Suppr超能文献

一例免疫功能正常成年人伤寒沙门菌骨髓炎伴病理性骨折的病例报告。

A Case Report of Salmonella Typhi Osteomyelitis With Pathological Fracture in an Immunocompetent Adult.

作者信息

V Venkataram, Subramanian Bhooma, Muthulingam Manoharan

机构信息

Orthopedics and Traumatology, Mahatma Gandhi Medical College and Research Institute, Puducherry, IND.

Orthopedics, Mahatma Gandhi Medical College and Research Institute, Puducherry, IND.

出版信息

Cureus. 2020 Dec 22;12(12):e12211. doi: 10.7759/cureus.12211.

Abstract

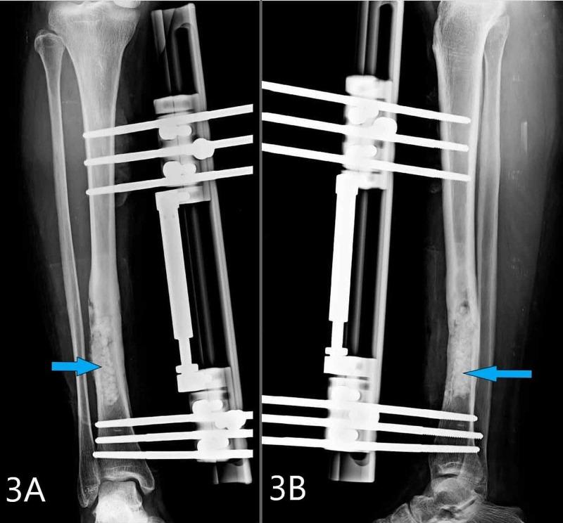
Salmonella osteomyelitis is usually seen in patients with hemoglobinopathies and immunodeficient individuals. However, it is a rare clinical entity in an immunocompetent person with very few cases reported in clinical literature usually caused by non-typhoid Salmonella. Here, we report a case of osteomyelitis of the right tibia in a 40-year-old immunocompetent lady. She developed a pathological fracture of the right tibia during the course of her treatment. It was then managed successfully by debridement and external fixation using a rail fixator. Salmonella osteomyelitis does not present with unique clinical or radiological signs. High index of suspicion with appropriate testing will help in determining the causative agent correctly and thus aid in its successful management.

摘要

沙门氏菌骨髓炎通常见于患有血红蛋白病的患者和免疫功能低下的个体。然而,在免疫功能正常的人中,这是一种罕见的临床病症,临床文献中报道的病例很少,通常由非伤寒沙门氏菌引起。在此,我们报告一例40岁免疫功能正常女性的右胫骨骨髓炎病例。她在治疗过程中发生了右胫骨病理性骨折。随后通过清创术和使用轨道固定器进行外固定成功治疗。沙门氏菌骨髓炎没有独特的临床或放射学征象。高度怀疑并进行适当检测将有助于正确确定病原体,从而有助于其成功治疗。

https://cdn.ncbi.nlm.nih.gov/pmc/blobs/8313/7815291/3a305e4639d3/cureus-0012-00000012211-i01.jpg

文献检索

告别复杂PubMed语法,用中文像聊天一样搜索,搜遍4000万医学文献。AI智能推荐,让科研检索更轻松。

立即免费搜索

文件翻译

保留排版,准确专业,支持PDF/Word/PPT等文件格式,支持 12+语言互译。

免费翻译文档

深度研究

AI帮你快速写综述,25分钟生成高质量综述,智能提取关键信息,辅助科研写作。

立即免费体验