Suppr超能文献

临床健康的大羊驼和羊驼的肾脏和脾脏超声检查。

ultrasonography of kidney and spleen in clinically healthy llamas and alpacas.

机构信息

University Clinic for Ruminants, Department for Farm Animals and Veterinary Public Health, University of Veterinary Medicine Vienna, Veterinärplatz 1, 1210, Vienna, Austria.

出版信息

Acta Vet Scand. 2021 Jan 21;63(1):4. doi: 10.1186/s13028-021-00571-5.

Abstract

BACKGROUND

The ultrasonographic examination technique is a well-established, non-invasive diagnostic tool for diverse conditions in humans and different animal species. The purpose of our study was to describe ultrasonographic localisation, sonographic appearance and dimensions of the kidneys and spleen of clinically healthy llamas and alpacas. Differences between llamas and alpacas and the influence of sex and ages were investigated. Results of this study may aid veterinarians performing ultrasonography in diseased animals and the technique can be used for routine protocol screening.

RESULTS

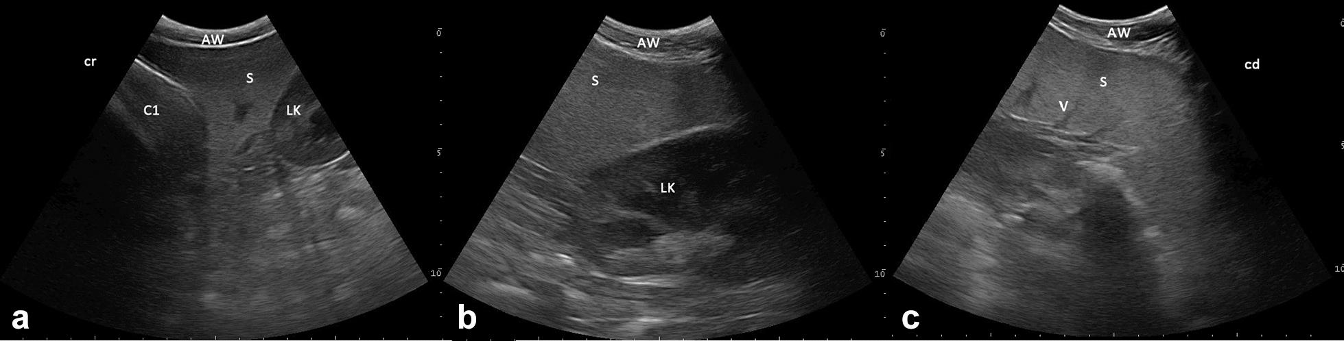
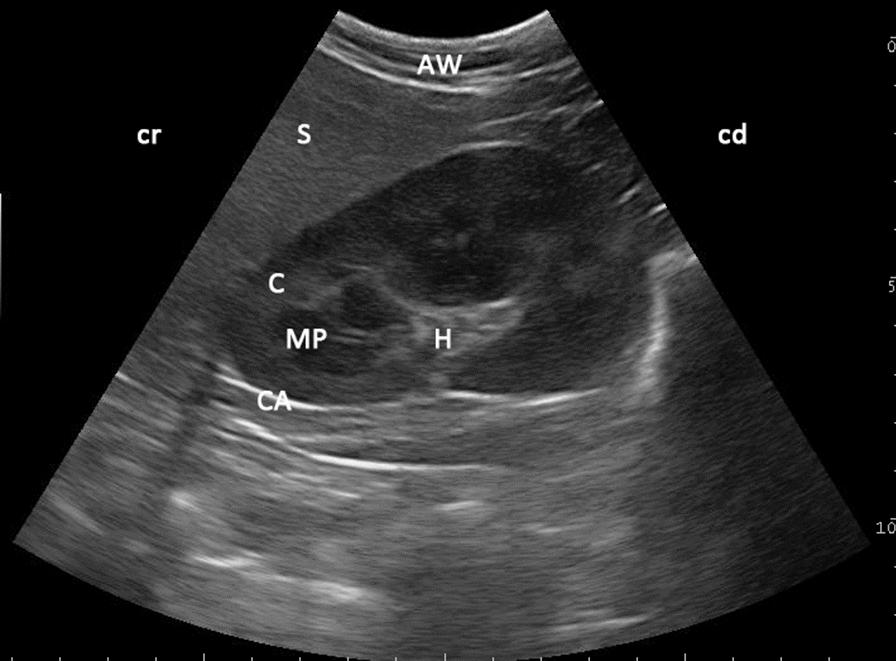
Ultrasonography was performed in 135 clinically healthy, non-sedated llamas and alpacas. Screening was performed with a 6.6 MHz curve linear transducer with only alcohol as contact medium between the probe and unclipped skin. The kidneys could be imaged from the paralumbar region. The right kidney only was visualized when scanning from the right and the left kidney only from the left. While the left kidney appeared in sagittal view as an oval shape in most llamas and alpacas, in one third of animals the left kidney had a triangular shape. The L-shaped base of the spleen, with its homogeneous, echoic pattern, could be seen craniolateral to the left kidney. Anechoic areas displaying vessels inside the spleen and a thin echoic capsule surrounding the splenic tissue could be differentiated. While sonographic appearances of the examined organs showed no differences between llamas and alpacas, selected dimensions of both of kidney and spleen showed significant differences between species. In terms of age and sex, significant differences in respect of kidney size could be found only in alpacas. Sex seemed to have no influence on kidney and spleen sizes in llamas.

