 10.1016/j.jccase.2013.02.005. eCollection 2013 Jun.
3
Rare Cardiac Tumor: Do We Know All About Cardiac Myxofibrosarcoma?罕见心脏肿瘤:我们对心脏黏液纤维肉瘤了解全面吗?
Cureus. 2024 Apr 10;16(4):e58000. doi: 10.7759/cureus.58000. eCollection 2024 Apr.
4
A case report of primary cardiac myxofibrosarcoma presenting with severe congestive heart failure.一例以严重充血性心力衰竭为表现的原发性心脏黏液纤维肉瘤病例报告。
J Cardiothorac Surg. 2016 Jul 7;11(1):95. doi: 10.1186/s13019-016-0490-3.
5
[Clinicopathologic study of cardiac myxofibrosarcomas].心脏黏液纤维肉瘤的临床病理研究
Zhonghua Bing Li Xue Za Zhi. 2017 Mar 8;46(3):170-175. doi: 10.3760/cma.j.issn.0529-5807.2017.03.006.
6
Angiosarcoma of the Left Atrium: A Case Report.
Thorac Cardiovasc Surg Rep. 2018 Jan;7(1):e4-e6. doi: 10.1055/s-0038-1627443. Epub 2018 Feb 20.
7
Myxoid leiomyosarcoma of the left atrium: a rare malignancy of the heart and its comparison with atrial myxoma.左心房黏液样平滑肌肉瘤:一种罕见的心脏恶性肿瘤及其与心房黏液瘤的比较。
Can J Cardiol. 2001 Mar;17(3):331-6.
8
Multiple cardiac myxofibrosarcomas with complete right pulmonary artery occlusion: a case report.多发心脏黏液纤维肉瘤伴右肺动脉完全闭塞:一例报告
Front Oncol. 2023 Sep 4;13:1197463. doi: 10.3389/fonc.2023.1197463. eCollection 2023.
9
Cardiac metastasis of triple-negative breast cancer mimicking myxoma: A case report.三阴性乳腺癌心脏转移酷似黏液瘤:一例报告
Int J Surg Case Rep. 2021 Nov;88:106552. doi: 10.1016/j.ijscr.2021.106552. Epub 2021 Nov 2.
10
[Right-left shunt caused by sarcoma of the right atrium].[右心房肉瘤导致的右向左分流]
Arch Mal Coeur Vaiss. 1990 Jun;83(7):1007-10.

引用本文的文献

1
Primary Cardiac Myxofibrosarcoma of the Left Atrium with Heterologous Elements Mimicking a Cardiac Myxoma.左心房原发性心脏黏液纤维肉瘤伴异源性成分,酷似心脏黏液瘤。
Am J Case Rep. 2025 Jan 9;26:e946351. doi: 10.12659/AJCR.946351.
2
Primary cardiac myxofibrosarcoma in a patient with Ebstein's anomaly: First reported case.一名患有埃布斯坦畸形患者的原发性心脏黏液纤维肉瘤:首例报告病例。
Int J Surg Case Rep. 2024 Dec;125:110551. doi: 10.1016/j.ijscr.2024.110551. Epub 2024 Nov 1.
3
A rare presentation of primary cardiac myxofibrosarcoma: Case report and literature review.

本文引用的文献

1
Surgical Treatment of Primary Cardiac Sarcomas: Review of a Single-Institution Experience.原发性心脏肉瘤的外科治疗:单机构经验回顾
Ann Thorac Surg. 2016 Feb;101(2):698-702. doi: 10.1016/j.athoracsur.2015.07.087. Epub 2015 Oct 21.
2
Primary Cardiac Sarcoma: 25-Year Cleveland Clinic Experience.原发性心脏肉瘤:克利夫兰诊所25年经验
Am J Clin Oncol. 2016 Dec;39(6):593-599. doi: 10.1097/COC.0000000000000106.
3
Surgical treatment of primary cardiac sarcomas.原发性心脏肉瘤的外科治疗
原发性心脏粘液纤维肉瘤的罕见表现:病例报告及文献复习。
Cancer Rep (Hoboken). 2024 Apr;7(4):e2033. doi: 10.1002/cnr2.2033.
Tex Heart Inst J. 2009;36(5):451-2.
4
Surgical outcome in 85 patients with primary cardiac tumors.85例原发性心脏肿瘤患者的手术结果。
Am J Surg. 2003 Dec;186(6):641-7; discussion 647. doi: 10.1016/j.amjsurg.2003.08.004.
5
Primary cardiac sarcomas.原发性心脏肉瘤
Ann Thorac Surg. 1991 Jun;51(6):906-10. doi: 10.1016/0003-4975(91)91003-e.