CONCLUSIONS

The present study provides species-specific information on ultrasonographic appearance and reference values for kidney and spleen dimensions of clinically healthy llamas and alpacas. Results show differences in organ sizes between llamas and alpacas and in alpacas of different sex and age. The results of this study can be used as references for veterinarians performing ultrasound examinations in diseased animals.

摘要

背景

超声检查技术是一种成熟的、非侵入性的诊断工具,可用于人类和不同动物物种的多种疾病。本研究旨在描述临床健康的羊驼肾脏和脾脏的超声定位、声像图表现和尺寸。我们还研究了羊驼种间差异以及性别和年龄的影响。本研究的结果可能有助于对患病动物进行超声检查的兽医,并且该技术可用于常规的筛选程序。

结果

本研究对 135 只临床健康、未镇静的羊驼进行了超声检查。使用 6.6MHz 线阵探头,仅以酒精作为探头和未修剪皮肤之间的接触介质进行筛查。可以从腰部旁区域对肾脏进行成像。从右侧和左侧仅能分别显示右侧和左侧的肾脏。虽然大多数羊驼的左肾在矢状视图上呈椭圆形,但三分之一的动物的左肾呈三角形。脾脏的 L 形基底,具有均匀的回声模式,可在左肾的颅侧看到。可以区分脾脏内显示血管的无回声区和围绕脾脏组织的薄回声包膜。虽然检查器官的超声表现没有显示出羊驼和羊驼之间的差异,但肾脏和脾脏的选定尺寸在种间存在显著差异。就年龄和性别而言,仅在羊驼中发现肾脏大小存在显著差异。性别似乎对羊驼的肾脏和脾脏大小没有影响。

结论

本研究提供了临床健康的羊驼肾脏和脾脏的超声表现和参考值的种特异性信息。结果显示,羊驼和羊驼之间的器官大小存在差异,以及不同性别和年龄的羊驼之间的差异。本研究的结果可作为兽医对患病动物进行超声检查的参考。

https://cdn.ncbi.nlm.nih.gov/pmc/blobs/4637/7819227/3c8fe2de58f6/13028_2021_571_Fig1_HTML.jpg

文献检索

告别复杂PubMed语法,用中文像聊天一样搜索,搜遍4000万医学文献。AI智能推荐,让科研检索更轻松。

立即免费搜索

文件翻译

保留排版,准确专业,支持PDF/Word/PPT等文件格式,支持 12+语言互译。

免费翻译文档

深度研究

AI帮你快速写综述,25分钟生成高质量综述,智能提取关键信息,辅助科研写作。

立即免费体验